L1 vertebral body replacement using 3D-printed polylactic acid bioimplants: in vitro cellular evaluation, in vivo rat model assessment, and histological analysis of implant osseointegration
Highlight box
Key findings
• This pilot study presents promising results for a passive, porous three-dimensional (3D)-printed polylactic acid (PLA) scaffold used in total L1 vertebral body replacement. Favorable outcomes were observed in vitro for cell proliferation and biocompatibility, as well as in vivo after surgical implantation in a Wistar rat model. Mid-term histological analyses using a pixel-based algorithm demonstrated progressive osseointegration and scaffold resorption, accompanied by bone tissue regeneration over 6 months.
What is known and what is new?
• Various materials have been used for vertebral body replacement, evolving from bone cement and metallic cages to advanced composites. However, achieving both mechanical strength and biological compatibility remains a challenge, and no material currently meets all ideal criteria. Existing implants are associated with complications such as subsidence, displacement, micromotion, fracture, collapse, stress shielding, and adjacent-level fractures. Each material presents specific advantages and limitations depending on clinical context.
• This study adds new evidence by tracking the histological progression of tissue integration in a 3D-printed PLA scaffold. The results highlight its potential as a biodegradable implant that can support bone regeneration and vertebral reconstruction.
What is the implication, and what should change now?
• The favorable biological response observed supports continued investigation. Future large-scale, long-term studies comparing implant materials are needed to identify optimal strategies. The ultimate goal is full bony reconstruction of the vertebral body, restoring anatomical and biomechanical function while avoiding permanent, non-resorbable implants.
Introduction
The vertebral body, along with the surrounding intervertebral discs, plays a fundamental role in supporting compressive loads in the spine, bearing nearly 80% of the vertical forces transmitted through the spinal column (1-13). The posterior structures of the vertebra are primarily subjected to tensile stresses and play a crucial role in controlling the spine’s rotational movements. These elements work together with the anterior components to create a mechanical balance within the spinal motion segment, ensuring that compressive and tensile forces are properly regulated. If any part of this system is compromised, the spinal equilibrium is disturbed. Damage to the vertebral body, most frequently observed as a kyphotic deformation, alters this balance by shifting the spine’s load-bearing axis toward the front. This shift increases the pressure on the damaged vertebral body while simultaneously amplifying the tensile load on the posterior elements. Over time, this altered force distribution leads to a worsening mechanical instability, overloading both adjacent vertebral bodies and posterior components. As a result, there is increasing agreement on the need to restore the vertebral body’s anatomy as closely as possible to its original configuration after trauma, with the goal of reestablishing proper load-sharing and functional harmony within the spinal unit (1-3,14-22). This process involves realigning the kyphotic angle of the affected vertebral body, restoring its original height, and reconstructing the shape of the vertebral endplates. These steps follow anatomical restoration principles similar to those used in the treatment of other joints in the human body (1-3,14-22). From this emerges the principle of vertebral body repair, which involves surgical interventions focused on recovering both the height and mechanical stability of damaged vertebral bodies. The primary aim is to reestablish their structural integrity and capacity to support axial loads, ensuring the spine resumes its function as the body’s central axis. Achieving proper bone healing and solid fusion in these reconstructions is widely acknowledged as essential, as it is thought to be the most influential factor in determining the patient’s long-term prognosis. This is largely because it stands as the only factor capable of ensuring sustained dynamic stability in the repaired spinal region (1-4,23,24). Vertebral body repair can be approached through two primary methods. The first involves replacing the interior portion of the vertebral body while preserving the outer structures, the cortical ring and vertebral endplates. This technique employs a minimally invasive transpedicular approach to inject a filling material that replaces the interior contents of the vertebral body. It is commonly referred to as vertebral body augmentation and can be performed as vertebroplasty, kyphoplasty, or through the application of expandable devices within the vertebral body (1-4). The alternative approach is the total vertebral body replacement. When the cortical ring and the endplates have been structurally damaged, the vertebral body can no longer retain filler material, since its containment capability is lost. Under these circumstances, the only viable option is to proceed with the complete surgical replacement of the affected vertebral body (1-4). This technique is, by nature, more invasive than interior vertebral augmentation and can be executed through anterior, posterior, or combined surgical approaches. Once the damaged vertebral body and the adjacent intervertebral discs are excised, through a procedure known as corpectomy and discectomies, a biocompatible solid implant is inserted to take the place of the entire vertebral body, including both the outer cortical layer and its interior portion. In total vertebral body replacement, the two neighboring discs are also removed, since current surgical methods do not yet allow for their effective reconstruction. The objective is to promote a stable fusion between the implant and the surrounding vertebral segments, leading to a successful anterior spinal arthrodesis. The solid biomaterial spacer restores the height and alignment of the native vertebral body and the removed discs, both of which are essential for maintaining spinal stability and biomechanical balance during axial load-bearing (1-4,25). Vertebral body repair is indicated when the bone’s structural integrity and its ability to support axial loads are compromised. This typically occurs in cases of burst fractures resulting from trauma or severe osteoporosis, as well as in conditions such as post-traumatic vertebral necrosis and spinal pathologies of neoplastic or infectious origin. Whether the interior portion alone can be treated with filler material through augmentation procedures or if a total vertebral body replacement is necessary depends on the condition of the outer shell, particularly the cortical ring and endplates (1-4). Nonetheless, there are specific situations in which total vertebral replacement becomes mandatory. These include cases requiring decompression of neural structures from the anterior aspect, or when full excision of the vertebra is necessary due to tumor involvement. Such procedures, typically carried out as a corpectomy or vertebrectomy, are most commonly indicated for isolated metastatic deposits or primary neoplastic conditions affecting the vertebral column (1-4,26-28).
In most cases, bone tissue can naturally regenerate without forming scar tissue. However, this regenerative ability is constrained when the damage exceeds a certain threshold. Specifically, when the defect is larger than the so-called critical size (typically defined by a length-to-diameter ratio greater than 2 to 2.5 relative to the bone in question), the bone is no longer able to heal on its own (29). One of the most significant scientific challenges across medicine, surgical practice, and engineering is the creation of biomaterials that possess the necessary properties to support the repair and regeneration of injured tissues. This endeavor requires a multidisciplinary approach, integrating expertise from chemistry, physics, engineering, and life sciences. A biomaterial is defined as any substance specifically designed to interact with living systems for the purposes of assessing, healing, augmenting, or replacing biological tissues, organs, or physiological functions (30). The ideal material for vertebral body reconstruction must meet two fundamental requirements. From a biological perspective, it must be compatible with living tissues, support bone cell attachment and growth, and possess a porous architecture that encourages efficient bone ingrowth and eventual fusion. It should also be bioactive and biodegradable, allowing for its progressive replacement by the patient’s own bone, ultimately restoring a structure that closely replicates the original vertebra. From a biomechanical point of view, the material must have adequate strength and rigidity to sustain the mechanical loads typical of the spinal environment. Preferably, it should exhibit an elastic modulus similar to that of native bone to ensure balanced load transmission and structural support even before full bone integration occurs (31-43). If the implant has insufficient mechanical resistance, it risks collapsing under physiological loads, which can compromise the healing process. The physical configuration of the implant must provide temporary mechanical stability, maintaining structural integrity from the time of placement until the host bone has sufficiently regenerated to assume full load-bearing responsibility. Moreover, the implant must be designed to accurately match the geometry of the bone defect, maximizing contact and integration to promote successful fusion. These combined features are essential for enabling early movement and walking, both of which are crucial for a smooth recovery and to minimize postoperative risks (44-58). One of the most significant challenges in designing biomaterials for vertebral body repair is achieving an optimal compromise between mechanical strength and the biological capacity for gradual bone regeneration. Despite its complexity, this balance is essential because the spine serves as the body’s primary structural support and central axis—making the mechanical properties of any implanted material significantly more critical than in other anatomical regions (18,35-44,59-64). Osseointegration refers to the physiological process by which bone tissue progressively connects to and incorporates an implanted material. There are two recognized pathways for trabecular bone to integrate with an implant. The first, known as contact osteogenesis, involves new bone formation occurring directly on the implant surface, while the second, called distance osteogenesis, begins within the host bone and advances toward the implant. The rate of bone formation through contact osteogenesis is estimated to be about 30 percent higher than that of distance osteogenesis. An implant designed to maximize the area of direct contact with the surrounding bone, particularly by conforming closely to the adjacent vertebral endplates and replicating the porous microarchitecture of cancellous bone in terms of pore dimensions, distribution, and connectivity, is theoretically more capable of promoting rapid and efficient osseointegration (31,32,37,38,65,66).
In the context of total vertebral body replacement, two distinct phases of stability are recognized. The initial phase is referred to as primary synthetic stability, which is immediate and derives from the mechanical strength of the biomaterial itself, its secure attachment to the adjacent vertebrae, and the use of additional fixation devices such as anterior plating or pedicle screw systems. The subsequent phase is secondary biological stability, which develops later and depends entirely on the biological processes of osseointegration and bone fusion between the implant and the neighboring vertebral segments. At this point, structural integrity is no longer reliant on mechanical hardware but is maintained by the newly formed bone that biologically unites with the adjacent structures. The onset of osseointegration is gradual and is supported by the initial fixation systems, which protect the regenerating tissue from mechanical overload that could otherwise impair healing. As bone regeneration progresses successfully, the biological interface begins to bear part of the mechanical load, reducing reliance on temporary fixation components. Over time, these provisional elements become less mechanically significant, while the biological fusion assumes a more dominant role. Once osseointegration is complete, forming a seamless structural and functional continuum between the host bone and the implant surface, the regenerated tissue becomes the main contributor to segmental stability, effectively integrating with or replacing the original biomaterial. If biological fusion fails to develop adequately, residual micromovements may persist in the affected spinal segment, potentially leading to bone resorption, mechanical failure of the fixation systems, and eventual collapse of the reconstructed vertebra. For this reason, the capacity of an implant to achieve stable integration with surrounding bone tissue is considered the most decisive factor for the long-term success of vertebral reconstruction. Nonetheless, ensuring long-lasting biological stability continues to be a major challenge across all current vertebral replacement strategies (31,32,35-42,65-69). Due to the inherent difficulty of integrating both mechanical performance and biological compatibility in a single solution, there is currently no biomaterial that fulfills all the ideal requirements for vertebral body replacement. Instead, various materials are available, each offering particular advantages that may be more or less appropriate depending on the specific clinical context in which they are used (31,32,37,38,65-69). Tissue engineering integrates principles from life sciences and materials engineering to develop artificial constructs aimed at stimulating tissue regeneration (70). In total vertebral body replacement procedures, the solid implant used for reconstruction is typically called a spacer or cage. This type of device is inserted in the spine to maintain structural alignment and provide stability after surgical removal of an intervertebral disc or vertebral body, as in discectomy or corpectomy. A variety of spacer materials have been explored in clinical practice, and the literature reflects diverse approaches using different biomaterials. The earliest options for vertebral body replacement, dating back to the 1950s and 1960s, included polymethylmethacrylate bone cement. These were later followed by solid metal cages, metallic mesh constructs, carbon fiber cages, synthetic polymer implants, and various composite materials. A major limitation of many of these implants is their persistence as foreign objects within the body, lacking full osseointegration or the ability to degrade and be replaced by native bone tissue. Additionally, complications such as implant subsidence, displacement, micromotion, fracture, structural collapse, stress shielding, and adjacent-level vertebral fractures have been reported. In response to these issues, recent advancements have focused on combining mechanically robust materials with bioactive agents designed to replicate bone-like properties, thereby promoting enhanced biological integration. The rationale behind these composite systems is to capitalize on the mechanical strength of structural materials while incorporating biologically responsive elements that facilitate tissue bonding and healing, ultimately aiming to overcome the individual shortcomings of each material when used alone (37-43,71-76).
