Clinical and radiologic outcomes and complications of unilateral S2AI screw fixation in adult spinal deformity surgery: a retrospective cohort study
Highlight box
Key findings
• The criteria for using a unilateral sacral-alar-iliac (S2AI) screw in adult spinal deformity (ASD) surgery include mild to moderate sagittal deformity, a flexible spine, and no history of prior spinal surgery.
What is known and what is new?
• The S2AI screw offers a viable alternative to the traditional iliac screw, providing comparable biomechanical stability, fixation strength, and requires less soft tissue dissection, less implant prominence and minimizing the risk of wound complications in ASD surgery.
• The criteria proposed here for patient selection for unilateral S2AI screw placement aim to reduce complications specific to S2AI screws while preserving a comparable complication for long-construct fixation, such as screw loosening, proximal junctional kyphosis, and rod breakage.
What is the implication, and what should change now?
• We recommend using a unilateral S2AI screw for ASD surgery in patients who meet the criteria to minimize S2AI screw-related complications.
Introduction
Background
Adult spinal deformity (ASD) is a multifactorial condition affecting both the sagittal and coronal balance of the spine. Achieving optimal global alignment and ensuring successful long-term clinical outcomes in ASD patients often requires rigid lumbosacral fixation during corrective fusion surgeries with extended constructs (1,2). Previous studies have also reported a protective effect against pseudarthrosis at the L5-S1 level when lumbopelvic fixation is used in these long constructs (3,4). Traditionally, S1 screw instrumentation has been employed for spinal fusion in ASD surgery. However, the strain on screws, particularly during flexion, can lead to complications (3,5).
To address these challenges, various lumbopelvic fixation techniques have evolved over the years, including the classic Galveston, iliac screw, sacral-alar-iliac (S2AI) screw and stacked S2AI screw techniques. These methods aim to enhance biomechanics and stability in long-segment fixation, reduce pseudarthrosis, achieve and maintain the correction of spinal deformity, and prevent sacral fractures below S1 screws.
However, traditional iliac screw fixation, which involves placing screws at the posterior superior iliac spine, has drawbacks, such as the need for lateral offset connectors to the rod, increased soft tissue dissection, and a higher risk of screw prominence, potentially leading to wound complications (3,6-8).
The S2AI screw, positioned more medially and aligned with the S1 screws, offers comparable biomechanical properties to the iliac screw but with fewer complications related to screw prominence (7,8). Nevertheless, Ha et al. found that 9.6% of patients experienced screw-related pain because trajectory passing through the normal sacroiliac (SI) joint, and 3.4% required screw removal within two years of follow-up (9). This suggests that while S2AI screws have advantages, they still present complications, especially with bilateral S2AI screws that pass through both SI joints.
Unilateral S2AI screw fixation emerges as a potential solution, aiming to minimize complications compared to bilateral fixation. Studies on unilateral lumbopelvic fixation are limited: Tomlinson et al. found no significant biomechanical difference in porcine spines (10), Nazemi et al. reported adequate fixation efficacy and low complication rates (11), and Saigal et al. observed comparable complication rates between unilateral and bilateral fixation (12).
Rationale and knowledge gap
Currently, there is no clear recommendation for identifying candidates suitable for unilateral S2AI screw fixation. Cho et al. reported risk factors for lumbopelvic fixation failure after long-level fusion in ASD, including previous lumbar surgery, greater pelvic incidence (PI), poor restoration of lumbar lordosis (LL), and sagittal imbalance (13). Martin et al. also identified risk factors for catastrophic failure of lumbopelvic fixation, particularly after extensive correction in ASD surgery (14).
Objective
We hypothesize that in cases of mild to moderate deformity, as defined by the Scoliosis Research Society (SRS)-Schwab classification with a sagittal modifier of only one plus, no prior surgery, average PI and flexible deformity, unilateral S2AI screw fixation may be sufficient for lumbopelvic fixation (15). We present this article in accordance with the STROBE reporting checklist (available at https://jss.amegroups.com/article/view/10.21037/jss-24-172/rc).