For similar reasons, numerous polymers that are both biodegradable and biocompatible, derived from natural and synthetic sources, have been engineered for use in medical applications. One prominent example is polylactic acid (PLA), a type of bioplastic. PLA is a thermoplastic material classified within the aliphatic polyester family and is produced through the fermentation of sugars extracted from renewable resources such as corn starch, sugarcane, and potatoes. Due to its favorable properties, including compatibility with living tissues and the ability to degrade naturally over time, PLA holds strong promise for applications involving the regeneration of large-scale biological tissues (77-80). This material is extensively applied in various biomedical fields such as regenerative medicine, controlled drug release systems, and temporary implantable devices, primarily because of its advantageous mechanical characteristics, simple manufacturing process, and natural degradation into lactic acid when exposed to physiological environments (77-81). In addition to its excellent biocompatibility, PLA possesses a degree of crystallinity that provides the necessary rigidity and mechanical strength to ensure initial and mid-term stability during the bone healing process. This is particularly important in load-bearing regions such as the spine, making it a promising candidate for use in vertebral body reconstruction (78,79,82).
Conventional approaches in tissue engineering for repairing bone defects often present several limitations, including irregular pore distribution, poor interconnectivity between voids, limited reproducibility, inadequate mechanical performance, and residual traces of organic solvents. These issues collectively compromise the structural integrity, consistency, and overall quality of the resulting constructs (83).
Recent developments in reconstructive surgery have introduced three-dimensional (3D) printing, also referred to as additive manufacturing, a technique that constructs complex structures layer by layer using computer-generated design models. This innovation makes it possible to fabricate patient-specific implants that conform precisely to the geometry of the bone defect, while also closely replicating the architecture of natural bone, including both the cortical and cancellous regions, as well as their porosity, dimensions, and overall morphology. This high degree of anatomical accuracy promotes early-stage bone integration, which may enhance long-term mechanical stability and reduce the occurrence of complications such as implant subsidence, displacement, immune response, and failed bone union. As a result, 3D printing has enabled the cost-effective and reproducible creation of artificial support structures known as scaffolds. These are porous constructs with predefined shapes designed to act as temporary frameworks or substrates that guide and sustain the regeneration of new tissue. They provide mechanical support and create a favorable environment for cellular adhesion, proliferation, differentiation, and extracellular matrix secretion, ultimately facilitating the formation and organization of new bone within the defect site (43,65,68,84-91).
Although PLA is among the most extensively researched and widely used biodegradable polyesters in biomedical applications, its specific use as an implant material in total vertebral body replacement remains largely unexplored. Therefore, the aim of this study is to conduct a preliminary investigation into the potential of a novel porous PLA-based 3D-printed implant designed for reconstruction in total vertebral body replacement at the L1 level. The study was carried out in four main phases: the initial design, optimization, and fabrication of the implant; an in vitro evaluation of its biocompatibility and ability to support cell proliferation; an in vivo assessment of its functional performance in a Wistar rat model; and finally, a sequential histological analysis to examine the progression of its osseointegration. We present this article in accordance with the MDAR and ARRIVE reporting checklists (available at https://jss.amegroups.com/article/view/10.21037/jss-25-95/rc).
Methods
Design conception, optimization and 3D printing of PLA vertebral body replacement device
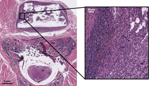
The initial phase focused on the development and refinement of a PLA-based bioimplant intended for total vertebral body replacement of the L1 segment in the Wistar rat, with the goal of functioning as a scaffold to support bone regeneration. The L1 vertebral body was chosen due to its high incidence in human vertebral fractures, a vulnerability that is largely explained by its anatomical location at the junction between the relatively rigid thoracic spine and the more flexible lumbar region. To closely replicate the biomechanical environment of vertebral body replacement at this transitional spinal level, the experimental model was designed accordingly, and the L1 vertebra was specifically chosen for this purpose. A prior anatomical study was conducted on 20 female Wistar rats, each 3 months old and weighing between 250 and 350 grams, to examine the L1 vertebral body’s morphology and guide the design parameters for total vertebral body replacement implants. The analysis revealed that the L1 vertebra in these rats typically exhibits a triangular prism shape with a prominent anterior central ridge. On average, its vertical dimension was significantly greater than its transverse width, with a mean height of 4.1±1.1 mm, as determined from direct measurements of the excised specimens (Figure 1). Histological sections at the superior, mid, and inferior levels of the vertebral body were analyzed to determine axial diameters (Figure 2). The average anteroposterior diameters at these three levels were 2.20±0.11, 2.30±0.1, and 2.23±0.12 mm, respectively, while the corresponding lateral diameters measured 3.67±0.1, 3.44±0.11, and 3.75±0.13 mm. These findings indicate a narrowing in the midsection relative to the upper and lower thirds. For improved handling, adaptation to the corpectomy defect, and ease of fixation, a rectangular prism shape was selected for the implant, with dimensions set at 6 mm in height, 3.5 mm in width, and 2.5 mm in anteroposterior depth. A computer-aided design (CAD) file was created for Fused Deposition Modeling (FDM) 3D printing, and two groups of PLA implants were fabricated using a semi-crystalline mixture of PLA-L and PLA-D isomers (PDLLA), composed of 98 percent PLA-L. The implants featured orthogonal strut patterns arranged in alternating, discontinuous layers, resulting in translucent, porous structures that included a central channel to allow suture passage for securing the implant to adjacent tissues. Macroscopic images are presented in Figure 3, and additional surface details were captured via scanning electron microscopy (SEM) in Figure 4. SEM analysis revealed microporosity with pore diameters ranging from 150 to 500 micrometers, forming a complex network of interconnected channels. After fabrication, the PLA devices were packaged in a nitrogen-controlled environment to prevent oxidative degradation induced by radiation and were subsequently sterilized with a 25 kGy dose using a 10 MeV electron beam at a dose rate of 10 kGy per minute, delivered through a linear accelerator at a certified ionizing radiation facility.
In vitro biocompatibility and cell growth on the 3D-printed PLA vertebral body replacement device
The next phase consisted of in vitro cell biology testing, performed on both irradiated and non-irradiated bioimplants, to evaluate their ability to support cellular growth. For this purpose, a commercial pre-osteoblast cell line (MC3T3-E1 Subclone 4; ATCC CRL-2593), was used, thus representing a suitable cell model for the present study. Cells were grown in Alpha Minimum Essential Medium with ribonucleosides, deoxyribonucleosides, 2 mM L-glutamine and 1 mM sodium pyruvate, but without ascorbic acid (Gibco A1049001, Grand Island, NY, USA), supplemented with heat-inactivated fetal bovine serum (FBS, VWR HYCLSV30160.03) 10% (v/v) and streptomycin and penicillin 1% (Gibco) at 37 ℃ in a humidified atmosphere with 5% of CO2. The culture medium was replaced every other day, and cells were used after reaching a confluence of approximately 80–85%. The devices used for the in vitro tests are small-scale specimens of the ones used for surgery. To determine whether exposure to irradiated PLA devices had any cytotoxic effect on MC3T3-E1 cells, an indirect toxicity assay was employed. Cells were grown in 96-well tissue culture plates and exposed to conditioned culture medium left in contact with the irradiated small scale PLA devices for 5 days in the cell culture incubator under the above conditions. Cells growing in non-conditioned and conditioned medium with non-irradiated devices were used as controls. After 2 days in culture in normal medium, the growth medium was replaced every other day with either conditioned medium from irradiated or non-irradiated devices, or non-conditioned medium. After a total of 7 days, a resazurin-based bioassay (Alamar Blue®, Thermo Scientific, Waltham, MA, USA) was performed to evaluate the viability of the cells. The cells were incubated with 100 µL of fresh culture medium supplemented with 0.1 µL Alamar Blue® (1:1,000, Thermo Scientific) for 4 h at 37 ℃ in a 5% CO2 atmosphere (92). After that period, the collected medium was transferred to a 96-well plate, and the optical density (OD) was read in a microplate reader (PerkinElmer Victor 3V, Waltham, MA, USA) at 570 nm with a reference wavelength of 600 nm. Measurements were made in triplicate. To evaluate the direct effect of the irradiated PLA devices on MC3T3-E1 cell viability, adhesion and growth, we used a direct cell viability protocol. Cells were grown in the presence of small scale irradiated and non-irradiated PLA devices in 96 well tissue plates at 37 ℃ and a 5% CO2 atmosphere for 7 days. At the end of the culture period, a cell viability assay was performed in the same experimental conditions as the one described previously regarding indirect method. The results obtained from cells growing on irradiated devices were compared with the ones from cells cultured with non-irradiated devices as well as cells growing directly on the surface of the well. Regarding cytochemistry, after the direct viability assay, MC3T3-E1 cells grown for 7 days in small scale irradiated and non-irradiated PLA devices were fixed for 1 h with paraformaldehyde (PFA) 4% in phosphate buffer saline (PBS) at room temperature. After washing with PBS, they were further permeabilized with 0.2% Triton X-100 (room temperature, 20 min). Cells were then blocked with blocking solution [1% bovine serum albumin (BSA), 1% goat serum, and 0.05% Triton X-100 in PBS] for 1 hour and stained at room temperature for 1 hour with Methyl Green (1:500 in PBS) and Alexa488 conjugated Phalloidin (1:400 in PBS) (both from Molecular Probes, Eugene, OR, USA), to visualize cell nuclei and actin cytoskeleton, respectively. The samples were mounted in anti-fading medium (n-propyl-gallate in PBS: glycerol) on a glass slide and sealed with a coverslip (93). Multi-channel composite images of the samples were acquired on a Leica SPE confocal system (Leica Microsystems, Wetzlar, Germany). Confocal microscopic images were analyzed using Image J software. Images are maximum intensity projections of approximate 100 µm confocal z-stacks.
In vivo application of a 3D-printed PLA vertebral body replacement device in a Wistar rat model—surgical technique
Following favorable outcomes regarding cellular proliferation within the developed devices (further discussed in the dedicated results section) the study progressed to the in vivo phase, involving their application in a Wistar rat animal model.
A total of 35 female Wistar rats, aged 3 months and weighing between 250 and 350 grams, were enrolled in this segment. All animals were housed under controlled environmental parameters and subjected to a 6-hour fasting period prior to surgery. All in vivo procedures adhered stringently to the ethical guidelines established in the Guide for Proper Conduct of Animal Experiments and Related Activities in Academic Research and Technology [2006]. All animal experiments were performed under project licenses granted by the institutional ethics committee of Nova Medical School, Lisbon, Portugal (No. 135/2019/CEFCM) and Faculty of Medicine, University of Coimbra, Coimbra, Portugal (No. CE-141/2023/FMUC), in compliance with Directorate General of Food and Veterinary national guidelines for the care and use of animals. A protocol including the research question, key design features, and analysis plan was prepared before the study without registration. The surgical approach is depicted in Figures 5-7, corresponding to sagittal, coronal, and axial anatomical planes, respectively. Figures 8,9 present intraoperative photographs highlighting relevant procedural details. All subjects underwent an anterior retroperitoneal laparotomy to access the first lumbar vertebral body (L1). After identification and mobilization of the aorta (Figure 9A) and the inferior vena cava, anatomical identification of L1 was accomplished based on its position directly caudal to T12, the final thoracic vertebra bearing the twelfth rib (Figures 5A,6A). Subsequent dissection exposed the anterolateral aspects of the L1 vertebral body as well as the anterior borders of the neighboring intervertebral discs (T12–L1 and L1–L2) (Figures 5B,6B,7A,8A). To more precisely define the cephalic and caudal boundaries of the L1 vertebra, a small incision was made in the anterior annulus fibrosus of the adjacent intervertebral discs. A corpectomy of L1 was then performed using fine rongeurs. The procedure began with the removal of the midline crest and was progressively extended posteriorly, preserving only a thin shell of the posterior cortical bone to minimize the risk of spinal cord injury (Figures 5B,6B,7B,8B). Previous attempts using ultrasonic vibratory instruments resulted in paraplegia, likely due to thermal injury to the spinal cord. Therefore, a purely mechanical method using rongeurs was selected. The remaining intervertebral disc tissue was excised until the adjacent endplates were fully visualized. The cartilaginous layers of the endplates were then removed using a curette, exposing the subchondral bone of the adjacent vertebral bodies. At this stage, the osseous defect site was fully defined, and the device was implanted into the void, positioned in direct contact with the posterior vertebral wall and securely lodged between the endplates of the adjacent vertebrae (Figures 5C,6C,7C,8C,9A). In certain instances, minor adjustments to the device’s length were required to accommodate individual anatomical variations. Fixation of the implant was achieved using non-absorbable sutures placed transosseously into the adjacent vertebral bodies, as well as anchoring sutures to the surrounding psoas musculature (Figure 9).
Initially, a non-absorbable suture thread is passed through the central aperture of the implant (Figure 9B). The suture is then anchored to the adjacent vertebral bodies and the psoas muscle, with the knot strategically positioned on the anterior aspect of the device to maintain its placement within the corpectomy defect site (Figure 9C,9D). Subsequently, the psoas muscle is approximated and closed over the implant using additional sutures, thereby enhancing the stability and securing the implant in its intended anatomical position (Figure 9E).
In vivo application of a 3D-printed PLA vertebral body replacement device in a Wistar rat model—sequential histological analysis of osseointegration
The animals were euthanized at predefined monthly intervals ranging from 2 to 6 months after the surgical procedure using an overdose of anesthetic agents. At each corresponding timepoint, the spinal segment comprising T12, the implanted device, and L2 was carefully excised for histological examination. The study population was organized into three distinct groups according to postoperative time: 2, 4, and 6 months, with all groups subjected to systematic comparative analysis. Two complementary methods were employed for evaluation. The first involved standard histological assessment, and the second consisted of a macroscopic inspection of the device’s presence and structural integrity during histological processing. The macroscopic assessment aimed to determine whether the implant remained visible with its original morphology, as shown in Figure 3, or whether it had become visually indistinct from the surrounding tissues.
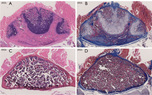
For histological processing, the harvested vertebral segment containing L1 was initially fixed in a 10 percent PFA solution. This was followed by decalcification using a solution composed of 8 percent hydrochloric acid and formic acid. Axial sections were obtained through various levels of the L1 region to enable proper visualization of both the interior architecture of the implant and the interface between the device and the posterior wall of the L1 vertebral body, as illustrated in Figure 7. This particular interface was selected for analysis because it offers greater histological accessibility compared to the contact surfaces between the device and the adjacent vertebral bodies. The primary objective was to evaluate the formation of bone bridges between the posterior wall of native bone and the implanted material. For histological processing, the extracted vertebral segment containing L1 was initially fixed in a 10 percent PFA solution. This was followed by decalcification using a solution composed of 8 percent hydrochloric acid and formic acid. Axial sections were obtained through various levels of the L1 region to enable proper visualization of both the internal architecture of the implant and the interface between the device and the posterior wall of the L1 vertebral body, as illustrated in Figure 7. This particular interface was selected for analysis because it offers greater histological accessibility compared to the contact surfaces between the device and the adjacent vertebral bodies. The primary objective was to evaluate the formation of bone bridges between the posterior wall of native bone and the implanted material. Tissue samples were processed using standard histological staining techniques, including hematoxylin and eosin (H&E) and Masson’s trichrome (MT), to assess the structural and cellular characteristics of the healing process. During slide preparation for rats in the 2- and 4-month postoperative groups, where implant integration was still limited, the PLA scaffold often could not be sectioned due to its rigidity and was therefore not retained in the histological slides. As a result, most sections from these groups displayed a clearly defined, rectangular void corresponding to the original implant location, often with only minor remnants of the scaffold visible adjacent to native tissue. In these cases, the empty region served as a reference to assess cellular infiltration and bone formation within the scaffold boundaries, which remained morphologically distinct. Despite the loss of PLA material during processing, the presence of newly formed tissue within the original implant space indicated in vivo degradation of the scaffold and subsequent tissue colonization. In contrast, in some animals from the 4-month group and consistently in the 6-month group, progressive scaffold resorption and replacement by biological tissue enabled clear visualization of the implant area, with the scaffold being replaced by bone repair tissue as observed in the stained sections. All slides were scanned at high resolution and analyzed using QuPath version 0.5.1, an open-source digital histopathology platform. This allowed comprehensive whole-slide image analysis, including tissue segmentation, feature quantification, and classification. A Random Trees pixel classifier, trained on 325 manually annotated regions, was used to distinguish between different stages of implant osseointegration. The classifier distinguished tissue types by analyzing both color and morphological patterns identified within the manually annotated regions. For histological analysis, the selected region of interest consistently included the rectangular space corresponding to the implant site, appearing white at early time points or replaced by tissue at later stages, along with its surrounding periphery and the transitional zone between the device and the posterior wall of the L1 vertebral body. This area was manually outlined prior to classification in order to accurately evaluate the extent of implant osseointegration and the progressive substitution of the PLA scaffold by regenerative bone tissue. The trained algorithm was then employed to quantify the proportion of the implant region occupied by remaining PLA material and by tissues representing distinct phases of bone healing. Annotated tissue categories included PLA remnants, defined as either the central white void or peripheral grayish fragments, inflammatory and granulation tissue composed of erythrocytes, leukocytes, macrophages, and endothelial cells, fibroblastic and cartilaginous tissue such as fibroblasts, chondroblasts, and chondrocytes, and bone tissue comprising osteoblasts, osteocytes, and osteoclasts in the form of either immature woven bone or mature trabecular bone. These tissue elements were quantified using pixel-based image analysis to assess the dynamic process of tissue ingrowth and scaffold degradation. The gradual reduction of the white area originally corresponding to the PLA scaffold served as an indirect indicator of polymer resorption and tissue replacement, given the methodological limitation in directly quantifying intact PLA that has not yet undergone biological substitution. Due to the high degree of pixel-level similarity between woven and trabecular bone, automated differentiation between these two bone types proved challenging. Therefore, immature and mature bone were manually annotated, with mature bone being defined by the presence of organized bone trabeculae structures. Additionally, the presence or absence of bone bridges at the interface between the implant and the native bone of the posterior vertebral wall was qualitatively assessed. The final dataset incorporated both quantitative data on the relative composition of PLA and bone healing tissues within the implant site and a qualitative marker indicating the formation of bone trabeculae and device-posterior wall interface bone bridging, thus providing a comprehensive assessment of osseointegration status in each experimental case.
Statistical analysis
An initial descriptive analysis was conducted, reporting mean values, medians, and minimum-to-maximum ranges for each variable of interest. This was followed by inferential statistical comparisons to determine whether significant differences existed across the evaluated timepoints. All statistical procedures were carried out using IBM SPSS Statistics for Windows, Version 28.0 (IBM Corp., Armonk, NY, USA). Assessment of data distribution was performed using the Shapiro-Wilk test, which indicated that most variables did not conform to a normal distribution. Consequently, nonparametric statistical tests were applied. A P value lower than 0.05 was adopted as the criterion for statistical significance in all analyses.
Results
In vitro biocompatibility and cell growth on the 3D-printed PLA vertebral body replacement device
The results from the indirect cell viability assays demonstrated that the number of viable MC3T3-E1 cells was unaffected in the different conditions, therefore indicating that there was no detectable soluble mediated cytotoxic effect elicited by the PLA irradiated and non-irradiated devices on the cells (Figure 10A). The viability test of cells cultured directly on the devices showed that, although fewer cells grew on the devices compared to the bottom of the culture wells (96-well plates), the irradiation process did not adversely affect the devices’ biocompatibility (Figure 10B). The smaller number of cells growing on the devices in comparison with the plastic surface of the well is probably a measure of the available surface for cell attachment. Additionally, in Figure 11, the same cells growing in direct contact with the devices were imaged with nuclear and cytoskeletal markers and display very good adhesive properties, optimal device surface occupation, and adequate cell morphology on both non-irradiated (Figure 11, A,A1,A2) and irradiated devices (Figure 11, B,B1,B2). Indeed, MC3T3-E1 cells’ actin cytoskeleton morphology (Figure 11A, green staining) are compatible with a mesenchymal cell shape, thus accordant with the characteristics of pre-osteoblasts. The very regular nuclear morphology (Figure 11A, blue staining) does not suggest DNA fragmentation or noticeable cell death. Based on these findings, it was concluded that the 3D-printed PLA devices irradiated at 25 kGy exhibit favorable biocompatibility properties and are therefore appropriate for subsequent in vivo studies involving vertebral body replacement.
In vivo application of a 3D-printed PLA vertebral body replacement device in a Wistar rat model—surgical technique
Of the initial cohort of 35 Wistar rats undergoing the surgical procedure, 3 did not survive the surgery, and an additional 2 animals died within 48 hours postoperatively. The most likely cause of mortality was intraoperative hemorrhage due to inadvertent injury to major blood vessels during implant fixation, especially in the initial cases. Nevertheless, the possibility of spinal cord trauma contributing to these outcomes cannot be excluded. Among the 30 animals that survived, neurological impairments were documented in 4 cases, corresponding to an overall incidence of 13.33 percent. Specifically, one animal exhibited complete paraplegia, accounting for 3.33 percent, while 3 animals presented with monoplegia affecting a single hindlimb, representing 10 percent of the cohort.
Histological device osseointegration outcomes
During the histological analysis, 5 vertebral samples were excluded due to extensive tissue fragmentation that rendered them unsuitable for analysis. Consequently, 25 vertebral sections with clearly identifiable device regions were retained for the final histological evaluation focused on the progression of implant osseointegration. Two PLA implants were found to have migrated anteriorly and were therefore excluded from further evaluation, as they lacked contact with the posterior vertebral wall and did not exhibit sufficient mechanical stability to support osseointegration. In both cases, which corresponded to a postoperative period of 4 months, the tissue identified within and surrounding the device consisted exclusively of inflammatory and granulation tissue. Following this exclusion, the final sample size comprised 23 specimens, which were distributed into three groups based on postoperative duration. The 2-month group included 9 specimens, the 4-month group contained 8 specimens, and the 6-month group was composed of 6 specimens. The evolution of histological parameters related to implant osseointegration at 2, 4, and 6 months is presented in Table 1 and Figure 12, which detail the percentage of pixels corresponding to PLA material and each bone repair tissue type at each time point, as well as the presence or absence of bone bridges at the interface between the device and the posterior vertebral wall. Macroscopic assessment is also included, indicating whether the device remains macroscopically visible during histological processing or has become indistinct from surrounding tissues. Representative histological images are provided to illustrate the predominant tissue types, including PLA material (Figure 13), inflammatory and granulation tissue (Figure 14), fibroblastic tissue (Figure 15), cartilaginous tissue (Figure 16), immature woven bone (Figure 17), and mature trabecular bone (Figures 18,19). A clear downward trend in the proportion of device material is observed, with a mean of 69.55%±8.16% at 2 months decreasing to 7.68%±11.24% by 6 months. Inflammatory and granulation tissue also show a decreasing profile, from 22.63%±9.45% at 2 months to 6.73%±3.24% at 6 months. Conversely, fibroblastic and cartilaginous tissue as well as trabecular bone exhibit increasing trends over time, with a more pronounced rise seen in trabecular bone. Fibroblastic and cartilaginous tissue account for 7.14%±5.70% at 2 months and increase to 27.48%±17.46% at 6 months. Trabecular bone was virtually absent at the 2-month time point, representing only 0.04%±0.13% of the analyzed area, but increased substantially to 43.12%±9.72% by the end of the 6-month period. Similarly, immature woven bone was nearly undetectable at 2 months, accounting for 0.21%±0.33%, but reached a notable proportion of 19.63%±5.81% at 4 months. At 6 months, however, the percentage of woven bone decreased slightly to 14.99%±5.77%. Statistical analysis revealed significant differences across specific time points for all evaluated parameters. The percentage of remaining device material was significantly higher at 2 months compared to both 4 months (P=0.03) and 6 months (P<0.001). The proportion of inflammatory tissue was significantly lower at 6 months in comparison with 2 months (P=0.001). Fibroblastic and cartilaginous tissue showed a significantly higher percentage at 6 months relative to 2 months (P=0.009). The amount of woven bone was significantly lower at 2 months compared to both 4 months (P<0.001) and 6 months (P=0.01). The proportion of mature trabecular bone was significantly greater at 6 months compared to 2 months (P<0.001). The interface between the PLA device and the posterior vertebral wall was also examined for the presence of bone bridges. At both 2 and 4 months, this interface showed no evidence of continuity and was instead characterized by a fibrotic tissue layer. In contrast, by the 6-month time point, 66.67% of the animals exhibited bone bridging at this interface. In some cases, the assessment of this region was hindered by sectioning artifacts. No evidence of necrosis was observed within the device region, particularly in the histological sections from the 6-month group in which the implant had been almost entirely replaced by cartilaginous or bone tissue.