Methods
Study design and patient selection
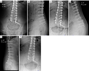
Eighty consecutive patients with mild to moderate degree of sagittal deformity, as classified by SRS classification, were retrospectively reviewed. Included patients had a mismatch between PI and LL (PI-LL mismatch) of no more than 20°, a sagittal vertical axis (SVA) of no more than 9 cm, and a pelvic tilt (PT) of no more than 30°. Each patient underwent ASD surgery with unilateral S2AI screw placement between December 2016 and June 2022, performed by a single surgeon at Thammasat University Hospital, Thailand. Inclusion criteria were ASD surgery with unilateral S2AI screw fixation, long posterior spinal fusion (≥6 levels) from the lower thoracic region to the pelvis, age ≥50 years, and a minimum 2-year follow-up. Deformity correction was planned according to the age-adjusted alignment concept (16). Deformity correction involved the interbody fusion technique and low-grade Schwab osteotomy without using the three-column osteotomy technique. In cases with coronal imbalance, the S2AI screw was inserted on the same side as the truncal shift, for the same reason as the kickstand rod technique (17). In cases without coronal imbalance, the S2AI screw side was decided by the surgeon’s preference (Figure 1). Patients with incomplete radiographic data were excluded. This retrospective cohort study was conducted in compliance of the Declaration of Helsinki and its subsequent amendments. The Human Ethics Committee of Thammasat University approved this study (approval No. MTU-EC-OT-0-296/67). The inform consent was not performed due to the nature of retrospective study.
Radiographic measurements
Preoperative and postoperative measurements of PI, PT, sacral slope (SS), LL, thoracic kyphosis (TK), T1 pelvic angle (TPA), SVA, and PI-LL mismatch were obtained from standing full-length lateral radiographs at various postoperative intervals (immediate, 2-week, 3-month, 6-month, 1-year, and 2-year). These measurements were performed by a fellowship-trained spine surgeon and two orthopedic residents using a Picture Archiving and Community System (PACS). Fusion of L5/S1 was assessed at the 2-year postoperative period with plain anteroposterior (AP) and lateral radiographs. For cases involving L5/S1 transforaminal lumbar interbody fusion (TLIF), the fusion status was classified as grade 2 according to the method described by Patil et al. (18). For cases with posterolateral fusion (PLF), the segment was marked as fused if there was evidence of fusion mass and stability in position.
Complications
The recorded postoperative complications within two years that were reviewed included reoperation rates, screw loosening, screw fracture, rod breakage, S2AI screw-related pain, infection, and proximal junctional kyphosis (PJK). The diagnosis of S2AI screw-related pain was conducted through clinical evaluation, requiring at least three positive provocative tests (19), without the use of diagnostic injections or additional radiographic tests such as computed tomography (CT) or magnetic resonance imaging (MRI) studies.
Statistical analysis
Statistical analysis was conducted using Stata version 16 (Stata Corp., College Station, TX, USA). Associations with P values less than 0.05 were considered statistically significant. Student’s t-test and chi-square test were applied for continuous and categorical variables, respectively. Radiographic analysis was used to compare pre- and postoperative measurements.
Results
A total of 80 consecutive patients were included (Table 1). The mean [± standard deviation (SD)] age was 68.7±6.7 years, and 72 (90%) were women. The median [interquartile range (IQR)] fusion level was 9 [8, 9]. TLIF was performed in 70% of patients, with a median [IQR] of 1 [1, 2] levels. Oblique lumbar interbody fusion was performed in 15% of patients, with a median [IQR] of 2 [2, 2] levels.