Table 1
| Postop time point (n=23) |
PLA device material (pixel %) |
Inflammatory/granulation tissue (pixel %) | Fibrous/cartilage tissue (pixel %) | Woven bone (pixel %) | Trabecular bone (pixel %) |
Bone bridges at device-posterior wall interface | Macroscopic evaluation |
|---|---|---|---|---|---|---|---|
| 2 months (n=9) | No | Visible device | |||||
| Mean ± SD | 69.55±8.16† | 22.63±9.45 | 7.14±5.7 | 0.21±0.33 | 0.04±0.13 | ||
| Median | 68† | 23 | 6.9 | 0 | 0 | ||
| Interval | 54.8–82.8 | 9.8–41.4 | 0–18.1 | 0–0.8 | 0–0.4 | ||
| 4 months (n=8) | No | Visible device | |||||
| Mean ± SD | 42.84±4.8† | 9.73±1.34 | 18.41±8.87 | 19.63±5.81 | 9.4±7.68 | ||
| Median | 42.05† | 10 | 14.85 | 19.65 | 10.25 | ||
| Interval | 35.9–51.9 | 6.9–11.2 | 9.7–36 | 11.2–31.1 | 0–20.1 | ||
| 6 months (n=6) | Yes =66.67%; no =33.33% |
Non-visible device | |||||
| Mean ± SD | 7.68±11.24 | 6.73±3.24 | 27.48±17.46 | 14.99±5.77 | 43.12±9.72† | ||
| Median | 1.35 | 5.5 | 22.7 | 15.53 | 45.65† | ||
| Interval | 0–26.5 | 4.05–12.7 | 4.5–54.7 | 5.5–21.4 | 28.9–54.9 |
†, the predominant tissue component at each time point is denoted by. PLA, polylactic acid; SD, standard deviation.
Discussion
PLA biomaterial and 3D-printing in total vertebral body replacement
L1 was selected for this study because it is the vertebral body most commonly involved in human spinal fractures. This vulnerability arises because, at the thoracolumbar junction, the first lumbar vertebra experiences increased axial loading forces compared to other thoracic and lumbar vertebrae, serving as a critical structural support marking the transition from the relatively immobile thoracic spine to the more flexible lumbar spine—a feature also observed in the Wistar rat. Although the quadrupedal anatomy of rats introduces certain physiological limitations, the choice of L1 aimed to replicate the biomechanical conditions of vertebral body replacement at this specific level as precisely as possible, thereby enhancing the relevance and applicability of the findings to human clinical practice (94). A growing body of evidence supports the notion that, following vertebral injury, the reconstruction of the vertebral body should aim to replicate its native anatomical configuration as closely as possible. This strategy is essential not only for restoring the structural integrity and load-bearing function of the damaged vertebra but also for reestablishing the biomechanical harmony among the elements of the vertebral motion segment (1-13). Bone tissue engineering, a field of regenerative medicine, is dedicated to the development of biomaterial-based constructs intended to restore the structure and function of compromised skeletal tissue. This strategy relies fundamentally on two components: osteoblasts and scaffold systems. Osteoblasts are specialized cells responsible for generating and remodeling bone matrix, while scaffolds act as supportive 3D environments that enable cellular attachment, expansion, and differentiation. Ideally, these biomaterial frameworks provide temporary structural guidance and are progressively resorbed as they are replaced by newly formed bone (95).
The primary aim in bone replacement is to regenerate tissue that mirrors the native bone in its immune compatibility, biomechanical strength, structural configuration, and physiological function. This becomes especially relevant in procedures involving total replacement of the vertebral body, where the implant material is expected to replicate the bone’s elastic behavior and rigidity to ensure appropriate load distribution to adjacent segments. In addition, the material must exhibit a porous morphology that promotes cell attachment, tissue infiltration, vascularization, and fluid diffusion, all of which contribute to the biological integration of the implant. The mechanical ability to withstand compressive and shear forces is also essential for the implant to support spinal loads effectively. Beyond these structural and mechanical demands, optimal bone graft substitutes should exhibit properties such as biocompatibility, biological activity, controlled resorbability, and the capacity to support and induce new bone formation. Ultimately, they must be gradually replaced by bone, resulting in complete osseous fusion and long-term dynamic stability of the vertebral segment. Ease of surgical handling, a strong safety profile, and cost-effectiveness are also key considerations for clinical translation. A wide array of materials has been investigated for this purpose, including metallic implants, ceramic matrices, carbon-based frameworks, synthetic polymers, and hybrid composites. Nonetheless, an ideal material that satisfies all the biological, mechanical, and practical requirements for total vertebral body reconstruction has yet to be identified (31-44,65-69). Although these materials are generally well tolerated by biological systems, most of them lack biodegradability and therefore persist indefinitely within the body as foreign elements. This limitation has led to increased interest in biodegradable implants, which are gradually resorbed and replaced by native bone tissue over time. An additional advantage of these biodegradable systems is their radiolucent nature, which facilitates more accurate and reliable imaging-based assessment of bone fusion during the healing process (82). Biopolymeric materials currently employed in clinical and experimental contexts can be broadly categorized based on their degradation profiles. On one hand, there are non-resorbable polymers such as polyether-ether-ketone (PEEK), polyethylene (PE), and polyamide (PA), which remain permanently within the body unless surgically removed. On the other hand, degradable polymers can be further subdivided according to their resorption kinetics into rapidly degradable types, such as PLA and polylactic-co-glycolic acid (PLGA), and more slowly resorbing polymers like polycaprolactone (PCL). This classification is based on the rate at which each material is broken down and replaced by host tissue following implantation (96). From a manufacturing perspective, biopolymers commonly utilized in scaffold development can be divided into natural and synthetic categories. Naturally derived polymers such as fibrin, hyaluronic acid, chitosan, and collagen offer intrinsic advantages including the presence of bioactive sites for cell attachment, high biocompatibility, osteoconductive potential, and low immunogenicity. However, they are generally limited by inadequate mechanical strength and an unpredictable or difficult-to-regulate degradation profile. In contrast, synthetic polymers have gained increasing prominence in scaffold engineering due to several favorable characteristics. These include a controllable degradation rate, straightforward chemical synthesis, ease of functional modification, and significant design flexibility. Additionally, their molecular composition and structural architecture can be precisely engineered to fulfill specific functional and mechanical requirements of the intended biomedical application (97-99). Among the leading materials, PLA has emerged as a promising candidate due to its biocompatibility, bioresorbability, and relatively rapid degradation profile, making it particularly suitable for applications involving the regeneration of large-volume tissues. It is derived from the microbial fermentation of sugars sourced from renewable and sustainable biomass, including corn starch, sugarcane, and potatoes, and can also be produced using agricultural waste substrates. The resulting lactic acid monomers are subsequently polymerized to form PLA. Upon fulfilling its functional role, PLA undergoes hydrolytic degradation into lactic acid, a naturally occurring metabolite that is readily processed by the human body (77-80,96). PLA is typically reported to have a predicted biological lifespan ranging from 12 to 18 months, although it may persist in vivo for up to 5 years. Its degradation rate is influenced by a variety of factors, including polymer composition, local pH, device geometry, molecular weight, degree of crystallinity, sterilization method, mechanical loading, and the conditions employed during fabrication. The degradation time of PDLLA, composed predominantly of the L-isomer and used in the devices evaluated in the present study, generally ranges between 6 and 12 months. This is shorter than the degradation period of the highly crystalline poly(L-lactic acid) (PLLA), composed exclusively of the L-isomer, which typically degrades over 12 to 24 months (58,78,79,82,100). PLA undergoes degradation primarily through hydrolytic mechanisms, beginning with surface-level erosion that initiates microcrack formation and eventual fragmentation of the implant. The porous architecture of the PLA device enhances fluid penetration toward its core, enabling the formation of interior voids where the degradation process continues. As the polymer breaks down into smaller particles, these are subsequently phagocytosed by inflammatory cells and metabolized into harmless byproducts that are cleared from the body via normal cellular pathways and urinary excretion (56,78,82). Although PLA is biodegradable, its semi-crystalline form also possesses notable mechanical strength, with an elastic modulus of approximately 4 GPa, which is comparable to that of human vertebral cortical bone (2.4 GPa) and cancellous bone (2.1 GPa). This mechanical compatibility makes PLA a suitable matrix for bone scaffolds and represents the rare but critical combination of biodegradability and strength, a requirement previously emphasized in the context of biological replacement of the vertebral body, a major load-bearing element of the spine. This biomaterial is currently among the few that successfully approach the necessary balance between mechanical stability, biocompatibility, and controlled degradability, while also approximating the native stiffness of bone, a particularly difficult characteristic to replicate. The challenge lies in developing a scaffold that can simultaneously provide substantial strength through strong interatomic and intermolecular forces, while maintaining a physical and chemical structure that remains susceptible to hydrolytic degradation. As a result, this biomaterial can deliver both initial and intermediate-term mechanical support, followed by a gradual resorption process in which the implant is replaced by native biological tissue. As PLA degrades, its void is gradually filled with reparative bone tissue, allowing for a progressive transfer of load to the regenerating bone. The progressive change in mechanical strength throughout the degradation process plays a pivotal role in load-bearing implants, as it ensures a controlled and gradual transfer of mechanical forces to the newly forming tissue (45,46,78,79,82,101,102). In addition, this material exhibits certain piezoelectric properties, which provide the benefit of producing localized electrical signals when subjected to mechanical stress. These signals can promote bone tissue formation and help replicate the natural bioelectrical conditions present in native bone (103,104). Moreover, PLA is highly suitable for 3D fabrication using FDM printers, which allows for cost-effective production, straightforward processing, and consistent reproducibility. Its compatibility with widely available desktop printing systems further enhances its practicality for biomedical applications. Due to the previously mentioned characteristics of biocompatibility, biodegradability, and mechanical strength of PLA, along with its progressive replacement by biological tissues and its accessibility and cost-effective production, PLA is currently one of the most promising biodegradable polymers with potential applications in various fields of medicine and surgery. Most studies are still limited to laboratory settings; however, there has been a growing number of studies involving animal models and even some involving humans (78). PLA is currently an established and well-known material used as tissue engineering scaffolds, delivery system materials, covering membranes, various bioabsorbable medical implants, and sutures. Despite these applications, several criticisms have been raised regarding this biomaterial, including brittleness due to insufficient ductility or plastic deformability before fracture, absence of inherent bioactivity, low osteoconductivity, slow degradation rate, reduced cellular adhesion due to its hydrophobic surface and lack of surface epitopes for cell attachment, and the potential for inflammatory reactions caused by acidic byproducts in cases of rapid device degradation in a biological environment (77-79,105,106). In terms of application in spinal surgery, various elements made of PLA have been tested, including cages, plates, rods, screws, among others (77-81,107). Some experimental and clinical studies have used resorbable interbody cages made of PLA with satisfactory results in terms of fusion and replacement of PLA by healthy trabecular bone without inflammatory reaction, foreign body presence, or wear debris. These cages not only provide immediate postoperative stability and controlled load sharing over time through resorption, but also enable a gradual transfer of anatomical loads to the developing fusion mass. However, these studies have limitations, primarily due to small sample sizes and short follow-up periods (47,101,108,109). However, no studies have been found involving PLA cages in the context of total vertebral body replacement. The inherent characteristics of the biomaterial are essential. However, its application in the form of an implant with properties that favor bone regeneration, for example in vertebral body replacement, also plays a fundamental role. In this context, 3D-printed scaffolds have emerged as an alternative to address existing limitations in bone reconstruction for the treatment of bone defects, particularly in vertebral body replacement, where the specific characteristics and adapted anatomy of the spacer have important implications for bone fusion and osseointegration. Regarding the direct fabrication of patient-specific implants, additive manufacturing techniques such as FDM represent a highly suitable technological approach. This is primarily due to their ability to enable customization for anatomically complex and irregular geometries, while also providing precise control over internal architecture, high accuracy in replicating porosity and morphological features, and consistent reproducibility, all factors that contribute to increased bone fusion rates. As a result, 3D printing has demonstrated clear advantages over conventional tissue engineering strategies for bone defect reconstruction, particularly by allowing the creation of structures that closely replicate the morphology and intricate microstructure of natural bone (43,65,68,79,83-91). Thus, the use of FDM 3D printing enables the production of implants in a fast, precise, and cost-effective manner, through low-cost, automated, and reproducible manufacturing, often achievable using standard desktop printers. This approach offers advantages at both macro and microscale levels. First, at the macrostructural level, it allows for precise anatomical adaptation to the patient’s specific bone defect. Second, at the microstructural level, it enables detailed reproduction of the architecture of the original tissue, in this case bone tissue, allowing for the faithful and reproducible recreation of a homogeneous pore distribution within a highly interconnected interior network (43,65,68,79,83-91). Indeed, during scaffold fabrication, it is essential to regulate the structural characteristics not only at the macroscopic scale, to ensure proper fitting within the bone defect, but also at the microscopic level, in order to enhance properties such as osteoinduction, osteoconduction, osteogenesis, vascular integration, and mechanical performance. Furthermore, control at the nanoscale is also necessary to optimize biological interactions including protein adsorption, cellular attachment, differentiation, and proliferation (110). This study employed a PLA-L/PLA-D blend, known as PDLLA, with 98% L-isomer content, which is a semi-crystalline biomaterial compatible with commercial 3D printing systems. Each device was printed in under one minute and exhibited a degradation time close to the bone regeneration period, which is essential to maintain segmental stability until the device is fully replaced by bone tissue. The advantages of 3D printing implants for vertebral body replacement have already been demonstrated in several clinical studies (43,57,68,84-89,111). Due to its precise adaptation to the morphology and angulation of the patient’s adjacent vertebral endplates, the implant achieves a greater interface for contact, which enhances biomechanical compatibility and facilitates the development of bone continuity between structures. This contributes to more uniform mechanical load distribution across the endplate surface, thereby fostering bone integration, improving initial fixation, and reducing the risk of mechanical problems such as stress shielding or implant sinking. Personalized design thus plays a pivotal role in reducing intraoperative placement inaccuracies during total vertebral body reconstruction, potentially accelerating biological integration. One of the defining advantages of using 3D-printed custom-made implants lies in their capacity to conform to the individual vertebral anatomy of the patient. This high degree of anatomical fidelity allows for minimal disruption of the endplate surfaces during surgery, preserving bone quality and enabling a quicker, more controlled implant positioning process that does not rely on excessive mechanical distraction or forceful insertion. These factors collectively contribute to shorter surgical times, reduced intraoperative bleeding, decreased reliance on fluoroscopy, and a potentially faster biological response in terms of osseointegration. Furthermore, these improvements are associated with a decreased incidence of postoperative complications and a lower probability of revision surgeries. The benefits of such customized implants are particularly significant in spinal procedures, where anatomical variability is high, especially in multisegmental reconstructions or in patients with spinal deformities or altered vertebral architecture (31,32,43,65-67,111-113). In addition to precise anatomical adaptation to the bone defect, 3D printing enables the detailed reproduction of the native bone’s microstructural and porosity features. This plays a crucial role in enhancing the biocompatibility and osteoconductivity of the implant, promoting bone regeneration, as well as supporting its resorption and osseointegration. Porosity characteristics, particularly pore interconnection, overall porosity distribution, and pore size, should closely resemble those of native bone in order to establish a truly interconnected interior network. This ensures uniform permeability throughout the implant, allowing proper circulation of body fluids and the efficient transport of nutrients, oxygen, growth factors and metabolic waste. It also facilitates the attachment, migration, invasion, proliferation, differentiation, and maturation of osteoprogenitor cells, as well as vascular ingrowth. This enhances the osteoconductive potential of the implant and promotes an osteogenic environment that supports bone ingrowth and successful osseointegration of the device. Moreover, it contributes to the implant’s biodegradability, since the pores enable fluid diffusion into the inner structure, favoring the hydrolytic degradation process within the implant. Ultimately, porosity is the key feature that enables osteoblasts to utilize the scaffold as a controllable and interconnected framework that spatially guides, directs, and modulates cellular growth into the intended anatomical shape at the appropriate site, thereby allowing the bone defect to be progressively filled with newly formed bone. Moreover, porosity increases the functional surface area of the scaffold, which enhances the likelihood of cell and vascular adhesion, migration, and differentiation, as well as promotes greater protein adsorption and facilitates more efficient ion exchange. In addition, a porous surface enhances mechanical interlocking between the implant material and the surrounding native bone, thereby promoting bone bridge formation and improving mechanical stability at this critical interface (45,56,70,90,114). This preliminary study was conducted to explore the baseline biocompatibility and potential for bone integration of 3D-printed PLA scaffolds with porous architecture, intentionally avoiding the inclusion of external bioactive molecules or pre-seeded cells. The rationale for using PLA in isolation was to examine its inherent capacity to support tissue regeneration in a simplified and controlled setting, with a focus on affordability, production scalability, and compliance with regulatory standards. Given the central importance of scaffold porosity and the 3D configuration produced by additive manufacturing in facilitating biological integration, the objective was to isolate and assess the contribution of these structural characteristics independently. Verifying positive histological responses with unmodified PLA device represents a crucial foundational step before progressing to advanced scaffold systems incorporating biofunctional components or cellular therapies. For this reason, we consider the morphological characteristics of the PLA device’s printed architecture to be fundamental for its role in total L1 vertebral body replacement, particularly the features related to its porosity. Porosity enables the formation of a fluid-dynamic microenvironment within the scaffold through a highly interconnected porous architecture that mimics the interstitial fluid conditions found in natural bone. The most favorable interconnected porous structure for bone regeneration involves pores with diameters ranging from 100 to 600 µm, as these dimensions are more conducive to cellular and vascular infiltration, ensure the diffusion and distribution of nutrients throughout the newly formed tissues within the scaffold, and facilitate the formation of bone bridges with the surrounding native bone. Blood vessels grow along the pathways created by adjacent pores, and greater vascular development occurs when the porous structure of the implant is more interconnected. Macropore size and interconnected porous networks support the ingrowth of new bone tissue, while micropores contribute to the transport of oxygen and nutrients (45,46,90,96,114). The smallest pores identified in our devices measure 150 µm, with sizes ranging from this value up to 600 µm, as confirmed by SEM, which also revealed a dispersed porosity throughout the entire extent of the implant (Figure 4). The regular distribution of porosity across the implant should exceed 70 percent and is essential for consistent cellular proliferation both spatially within the scaffold and over time. Ideally, the rates of cellular proliferation and material degradation should occur in a synchronized and uniform manner. Additionally, it is well established that porosity influences the degradation pattern of the implant, with larger pore sizes being associated with faster degradation rates due to the more efficient dispersion of acidic products generated during the degradation process (95,114). Sterilization methods play a critical role in the production of scaffolds intended for bone tissue regeneration and must be considered from the earliest stages of implant design. Although a variety of sterilization techniques are available, not all are appropriate for use with biodegradable polymers, as certain methods can lead to detrimental effects such as alterations in physical, chemical, or structural properties, and may result in the generation of harmful degradation products. Among the suitable approaches for sterilizing these polymers are ultraviolet radiation, gamma irradiation, and electron-beam treatment. In this study, we successfully employed electron-beam sterilization (93,115).
In vitro experiments
Thermoplastics widely applied in biomedical engineering are unable to withstand standard sterilization procedures involving steam or dry heat. As printing was conducted under non-sterile conditions, the PLA-based scaffolds underwent electron beam irradiation prior to their use in animal experiments. Consequently, we carried out cellular evaluations on both irradiated and non-irradiated samples to determine whether sterilization had any detrimental effect on their ability to support cell adhesion and growth (45). In vitro models are essential for elucidating the cellular dynamics of bone healing and for assessing the biocompatibility of implantable materials. Our study confirmed that pre-osteoblasts were able to grow effectively on PLA structures exposed to 25 kGy irradiation, as well as on those that were not irradiated. The scaffolds were shown to be non-toxic, and supported proper cellular adhesion and colonization, with cells adopting a mesenchymal-like morphology typical of osteogenic lineage. These results reinforce the potential of 25 kGy-irradiated PLA in regenerative therapies and are consistent with previous studies demonstrating cellular growth on PLA-based implants (57).
In vivo experiments—L1 vertebral body total replacement in a Wistar rat model
Once cytocompatibility has been verified through in vitro cell tests, it becomes essential to conduct a comprehensive evaluation of the whole tissue response using preclinical animal models. This step is crucial to mimic clinically relevant scenarios in a controlled and reproducible environment, enabling a thorough assessment of the biomaterial’s safety, including its biocompatibility, toxicity, risk of adverse effects, and overall effectiveness. Additionally, it provides insight into the likely clinical performance and outcomes of the material. Thus, we applied this device for vertebral body reconstruction in Wistar rats, representing a pioneering study exploring the use of PLA-based implants for total vertebral body replacement. Given the invasive nature of the surgical approach, mortality rates observed during or immediately following the procedure were considered acceptable. The anterior retroperitoneal approach and the anatomical proximity of the L1 vertebral body to the diaphragm and major blood vessels, as illustrated in Figure 9A, were relevant factors. Hemorrhage was identified as the most probable cause of early deaths, with two intraoperative fatalities resulting from aortic injury caused by the suture wire used for implant fixation. In the remaining cases, no definitive cause of death could be established. The need for corpectomy and fixation to the psoas muscle placed these major vessels at risk and contributed to mortality, particularly in the initial cases of the study, when our surgical experience with the technique was still limited. Although L1 corpectomy was performed using mechanical rongeurs, which prevented spinal cord injury due to thermal effects previously observed with ultrasonic vibrating instruments, we acknowledge the possibility of spinal cord damage either from direct trauma or from spinal movement during bone removal, despite our efforts to minimize such motion. The method of implant fixation involved transosseous sutures to adjacent vertebral bodies and the psoas muscle, and although all posterior spinal elements were preserved, maintaining segmental continuity, post-corpectomy body movements in the rats may have been excessive for the spinal cord and led to injury. Nevertheless, the 13.33 percent rate of neurological deficits was considered acceptable given the aggressive nature of the surgical procedure and did not affect the histological outcomes of the study, which focused on osseointegration and bone healing. No signs of toxicity associated with the PLA device were identified. In addition to the customized design of the implant to match the bone defect, one of the most critical factors remains the surgical technique, particularly the preparation of the endplates and the adaptation of the implant to the defect space in a way that ensures maximum congruence. The implant should fit with slight compression between the endplates of the adjacent vertebral bodies and must not remain loose. In the present study, average dimensions of the bone defect to be filled were previously estimated through an analysis involving 20 Wistar rats, and the implant was fabricated with slightly larger dimensions than anticipated to prevent it from being undersized within the defect space. As expected, it was often necessary to slightly reduce the implant height in order to achieve optimal fit within the defect prior to fixation using suture thread anchored to the adjacent vertebral bodies and psoas muscle, thereby preventing device migration.