Table 1
| Variables | Results |
|---|---|
| Age (years), mean ± SD | 68.7±6.7 |
| Sex, n [%] | |
| Female | 72 [90] |
| Male | 8 [10] |
| Fusion level, median [IQR] | 9 [8, 9] |
| TLIF | 70% |
| Number of levels, median [IQR] | 1 [1, 2] |
| OLIF | 15% |
| Number of levels, median [IQR] | 2 [2, 2] |
| L5/S1 fusion type, n [%] | |
| TLIF | 55 [69] |
| PLF | 25 [31] |
IQR, interquartile; L5/S1 fusion type, type of fusion between L5 and S1; OLIF, oblique lumbar interbody fusion; PLF, posterolateral fusion; SD, standard deviation; TLIF, transforaminal interbody fusion.
Mean (± SD) preoperative values were as follows: PI, 51.1°±11.4°; SS, 21.6°±11.4°; PT, 29.3°±11.3°; SVA, 7.8±5.5 cm; LL, 21.8°±16.7°; PI-LL, 29.3°±17.3°; TK, 16.8°±12.1°; and TPA, 31.9°±12.3° (Table 2). The immediate postoperative parameters, including SS, PT, LL, PI-LL, TK and TPA, showed statistically significant improvement at all follow-up times compared to the preoperative radiographs. Mean (± SD) postoperative values were as follows: SS, 25.6°±10.8°; PT, 24.1°±8.7°; SVA, 4.0±5.0 cm; LL, 34.2°±12.1°; PI-LL, 16.6°±10.7°; TK, 23.0°±10.0°; and TPA, 27.3°±10.5°.
Table 2
| Parameters | Mean ± SD | Mean ± SD difference since preoperative value | P value |
|---|---|---|---|
| PI (°) | 51.1±11.4 | ||
| SS (°) | 21.6±11.4 | ||
| Immediate post-op | 25.6±10.8 | +4.0±10.5 | 0.001* |
| 2 weeks | 25.5±10.3 | +3.9±10.3 | 0.001* |
| 3 months | 25.6±10.8 | +4.1±10.7 | 0.001* |
| 6 months | 25.7±10.9 | +4.1±10.7 | <0.001* |
| 12 months | 25.6±10.5 | +4.0±10.5 | 0.001* |
| 24 months | 25.7±10.7 | +4.2±10.7 | <0.001* |
| PT (°) | 29.3±11.3 | ||
| Immediate post-op | 24.1±8.7 | −5.3±10.1 | <0.001* |
| 2 weeks | 24.2±8.6 | −5.2±10.2 | <0.001* |
| 3 months | 23.8±8.9 | −5.5±10.5 | <0.001* |
| 6 months | 24.2±8.9 | −5.1±10.2 | <0.001* |
| 12 months | 24.1±8.6 | −5.3± 10.1 | <0.001* |
| 24 months | 24.4±8.6 | −4.9±10.3 | <0.001* |
| SVA (mm) | 7.8±5.5 | ||
| Immediate post-op | 4.0±5.0 | −3.8±5.0 | <0.001* |
| 2 weeks | 3.9±3.2 | −3.9±5.0 | <0.001* |
| 3 months | 3.9±2.8 | −3.9±5.0 | <0.001* |
| 6 months | 3.9±2.7 | −3.9±5.1 | <0.001* |
| 12 months | 4.0±2.8 | −3.8±5.0 | <0.001* |
| 24 months | 4.0±2.9 | −3.8±5.0 | <0.001* |
| LL (°) | 21.8±16.7 | ||
| Immediate post-op | 34.2±12.1 | +12.4±11.8 | <0.001* |
| 2 weeks | 33.8±12.6 | +12.1±13.3 | <0.001* |
| 3 months | 34.4±12.2 | +12.6±11.4 | <0.001* |
| 6 months | 34.1±12.1 | +12.3±12.3 | <0.001* |
| 12 months | 34.2±12.1 | +12.4±11.8 | <0.001* |
| 24 months | 33.9±12.0 | +12.1±11.7 | <0.001* |
| PI-LL mismatch (°) | 29.3±17.3 | ||
| Immediate post-op | 16.6±10.7 | −12.7±13.3 | <0.001* |
| 2 weeks | 16.3±10.6 | −13.0±14.4 | <0.001* |
| 3 months | 15.7±10.4 | −13.6±13.1 | <0.001* |
| 6 months | 15.9±10.4 | −13.5±14.0 | <0.001* |
| 12 months | 17.1±10.9 | −12.2±13.4 | <0.001* |
| 24 months | 17.4±10.5 | −11.9±13.5 | <0.001* |
| TK (°) | 16.8±12.1 | ||
| Immediate post-op | 23.0±10.0 | +6.2±9.7 | <0.001* |
| 2 weeks | 23.1±10.2 | +6.3±10.2 | <0.001* |