One of the discussion points in this study concerns the method used to secure the implant after its placement into the bone defect. Fixation was achieved using non-resorbable sutures anchored to the adjacent vertebral bodies and to the psoas muscle, followed by coverage of the implant with the psoas itself, as illustrated in Figures 8,9. This technique may lack the stability required to support effective bone healing and osseointegration. Although we clearly acknowledge that a more rigid fixation method could have provided greater stability to the implant, we believe that such an approach would require the development of dedicated implants, possibly involving the design of an anterolateral plate for fixation to the adjacent vertebral bodies, which would be technically challenging and associated with substantial costs. Furthermore, this type of fixation might result in excessive rigidity, potentially preventing the transmission of mechanical loads to the implant that are essential for generating osteogenic stimulation and promoting bone regeneration, which could ultimately delay or even impair this process. However, it is important to note that the choice of non-resorbable suture material was intended to maintain the implant in place for the longest possible duration, eliminating the risk of migration due to suture resorption. Also, we consider the central opening of the implant to be of particular relevance, as it allows the suture to retain the implant firmly within the defect space and in contact with the preserved posterior wall. This positioning may facilitate the migration of osteoprogenitor cells and vascular invasion from the adjacent native bone. Preserving the posterior wall served multiple purposes: maintaining a degree of segmental stability, preventing contact with the dural sac and thereby minimizing neurological injury, and providing a more accessible and reliable implant-to-native bone interface for histological analysis. This posterior interface is more readily assessable using standard axial sections of paraffin-embedded blocks compared to the interface between the implant and adjacent vertebral bodies. Nevertheless, despite the non-rigid nature of the suture-based fixation, it proved sufficient to prevent implant migration in most cases. Only two instances of implant migration to an anterior position relative to the vertebral body were observed, and successful osseointegration over time was achieved, with only isolated cases of neurological deficits. This outcome is likely attributable to the preservation of a bony lamina from the posterior wall of the L1 vertebral body and the corresponding posterior portions of the adjacent intervertebral discs, which maintained some degree of connection between the vertebral body and the posterior elements, thereby likely preventing complete segmental instability. Additionally, the quadrupedal posture of the rat subjects implies a different load distribution on the L1 vertebral body compared to the biomechanical forces observed in bipedal species. Nevertheless, theoretical considerations indicate that the spine of a quadrupedal goat is primarily subjected to loading along its longitudinal axis, similarly to the human spine, although it experiences greater axial compressive stress (116). In this way, our fixation method, by preventing implant migration and maintaining the device positioned between the adjacent vertebral bodies and in contact with the preserved posterior wall lamina of the L1 vertebral body, theoretically allows for the transmission of axial loads through the implant, which are likely beneficial for promoting osteogenic stimulation and osseointegration, considering the piezoelectric properties of PLA (103,104,117). Even so, this implies that the findings of this study have inherently limited translational potential to the human context, where fixation would necessarily need to be more rigid than suture alone. The choice of a complementary stabilization method for the biodegradable implant is a critical factor in clinical translation, as it is this method that provides temporary primary stability while the device is gradually resorbed and replaced by new bone tissue. Its role ceases only once mature trabecular bone has formed and is capable of ensuring definitive secondary mechanical stability. Moreover, the selected stabilization approach will directly influence the mechanical loads applied to the implant during the early integration phase, which, as previously discussed, are crucial not only for guiding bone regeneration but also for modulating the degradation behavior of the implant (58,78,79,82,100).
In vivo experiments—sequential histological analysis of PLA device osseointegration
The efficiency of osseointegration depends primarily on two key factors: the biological properties of the implant and its mechanical environment. As mentioned in the introduction, the implant should be subjected only to the minimal mechanical loads required to stimulate bone fusion and osseointegration, while being protected from excessive forces that could have a detrimental effect on these processes. As previously stated, the osseointegration of an implant in the context of total vertebral body replacement, along with the achievement of delayed secondary definitive biological stability, is essential to ensure that the stability of the construct no longer relies on temporary mechanical fixation systems but is instead maintained by continuously remodeling and biologically integrated bone tissue (31-44,65-69). Therefore, we chose to investigate the behavior of the PLA device, specifically its resorption and osseointegration processes, through a detailed sequential histological analysis. This involved quantifying the percentage of pixels corresponding to the tissues progressively replacing the implant, providing direct and reliable information about the actual in vivo events occurring with the applied device. This constitutes a major advantage of histology over other indirect methods for assessing bone repair, such as imaging techniques. The evaluations performed at the 2nd, 4th, and 6th postoperative months were based on the expected timeline for PLA degradation and the bone repair process (47-54). The histological assessment, conducted using a pixel-classification algorithm, enabled a detailed and progressive quantification of the proportion of various tissues involved in the osseointegration process of the device. The previously mentioned challenges associated with the histological processing of PLA devices are well known in similar studies. This polymer, when not yet replaced by bone repair tissues, is not easily sectioned, which poses a common limitation in conventional histological evaluations of PLA implants that have not yet undergone full integration (118,119). In this study, this limitation led to the device area in the 2- and 4-month groups appearing as a blank rectangular space devoid of material, which required adaptations to the analysis methodology, particularly concerning the quantification of the PLA material. It is important to note that, despite the presence of rectangular void areas, these categorically correspond to the location of the implant due to their clearly defined boundaries and characteristic quadrangular shape. This allowed for accurate monitoring of the progressive tissue replacement of PLA by bone repair tissues, including inflammatory and granulation tissue, fibroblasts, cartilage, and both immature and mature bone. Additionally, the PLA material parameter was included, assessed indirectly through the presence of empty space within the quadrangular region and directly through the visible presence of PLA fragments. We considered that an accurate quantification of the proportion of PLA material relative to the other tissues within the target area was only possible by accounting not only for the directly visible PLA fragments (Figures 13,14), but also for the entire white rectangular region corresponding to the non-integrated device that could not be sectioned and therefore appeared on the histological slide solely as a material-free space. Although this approach involves quantifying a void as representative of the device, its characteristic rectangular shape and its anatomical position anterior to the preserved posterior wall leave no doubt that it corresponds to the implant. The inability to section this region indicates that the material present was indeed PLA and not yet replaced by organic tissue. In contrast, in several implants retrieved at the 4th and 6th postoperative months, the difficulty in processing was less evident because the device had been more extensively resorbed and replaced by regenerating bone tissue, which can be processed and stained similarly to native tissue. Nevertheless, one of the clear limitations of the study lies in the fact that although the white area unmistakably corresponds to the space previously occupied by the device, it reflects a lack of material and cannot differentiate between remaining PLA and empty space. If the scaffold had already begun to degrade or fragment, parts of the white area could represent voids, artefactual spaces, or regions devoid of material, potentially leading to an overestimation of the PLA content. From this sequential histological analysis, we understand that the device osseointegration and bone regeneration processes do not occur in strictly separated phases, as there is always a coexistence of varying proportions of the different tissues involved in bone repair. These tissues undergo a gradual transition until the complete replacement of the device by mature trabecular bone is achieved (Table 1, Figure 12). At 2 months, PLA material accounted for 69.55%±8.16% and was predominantly surrounded by inflammatory tissue, which represented 22.63%±9.45%. This is consistent with the expected foreign body response of the organism, both to the corpectomy procedure and to the presence of the implant itself (31,32,120). In addition to these two components, a small proportion of fibroblastic tissue was also present, with a mean value of 7.14%±5.7%. At 2 months, there was virtually no bone tissue observed. By 4 months, the percentage of the device had decreased to less than half of the analyzed area (42.84%±4.8%), while granulation tissue was reduced, giving way to an increase in all other components involved in the bone repair process. Notably, there was a marked rise in fibroblastic and cartilaginous tissue (18.41%±8.87%) as well as in woven bone (19.63%±5.81%). The proportion of mature trabecular bone also increased, although the most significant growth of this component occurred at 6 months, at which point it accounted for a mean of 43.12%±9.72%. At the same time, the percentage of the device reached its lowest value (7.68%±11.24%), indicating that the majority of the implant had been replaced by bone tissue, in line with the progressive nature of the osseointegration process. This analysis enabled us to observe, at the histological level, the progression and timing of the osseointegration process of the PLA implant. It was thus possible to clearly distinguish four phases, analogous to the classical stages of bone healing: an initial phase dominated by the PLA device, followed by an inflammatory phase, a fibroblastic and cartilaginous tissue phase corresponding to the formation of a soft callus, a phase of immature bone formation representing the hard callus, and finally a phase of mature bone organized into trabeculae, indicating the onset of remodeling (Table 1, Figure 12) (31,32). In the rats sacrificed at 6 months, one specimen exhibited 0.2% of remaining PLA material, while another showed complete absence of the device (0%), indicating that it had been entirely replaced by bone repair tissues. The effectiveness of the progressive substitution of the PLA device by bone repair tissues is evidenced by the statistically significant differences in the proportion of the device observed at 2 months compared to 4 and 6 months. The typical progression of bone regeneration is also demonstrated by the statistically significant decrease in the inflammatory component, which was predominant at 2 months but became minimal by 6 months. In contrast, the fibroblastic, cartilaginous, and bone tissue components increased significantly by 6 months when compared to the 2-month timepoint. Notably, the most pronounced rise was observed in woven immature bone, which increased substantially as early as 4 months and showed statistically significant differences at both 4 and 6 months relative to the 2-month group. It is recognized that the development of a mature trabecular bone structure within scaffolds typically requires a period ranging from three to 6 months. Consequently, once the scaffold has successfully provided mechanical support for bone regeneration, its timely degradation beyond 6 months is generally considered beneficial. However, it is known that the bone remodeling process is progressive and may continue for a period ranging from 2 to 5 years postoperatively. Furthermore, it has been reported that the degradation time of the biomaterial used in the device, a semi-crystalline PDLLA composed of a mixture of L and D isomers with a predominance of the L-isomer, ranges between 6 and 12 months. This degradation rate is shorter than that of PLLA with high crystallinity, which degrades over a period of approximately 12 to 24 months. It is also known, however, that metabolic activity in Wistar rats is more intense than in larger animals, and as a result, all biological processes are expected to occur at an accelerated rate (46,58,70,78,79,82,90,100,101,120,121). A study involving the use of PLLA interbody cages in goats reported the presence of microcracks accompanied by interposed quiescent fibrous tissue at 6 months post-implantation. By 12 months, the cages had disintegrated into multiple fragments, with fibrous tissue remaining between them and partial absorption of small PLLA fragments observed. At 24 months, histological analysis revealed advanced degradation of the fully fragmented PLLA cages and their replacement by a combination of trabecular bone and fibrous tissue. Following 36 months of implantation, approximately half of the specimens exhibited complete resorption of the PLA cages, which had been entirely substituted by a combination of trabecular bone and fibrous tissue. Complete bone remodeling was observed after 2 years of follow-up assessments (101).