| 3 months | 23.1±9.9 | +6.4±9.9 | <0.001* |
| 6 months | 22.9±9.9 | +6.2±9.9 | <0.001* |
| 12 months | 23.0±10.0 | +6.2±9.7 | <0.001* |
| 24 months | 22.7±9.6 | +5.9±9.9 | <0.001* |
| TPA (°) | 31.9±12.3 | ||
| Immediate post-op | 27.3±10.5 | −4.6±13.2 | 0.003* |
| 2 weeks | 27.1±9.8 | −4.8±13.6 | 0.002* |
| 3 months | 26.8±13.2 | −5.1±13.2 | 0.009* |
| 6 months | 27.7±9.9 | −4.2±13.0 | 0.005* |
| 12 months | 27.3±10.5 | −4.6±13.2 | 0.003* |
| 24 months | 27.5±10.4 | −4.4±13.1 | 0.004* |
*, indicates statistical significance. LL, lumbar lordosis; PT, pelvic tilt; PI, pelvic incidence; SS, sacral slope; SVA, sagittal vertical axis; PI-LL mismatch, mismatch between PI and LL; TK, thoracic kyphosis; TPA, T1 pelvic axis.
The 2-year postoperative fusion rate was 95% (76/80) (Table 3). The overall complication rate was 21% (17 patients), including four cases of S1 screw loosening, two cases of PJK, six cases of rod breakage (Figure 2) and three cases of S2AI screw-related pain. Two re-operations (3%) were performed due to rod breakage (Figure 3), resulting from loss of reduction following the fracture.
Table 3
| Variables | Results |
|---|---|
| L5/S1 fusion rate at 2-year follow-up | 76/80 (95%) |
| Revision | |
| Rod fracture | 2/80 (3%) |
| Non-revision | |
| Wound infection | 2/80 (3%) |
| S1 screw loosening | 4/80 (5%) |
| S2AI screw related pain | 3/80 (4%) |
| Proximal junctional kyphosis | 2/80 (3%) |
| Rod fracture | 4/80 (5%) |
L5/S1 fusion rate, fusion rate between L5 and S1; S2AI screw, sacral alar iliac screw.
Discussion
The technique of lumbopelvic fixation has evolved significantly over the years, with bilateral S2AI screws representing one of the latest advancements. These screws aim to reduce pain and complications compared to traditional iliac screws by eliminating the need for lateral offset connectors, decreasing soft tissue dissection, and minimizing the risk of screw prominence (3,5-7). The introduction of S2AI screws sought to address these issues by providing comparable biomechanical properties while reducing complications related to screw prominence. However, persistent challenges, including screw-related pain, prompted further exploration of alternative techniques, leading to the consideration of unilateral S2AI screw fixation.
A study by Ha et al. reported persistent bilateral S2AI screw-related pain in approximately 9.6% of patients, with 3.4% requiring screw removal (9). In contrast, our study observed a lower incidence of S2AI screw-related pain, affecting only 4% of patients, none of whom required reoperation after initiating conservative treatment. Thus, we identified the potential benefits of unilateral S2AI screw fixation in resolving these complications in patients with mild to moderate sagittal deformity, flexible spines, no previous surgeries, and average PI. Our findings suggest that unilateral fixation may provide comparable outcomes with potentially less operative time.
We found that unilateral screw fixation resulted in a statistically significant improvement in radiographic parameters, with changes in SVA and LL comparable to those reported in existing studies (10,11).
Regarding L5S1 fusion, a previous study by Nazemi et al. compared radiographic and clinical complications of patients who underwent thoracolumbar fusion using either S2AI screws or unilateral iliac bolt fixation. The study reported a pseudarthrosis rate of 10% (1/10) in the S2AI screw group and 21% (4/19) in the unilateral iliac bolt fixation group (11). These findings are comparable to our study, which reported a 95% fusion rate and a 5% pseudarthrosis rate. When compared to the results of spinopelvic fixation with unilateral and bilateral iliac screws reported by Saigal et al., the pseudarthrosis rate in our study was lower than both the unilateral group [13% (3/46)] and the bilateral group [19% (5/26)] (12). However, a limitation of both Nazemi’s and Saigal’s studies was the lack of clear patient selection criteria, whereas in our study, nearly 70% of cases involved L5S1 interbody fusion.
In our study, the reoperation rate was 3%, which is similar to a study by Martin et al. where 5% of patients (6/125) required reoperation due to acute failure of S2AI screws within 6 weeks postoperatively (20). Martin et al. also found that changes in LL were statistically significantly greater in the failure group compared to the non-failure group. Additionally, Ha et al. reported that 9.6% of patients experienced S2AI screw-related pain, and 3.4% required a second operation for screw removal (9). In contrast, our study had no cases of reoperation due to screw-related pain. However, two patients required re-operative surgery due to loss of reduction following rod fracture, which resulted in sagittal imbalance and intolerable back pain.
The observed complication rate of 13% is consistent with rates reported for bilateral S2AI screws in previous studies (9,21). This suggests that unilateral S2AI fixation may offer comparable outcomes with less operative time and blood loss.
One significant aspect of our study is the proposed patient categorization for appropriate lumbopelvic fixation selection. This framework focuses on an average PI population with mild to moderate degrees of sagittal deformity and flexible splines, without prior surgeries, and yields promising outcomes. Based on our findings, we recommend selecting patients for unilateral lumbopelvic fixation based on the following criteria: (I) mild to moderate sagittal deformities, as classified by the SRS classification; (II) a flexible spine that does not require three-column osteotomy; and (III) no prior spinal surgeries. For patients with mild deformities who do not have global imbalance but require multiple-level fusions, lumbopelvic fixation may not be necessary. We recommend bilateral lumbopelvic fixation for patients with severe sagittal deformities, rigid spines requiring three-column osteotomy, or those with a history of previous spinal surgery. Additionally, patients with severe coronal and sagittal deformities may require multiple lumbopelvic fixations to achieve optimal alignment and stability.
The proposed patient categorization introduces a valuable framework for surgical decision-making in ASD cases. By aligning the selection of lumbopelvic fixation methods with specific patient characteristics, surgeons can tailor interventions to optimize outcomes. This patient-centric approach is particularly pertinent in the era of precision medicine, where treatment strategies are increasingly individualized. Future studies should explore the applicability and generalizability of this categorization in diverse patient populations and clinical settings.
Our study has several limitations. The retrospective nature of the study and the limited sample size of 80 patients may affect the generalizability of the findings. Additionally, the 2-year follow-up period may not capture long-term complications or outcomes. Limitations in data records and investigative methods also reduce the precision in determining outcomes such as fusion rate or pseudarthrosis, which are more accurately assessed with CT scans rather than plain radiographs. Future research would benefit from larger, prospective studies with longer follow-up durations and more precise investigative methods to validate our findings and further explore patient selection.