We therefore consider that the timing of osseointegration for the present PLA implant in Wistar rats, which are animals with a higher metabolic rate, was as expected. Progressive biodegradation of the device occurred over approximately 6 months, aligning closely with the bone regeneration capacity during the same period. The use of a PDLLA containing 98% of the L-isomer results in a semi-crystalline biomaterial that is not excessively rigid. This composition allows for a degradation rate that is not unduly prolonged, thus matching the timeframe of bone regeneration. Such synchronization is essential to ensure segmental stability until the implant is fully replaced by newly formed bone. The degradation behavior of a biomaterial should exhibit a moderate pace that corresponds closely to the progression of new bone formation. If resorption occurs too rapidly, it may compromise the structural support of the implant, particularly when the surrounding bone is still immature or has not yet developed. Achieving an appropriate balance between the degradation rate and the preservation of mechanical integrity is critical. On the other hand, excessively slow degradation can hinder the timely replacement of the biomaterial by regenerating bone tissue. As such, the ideal scenario involves a degradation profile that is well-coordinated with osteogenesis, thereby maintaining mechanical functionality and promoting effective biological incorporation throughout the implant’s functional duration (122). As previously mentioned, PLA is a fast-degrading biomaterial, and in the present study, a progressive decrease in the proportion of PLA material was observed over the course of 6 months, with the implant being almost completely replaced by bone repair tissues. Even in the 2-month group, significant fragmentation and resorption of the PLA material were already evident, initially surrounded by inflammatory tissue. However, comparable studies conducted in different anatomical sites have reported a substantial portion of the PLA device still present at 12 months, which may be attributed to multiple factors already discussed, including the specific composition of the PLA. The extended degradation period of PLA is considered to offer the benefit of preserving a certain level of mechanical integrity and shielding the newly formed tissues. Nevertheless, this slow resorption may also hinder the progression of regeneration by preventing timely replacement of the scaffold with bone tissue (49,123). The pattern of resorption and osseointegration of the PLA device follows a centripetal orientation, as demonstrated in several histological sections from the 4- and 6-month groups in this study, where tissue replacement was observed to proceed from the periphery toward the center of the implant. Figure 14 illustrates the peripheral region of the device area being occupied by inflammatory and granulation tissue, while Figure 15 shows the continuous ingrowth of bone tissue extending from the outer margins into the central portion of the implant. This process begins with a peripheral band of cartilaginous matrix that progressively undergoes ossification into woven bone, with this newly formed layer gradually thickening toward the core of the scaffold. This centripetal progression is expected, as vascular and cellular infiltration into the device begins at the periphery and advances inward, facilitated by the circulation of biological fluids and the extension of blood vessels through the interconnected porous architecture of the implant. In this context, vascularization of the central region of the implant occurs only at a later stage, once peripheral blood vessels have had sufficient time to advance through the porous network toward the center. This progression enables the delivery of essential components for bone repair to the inner part of the device via direct blood flow rather than solely through fluid diffusion. The centripetal pattern of osseointegration observed is consistent with what has been reported for various implants placed in different anatomical regions, highlighting the importance of the scaffold’s ability to support internal vascularization. The success of bone regeneration and the effective osseointegration of the implant depends on the coordinated interaction between osteoinductive processes and vascular development (31,32,37,38,49,56,65-69). The contact area between the PLA implant and the residual posterior wall of the vertebral body was evaluated for evidence of bone continuity, and a complete bony bridge was observed in 66.67% of the animals at the 6-month endpoint. This finding reflects successful structural integration of the implant with the preserved posterior vertebral wall and indicates the implant osseointegration, which is the intended outcome of this surgical procedure. This form of fusion provides definitive dynamic stabilization of the vertebral segment and is aimed not only at the posterior wall but also at the endplates of the neighboring vertebral bodies, as illustrated in the final schematic stages of Figures 5D,6D,7D. Conversely, the remaining animals, which included all those from the 2- and 4-month groups and two subjects from the 6-month group, showed only a fibrous tissue layer at the interface between the implant and the bone. An improvement in the effectiveness of bone bridge formation at this interface could potentially be achieved by employing a more rigid fixation method, thereby enhancing implant stability and ensuring firm contact with the posterior wall. This would help support uninterrupted bone bridging with minimized risk of structural failure. Nevertheless, we consider that the presence of bone bridges in two-thirds of the rats at the 6-month postoperative time point represents an acceptable outcome, given that a suture-based fixation technique was used. The absence of necrosis in any of the histological sections, particularly those in which the implant was almost entirely replaced by bone or cartilaginous tissue in the 6-month group, specifically within the region corresponding to the device, indicates that vascular invasion was adequate. This finding supports the conclusion that the device was effectively replaced by bone tissue. A specific observation can be made regarding the two rats in which the implants had migrated anteriorly. These specimens exhibited an osseointegration phase characterized predominantly by inflammatory and fibroblastic tissue, despite both being at the 4-month postoperative stage. There was no progression toward more advanced bone repair tissues, likely due to excessive instability and the displacement of the implant away from the vertebral body native bone. This separation may have hindered the direct migration of osteoprogenitor cells and limited vascular invasion from the adjacent native bone into the PLA scaffold (31,32). It can therefore be inferred that the absence of adjacent bone tissue or insufficient stabilization of the implant within the defect site does not support effective osseointegration. These devices did not undergo the typical bone regeneration process within the expected 4-month period and remained largely composed of inflammatory tissue. It is unclear whether bone regeneration in these cases is merely delayed or entirely impaired, and only a longer observation period would allow for definitive clarification. Furthermore, it is well established that both bone regeneration and the resorption of biodegradable implants are influenced by mechanical forces and the associated stress patterns imposed on the scaffold. As such, if the implant lacks proper stability and does not receive adequate compressive loading, the resulting reduction in osteogenic stimulus may delay or compromise the regenerative process (120). Therefore, the location and method of implant placement undoubtedly play a critical role in the success of osseointegration and spinal fusion, as they directly influence the degree of osteogenic loading applied to the device. This factor may help explain the lack of osseointegration observed in the cases where implant migration occurred. Unlike the majority of studies that enhance PLA scaffolds with bioactive agents such as growth factors, hydrogels, or stem cells to boost osteoinductive capacity, the purpose of our preliminary study was to investigate the biological response and osseointegration potential of a porous 3D-printed PLA structure used independently, as a complete vertebral body substitute at the L1 level in a preclinical model. The study intentionally did not include any osteoinductive substances or cellular components in order to assess the performance of PLA as a passive scaffold, relying solely on its physical and mechanical properties. The choice to employ unmodified PLA aimed to determine the material’s baseline regenerative ability in a simplified biological setting. Given that scaffold architecture and porosity are known to strongly influence host tissue interaction, this work sought to isolate those structural contributions, offering a reference for future scaffold enhancements. The results from histological analysis suggest that even without biologically active modifications, PLA scaffolds alone can facilitate tissue ingrowth and initiate early phases of bone integration following total vertebral replacement at the L1 level. These outcomes provide foundational evidence to support the subsequent development of composite or biofunctional scaffolds. Supporting data from prior investigations using PLA scaffolds in rat calvarial defect models have shown that both acellular and cell-seeded constructs can induce bone regeneration, although the addition of cells significantly improved the quantity and quality of new bone, including increased formation of lamellar and cartilaginous tissue (106). Several experimental studies incorporate ceramics and other additives to enhance the biological properties of PLA, particularly to compensate for its lack of inherent bioactivity, that is, its inability to actively induce bone formation. However, in the present study, we observed that the biocompatibility and biodegradability of this porous PLA implant, even without the addition of any supplementary components, allowed for its gradual replacement by bone tissue and successful osseointegration within an average period of 6 months. This occurred despite the commonly reported limitations of pure PLA, namely its relatively low cell adhesion capacity and limited osteoconductivity (77-79,105,106). These findings suggest that the PLA device can achieve favorable osseointegration outcomes when used solely as a passive scaffold, indicating that even greater potential could be realized if bioactive compounds were incorporated. As previously noted, the functional properties of a scaffold are directly or indirectly related to its composition, structural design, and degradation profile (96). In this study, we emphasize the likely central role of the implant’s porosity in enabling effective cellular and vascular infiltration, which in turn facilitates its gradual replacement by bone tissue. Particular attention is drawn to the contribution of 3D printing technology in achieving the structural precision required to generate this interior porous network. The architectural features of the scaffold’s porosity appear to have conferred bioactive properties to the implant, which likely compensated for the inherent limitations of PLA, including its hydrophobic surface with low cell adhesion potential and absence of specific cellular receptor sites (77,105). We believe that the replication of the native bone’s inter-trabecular architecture and its interconnected porous structure should be recognized as key factors contributing to the bone regeneration process. These features facilitate the infiltration of cells and blood vessels and promote interactions between the biomaterial and the surrounding native bone, thereby helping to overcome some of the inherent limitations associated with this material.
Nevertheless, although the application of this porous PLA scaffold appears to be sufficient to support its gradual replacement by bone tissue in the context of L1 vertebral body substitution, it is important to emphasize that the present study was conducted in an animal model characterized by an accelerated metabolic rate, and thus has inherent limitations when extrapolating to human clinical scenarios. Accordingly, we view this investigation as a pilot study intended to demonstrate the favorable potential of the morphological properties of a passive porous PLA scaffold in promoting osseointegration. Based on these findings, we advocate for the future enhancement of PLA scaffolds through the application of surface coatings that improve cell adhesion, as well as functionalization with bone-regenerative agents, incorporation of bioactive molecules, or even the development of composite systems that combine the beneficial features of multiple biomaterials in order to confer bioactivity. Additionally, strategies such as cell seeding and the inclusion of growth factors may further enhance the scaffold’s effectiveness in supporting tissue regeneration and optimizing bone repair outcomes (70,78,105,106,124-126). We consider this to be a biomaterial with promising standalone performance in its passive porous scaffold form. It is low-cost, rapidly manufacturable using a desktop 3D printer in under one minute, and presents favorable baseline characteristics. Enhancing its biological performance has the potential to yield a composite biomaterial of choice for total vertebral body replacement applications.
Limitations
This study presents several limitations that must be acknowledged. While it allowed for the characterization of the temporal progression and histological evolution of osseointegration associated with the PLA implant, it did not address the implant’s ability to withstand mechanical loads within the vertebral column without undergoing deformation during its gradual replacement by bone repair tissue. This represents one of the most critical challenges in the development of implants for total vertebral body replacement. Future investigations incorporating biomechanical testing to evaluate the implant’s load-bearing capacity and resistance to mechanical stress, along with sequential imaging analyses, may help to clarify this aspect and strengthen the assessment of mechanical performance. This parameter is essential when considering reconstruction strategies for the vertebral body, a structure inherently subjected to complex and multidirectional loading forces (1-4). Nevertheless, evaluating the load-bearing capacity of the implant presents inherent challenges, particularly due to the differences in biomechanical loading patterns between Wistar rats and bipedal humans. However, as previously discussed, it is generally accepted that the spine of a quadrupedal goat is primarily subjected to loading along its longitudinal axis, similar to the human spine, although with higher axial compressive forces. This similarity suggests that such preclinical models can effectively simulate the axial loading conditions experienced by the human L1 vertebra, thereby supporting the translational relevance of these findings for human clinical applications (116). Moreover, the selection of the thoracolumbar transition zone was intended to closely replicate the biomechanical environment of the human L1 vertebra, a region that is biomechanically analogous in the rat. This area represents the transition from the rigid thoracic spine to the more mobile lumbar spine, thereby enhancing the translational relevance of the experimental findings to clinical scenarios. Despite this, the choice of the Wistar rat model was considered appropriate due to its accessibility, low maintenance cost, and accelerated metabolic rate, which made it possible to observe nearly the complete process of PLA scaffold resorption and osseointegration within a 6-month period. Nonetheless, conducting future studies in larger animal models and/or bipedal species with spinal microarchitecture, physiological characteristics, and biomechanical behavior more closely resembling those of humans could provide additional value in improving the translational applicability of the findings to clinical practice. Another limitation of this study is the inability to section the non-integrated PLA scaffold using standard histological methods, which led to the appearance of a blank rectangular area in the histological sections. While the location and geometry of this void clearly correspond to the original position of the implant and were used as an indirect measure for assessing tissue replacement, this approach does not permit direct observation or accurate quantification of the remaining PLA material. PLA material was only observed in the peripheral zones of the rectangular void, corresponding to fragmented regions undergoing resorption. Given the well-defined margins of this void, it was used as an indirect metric for quantifying the remaining PLA by considering the white, empty region (representing the portion of the implant not retained in histological sectioning) as indicative of PLA content. One evident limitation of this approach is that, although the shape of the void clearly matches the original implant area, its nature as an empty space prevents precise discrimination between residual PLA and true void. If degradation or fragmentation had already begun, parts of this space could represent resorption lacunae, processing artefacts, or simply areas lacking material, potentially leading to overestimation of the PLA volume. Nevertheless, the progressive reduction of the void area, as it becomes increasingly filled with biological tissues, serves as an indirect indicator of scaffold degradation and tissue replacement. For future investigations seeking more accurate PLA quantification, the use of plastic resin embedding methods, such as methyl methacrylate or epoxy resins, should be considered, as these techniques allow for direct sectioning of the polymer and improve material-specific histological evaluation. The authors acknowledge that a more rigid method of implant fixation could have been implemented; however, this would require the development of custom implants, potentially involving an anterolateral plate for anchoring to the adjacent vertebral bodies, which was beyond the financial scope of this study and could result in excessive rigidity, thereby reducing the transmission of beneficial osteogenic mechanical stimuli to the scaffold. Despite this, the presence of only two cases of implant migration and the low rate of neurological deficits suggest that the chosen suture-based fixation technique, involving attachment of the device to the adjacent vertebral bodies and the psoas muscle, and its subsequent immobilization within this structure, was sufficient to maintain implant stability despite the natural mobility of the rat. As previously discussed, the lack of rigid fixation may in fact promote bone formation by allowing micromovements between the scaffold and native bone, which are known to have osteogenic potential. Nevertheless, this limitation implies that the findings of this study have reduced translational applicability to humans, where fixation would necessarily require a more rigid solution than simple suturing. The method of secondary stabilization plays a fundamental role, as it ensures temporary primary stability during the resorption and replacement phase of the biodegradable implant and terminates its function when mature trabecular bone assumes the role of definitive secondary stabilization. Additionally, the fixation technique determines the mechanical forces acting on the implant, which, as previously noted, significantly influence its degradation behavior. Another constraint of this study was the difficulty in reliably distinguishing between woven and mature trabecular bone using the automated pixel-based classification method. This issue likely resulted from the close resemblance in color characteristics shared by both tissue types in histological images, which compromised the algorithm’s ability to accurately separate them. Due to this limitation, the manual identification and labeling of these bone categories were required for quantification purposes, which reduced the resolution of the analysis and limited the ability to detect more nuanced differences in bone maturation. Moreover, the study did not include radiological or imaging modalities, which could have provided additional insights into scaffold integrity, its degradation over time, the extent and pattern of bone tissue development, the formation of bridging structures, and the extent of implant osseointegration or potential segmental collapse prior to full bone replacement. Important biological mechanisms such as osteoclastic activity and vascular infiltration, both central to remodeling and regenerative processes, were also not assessed, and future investigations should address these components to provide a more comprehensive picture of bone healing. Despite these gaps, this research focused on a thorough histological evaluation using both qualitative and quantitative parameters. In this context, the pixel-based classification method proved to be a valuable asset, allowing for high-resolution mapping of tissue dynamics and effectively capturing the gradual and spatially distributed progression of new tissue deposition and scaffold integration. Although the number of animals used per time point, ranging from six to nine, is not particularly low, it remains insufficient to support broad or highly generalizable conclusions. Nonetheless, this work represents a comprehensive and exploratory pilot study evaluating a novel implant, in which it was possible to assess its capacity for osseointegration and progressive substitution by bone tissue, ultimately achieving complete osseointegration. Additionally, while the present study focused on the initial 6-month period, further biological developments such as the maturation of bone remodeling and potential osseointegration of implants with delayed response could still occur up to 2 years post-implantation. For this reason, extending histological analyses over a longer observational window may yield valuable insights into the long-term integration and performance of the scaffold (121).