Comparative effectiveness analysis with other lumbopelvic fixation techniques, such as iliac screws and bilateral S2AI screws, is crucial for providing a comprehensive understanding of the strengths and limitations of each method. This study contributes to the existing literature by highlighting the feasibility and efficacy of unilateral S2AI screw fixation. Future research should involve direct comparisons with other techniques to guide surgeons in selecting the most appropriate fixation method based on patient-specific factors and surgical goals. Advancements in imaging and navigation technologies offer additional opportunities to enhance the precision and safety of spinal surgeries. Integrating these technologies into the planning and execution of unilateral S2AI screw fixation may further optimize outcomes. Exploring the role of navigation systems, robotics and intraoperative imaging in improving accuracy and reducing complications is an important avenue for future research.
Conclusions
In conclusion, unilateral S2AI screws are a viable technique for lumbopelvic fixation in patients with mild to moderate deformity, flexible spines, no previous surgeries, and average PI. This approach effectively corrects and maintains alignment, improves clinical outcomes, and has a complication rate comparable to that of bilateral S2AI fixation. The proposed patient categorization serves as a practical guide for selecting the appropriate lumbopelvic fixation method based on individual patient characteristics.
Acknowledgments
None.
Footnote
Reporting Checklist: The authors have completed the STROBE reporting checklist. Available at https://jss.amegroups.com/article/view/10.21037/jss-24-172/rc
Data Sharing Statement: Available at https://jss.amegroups.com/article/view/10.21037/jss-24-172/dss
Peer Review File: Available at https://jss.amegroups.com/article/view/10.21037/jss-24-172/prf
Funding: None.
Conflicts of Interest: All authors have completed the ICMJE uniform disclosure form (available at https://jss.amegroups.com/article/view/10.21037/jss-24-172/coif). The authors have no conflicts of interest to declare.
Ethical Statement: The authors are accountable for all aspects of the work in ensuring that questions related to the accuracy or integrity of any part of the work are appropriately investigated and resolved. This retrospective cohort study was conducted in compliance of the Declaration of Helsinki and its subsequent amendments. The Human Ethics Committee of Thammasat University approved this study (approval No. MTU-EC-OT-0-296/67). The inform consent was not performed due to the nature of retrospective study.
Open Access Statement: This is an Open Access article distributed in accordance with the Creative Commons Attribution-NonCommercial-NoDerivs 4.0 International License (CC BY-NC-ND 4.0), which permits the non-commercial replication and distribution of the article with the strict proviso that no changes or edits are made and the original work is properly cited (including links to both the formal publication through the relevant DOI and the license). See: https://creativecommons.org/licenses/by-nc-nd/4.0/.
References
- Le Huec JC, Faundez A, Dominguez D, et al. Evidence showing the relationship between sagittal balance and clinical outcomes in surgical treatment of degenerative spinal diseases: a literature review. Int Orthop 2015;39:87-95. [Crossref] [PubMed]
- Matsukawa K, Konomi T, Matsubayashi K, et al. Influence of Pedicle Screw Insertion Depth on Posterior Lumbar Interbody Fusion: Radiological Significance of Deeper Screw Placement. Global Spine J 2024;14:470-7. [Crossref] [PubMed]
- Yasuda T, Hasegawa T, Yamato Y, et al. Lumbosacral Junctional Failures After Long Spinal Fusion for Adult Spinal Deformity—Which Vertebra Is the Preferred Distal Instrumented Vertebra? Spine Deform 2016;4:378-84. [Crossref] [PubMed]
- Lee NJ, Marciano G, Puvanesarajah V, et al. Incidence, mechanism, and protective strategies for 2-year pelvic fixation failure after adult spinal deformity surgery with a minimum six-level fusion. J Neurosurg Spine 2023;38:208-16. [Crossref] [PubMed]
- Martin CT, Kebaish KM. Sacropelvic fixation techniques. In: Operative Techniques in Spine Surgery 2014;35:267-77.
- Elder BD, Ishida W, Lo SL, et al. Use of S2-Alar-iliac Screws Associated With Less Complications Than Iliac Screws in Adult Lumbosacropelvic Fixation. Spine (Phila Pa 1976) 2017;42:E142-9. [Crossref] [PubMed]
- Hirase T, Shin C, Ling J, et al. S2 alar-iliac screw versus traditional iliac screw for spinopelvic fixation: a systematic review of comparative biomechanical studies. Spine Deform 2022;10:1279-88. [Crossref] [PubMed]
- O’Brien JR, Yu WD, Bhatnagar R, et al. An anatomic study of the S2 iliac technique for lumbopelvic screw placement. Spine (Phila Pa 1976) 2009;34:E439-42. [Crossref] [PubMed]
- Ha AS, Hong DY, Luzzi AJ, et al. Minimum 2-Year Analysis of S2-Alar-Iliac Screw Fixation for Adult Spinal Deformity. Global Spine J 2022;12:1640-6. [Crossref] [PubMed]
- Tomlinson T, Chen J, Upasani V, et al. Unilateral and bilateral sacropelvic fixation result in similar construct biomechanics. Spine (Phila Pa 1976) 2008;33:2127-33. [Crossref] [PubMed]
- Nazemi AK, Gowd AK, Vaccaro AR, et al. Unilateral S2 alar-iliac screws for spinopelvic fixation. Surg Neurol Int 2018;9:75. [Crossref] [PubMed]
- Saigal R, Lau D, Wadhwa R, et al. Unilateral versus bilateral iliac screws for spinopelvic fixation: are two screws better than one? Neurosurg Focus 2014;36:E10. [Crossref] [PubMed]
- Cho W, Mason JR, Smith JS, et al. Failure of lumbopelvic fixation after long construct fusions in patients with adult spinal deformity: clinical and radiographic risk factors: clinical article. J Neurosurg Spine 2013;19:445-53. [Crossref] [PubMed]
- Martin CT, Holton KJ, Elder BD, et al. Catastrophic acute failure of pelvic fixation in adult spinal deformity requiring revision surgery: a multicenter review of incidence, failure mechanisms, and risk factors. J Neurosurg Spine 2023;38:98-106. [Crossref] [PubMed]
- Schwab F, Ungar B, Blondel B, et al. Scoliosis Research Society-Schwab adult spinal deformity classification: a validation study. Spine (Phila Pa 1976) 2012;37:1077-82. [Crossref] [PubMed]
- Lafage R, Schwab F, Challier V, et al. Defining Spino-Pelvic Alignment Thresholds: Should Operative Goals in Adult Spinal Deformity Surgery Account for Age?. Spine (Phila Pa 1976) 2016;41:62-8. [Crossref] [PubMed]
- Makhni MC, Cerpa M, Lin JD, et al. The "Kickstand Rod" technique for correction of coronal imbalance in patients with adult spinal deformity: theory and technical considerations. J Spine Surg 2018;4:798-802. [Crossref] [PubMed]
- Patil ND, El Ghait HA, Boehm C, et al. Evaluation of Spinal Fusion in Thoracic and Thoracolumbar Spine on Standard X-Rays: A New Grading System for Spinal Interbody Fusion. Global Spine J 2022;12:1481-94. [Crossref] [PubMed]
- Thawrani DP, Agabegi SS, Asghar F. Diagnosing Sacroiliac Joint Pain. J Am Acad Orthop Surg 2019;27:85-93. [Crossref] [PubMed]
- Martin CT, Polly DW, Holton KJ, et al. Acute failure of S2-alar-iliac screw pelvic fixation in adult spinal deformity: novel failure mechanism, case series, and review of the literature. J Neurosurg Spine 2022;36:53-61. [Crossref] [PubMed]
- Ishida W, Elder BD, Holmes C, et al. Comparison Between S2-Alar-Iliac Screw Fixation and Iliac Screw Fixation in Adult Deformity Surgery: Reoperation Rates and Spinopelvic Parameters. Global Spine J 2017;7:672-80. [Crossref] [PubMed]