To the best of our knowledge, this is a pioneering study reporting the application of a 3D-printed PLA scaffold in the context of total vertebral body replacement in an animal model, combined with a sequential histological evaluation employing a robust pixel-based algorithm to assess the progressive replacement of the implant by bone repair tissues. Our preliminary findings reveal favorable mid-term outcomes in terms of bone substitution, even when using a passive porous PLA scaffold without the incorporation of osteoinductive compounds or rigid fixation to adjacent vertebrae. These results highlight the potential of this material in vertebral body reconstruction, with the possibility of achieving even more effective outcomes if further optimized. A key strength of this study, in comparison with previous investigations on biological scaffolds for bone reconstruction, lies in its comprehensive approach. It encompasses the entire translational sequence, from scaffold fabrication and in vitro cellular evaluation to in vivo implantation in an animal model, followed by a detailed histological analysis of both scaffold degradation and osseointegration. This integrated methodology allows for a thorough assessment of the scaffold’s biological behavior in the specific context of vertebral body replacement.
Conclusions
A central challenge in the field of tissue engineering for vertebral body reconstruction lies in the development of bioresorbable 3D scaffolds with customized pore architecture and controlled porosity, capable of maintaining structural stability for a defined period, even when subjected to mechanical loading. These scaffolds must function as biological templates that guide cellular organization into the desired anatomical shape, support vascular ingrowth, and ultimately undergo full replacement by newly formed bone. Achieving this would enable the regeneration of an entirely osseous vertebral body, thereby overcoming limitations associated with the use of conventional non-degradable implants. This pilot investigation into L1 vertebral body replacement utilizing a 3D-printed PLA bioimplant demonstrates favorable outcomes in vitro concerning cell growth, successful surgical application in the Wistar rat model, and mid-term histological evidence of osseointegration assessed through a robust pixel-based algorithm, emphasizing the potential of this biomaterial for total vertebral body reconstruction. A comprehensive account of the evolution of bone repair tissue components over the initial 6 months of osseointegration is provided, offering direct histological insights into the scaffold’s resorption and replacement by regenerating bone. These PLA devices must undergo refinement to enhance their mechanical load-bearing capacity while preserving their bioresorbability and gradual substitution by bone, ideally through combination with or functionalization by agents that enhance bone regeneration and osseointegration. Despite the use of a passive porous PLA scaffold without osteoinductive additives or rigid vertebral fixation, the promising results suggest its viability as a reconstructive option, with improved outcomes anticipated following further optimization. The urgent demand for safe and efficacious biomaterials for vertebral body reconstruction requires thorough testing at all preclinical stages, including in vitro cellular studies, in vivo animal model applications, and biomechanical analyses. Only well-documented success in these domains can facilitate translational application to clinical contexts. The biomechanical complexity of the L1 vertebral body, which must endure multifaceted loading, poses a particular challenge in identifying an ideal material capable of supporting structural demands while being progressively replaced by native bone tissue. Larger-scale studies with extended follow-up periods and increased investment, particularly those comparing multiple implant types for vertebral body substitution, are essential to determine optimal therapeutic strategies. The ultimate objective remains to achieve complete biological vertebral reconstruction with mature bone tissue that closely replicates the native vertebra, enabling the discontinuation of non-resorbable implants and restoring both morphology and biomechanical function to a state that approximates the pre-injury anatomy.
Acknowledgments
We would like to thank Margarida Marques, Ricardo Moura and Joana Pinheiro Torres for their support during all the experiments.
Footnote
Reporting Checklist: The authors have completed the MDAR and ARRIVE reporting checklists. Available at https://jss.amegroups.com/article/view/10.21037/jss-25-95/rc
Data Sharing Statement: Available at https://jss.amegroups.com/article/view/10.21037/jss-25-95/dss
Peer Review File: Available at https://jss.amegroups.com/article/view/10.21037/jss-25-95/prf
Funding: The cellular tests were supported by
Conflicts of Interest: All authors have completed the ICMJE uniform disclosure form (available at https://jss.amegroups.com/article/view/10.21037/jss-25-95/coif). The authors have no conflicts of interest to declare.
Ethical Statement: The authors are accountable for all aspects of the work in ensuring that questions related to the accuracy or integrity of any part of the work are appropriately investigated and resolved. All
Open Access Statement: This is an Open Access article distributed in accordance with the Creative Commons Attribution-NonCommercial-NoDerivs 4.0 International License (CC BY-NC-ND 4.0), which permits the non-commercial replication and distribution of the article with the strict proviso that no changes or edits are made and the original work is properly cited (including links to both the formal publication through the relevant DOI and the license). See: https://creativecommons.org/licenses/by-nc-nd/4.0/.
References
- Moura DL. The role of kyphoplasty and expandable intravertebral implants in the acute treatment of traumatic thoracolumbar vertebral compression fractures: a systematic review. EFORT Open Rev 2024;9:309-22. [Crossref] [PubMed]
- Moura DL, Gabriel JP. Expandable Intravertebral Implants: A Narrative Review on the Concept, Biomechanics, and Outcomes in Traumatology. Cureus 2021;13:e17795. [Crossref] [PubMed]
- Moura DFL, Gabriel JP. Intravertebral expandable implants in thoracolumbar vertebral compression fractures. Acta Ortop Bras 2022;30:e245117. [Crossref] [PubMed]
- Knop C, Lange U, Bastian L, et al. Three-dimensional motion analysis with Synex. Comparative biomechanical test series with a new vertebral body replacement for the thoracolumbar spine. Eur Spine J 2000;9:472-85. [Crossref] [PubMed]
- Klezl Z, Majeed H, Bommireddy R, et al. Early results after vertebral body stenting for fractures of the anterior column of the thoracolumbar spine. Injury 2011;42:1038-42. [Crossref] [PubMed]
- McGirt MJ, Parker SL, Wolinsky JP, et al. Vertebroplasty and kyphoplasty for the treatment of vertebral compression fractures: an evidenced-based review of the literature. Spine J 2009;9:501-8. [Crossref] [PubMed]
- Vanni D, Pantalone A, Bigossi F, et al. New perspective for third generation percutaneous vertebral augmentation procedures: Preliminary results at 12 months. J Craniovertebr Junction Spine 2012;3:47-51. [Crossref] [PubMed]
- Rotter R, Schmitt L, Gierer P, et al. Minimum cement volume required in vertebral body augmentation--A biomechanical study comparing the permanent SpineJack device and balloon kyphoplasty in traumatic fracture. Clin Biomech (Bristol) 2015;30:720-5. [Crossref] [PubMed]
- Muto M, Marcia S, Guarnieri G, et al. Assisted techniques for vertebral cementoplasty: why should we do it? Eur J Radiol 2015;84:783-8. [Crossref] [PubMed]
- Hartmann F, Griese M, Dietz SO, et al. Two-year results of vertebral body stenting for the treatment of traumatic incomplete burst fractures. Minim Invasive Ther Allied Technol 2015;24:161-6. [Crossref] [PubMed]
- Fields AJ, Lee GL, Keaveny TM. Mechanisms of initial endplate failure in the human vertebral body. J Biomech 2010;43:3126-31. [Crossref] [PubMed]
- Verlaan JJ, Somers I, Dhert WJ, et al. Clinical and radiological results 6 years after treatment of traumatic thoracolumbar burst fractures with pedicle screw instrumentation and balloon assisted endplate reduction. Spine J 2015;15:1172-8. [Crossref] [PubMed]
- Venier A, Roccatagliata L, Isalberti M, et al. Armed Kyphoplasty: An Indirect Central Canal Decompression Technique in Burst Fractures. AJNR Am J Neuroradiol 2019;40:1965-72. [Crossref] [PubMed]
- Thaler M, Lechner R, Nogler M, et al. Surgical procedure and initial radiographic results of a new augmentation technique for vertebral compression fractures. Eur Spine J 2013;22:1608-16. [Crossref] [PubMed]
- Diel P, Röder C, Perler G, et al. Radiographic and safety details of vertebral body stenting: results from a multicenter chart review. BMC Musculoskelet Disord 2013;14:233. [Crossref] [PubMed]
- Noriega DC, Ramajo RH, Lite IS, et al. Safety and clinical performance of kyphoplasty and SpineJack(®) procedures in the treatment of osteoporotic vertebral compression fractures: a pilot, monocentric, investigator-initiated study. Osteoporos Int 2016;27:2047-55. [Crossref] [PubMed]
- Noriega DC, Marcia S, Ardura F, et al. Diffusion-Weighted MRI Assessment of Adjacent Disc Degeneration After Thoracolumbar Vertebral Fractures. Cardiovasc Intervent Radiol 2016;39:1306-14. [Crossref] [PubMed]
- Maestretti G, Cremer C, Otten P, et al. Prospective study of standalone balloon kyphoplasty with calcium phosphate cement augmentation in traumatic fractures. Eur Spine J 2007;16:601-10. [Crossref] [PubMed]
- Oner FC, van der Rijt RR, Ramos LM, et al. Changes in the disc space after fractures of the thoracolumbar spine. J Bone Joint Surg Br 1998;80:833-9. [Crossref] [PubMed]
- Cinotti G, Della Rocca C, Romeo S, et al. Degenerative changes of porcine intervertebral disc induced by vertebral endplate injuries. Spine (Phila Pa 1976) 2005;30:174-80. [Crossref] [PubMed]
- Kerttula LI, Serlo WS, Tervonen OA, et al. Post-traumatic findings of the spine after earlier vertebral fracture in young patients: clinical and MRI study. Spine (Phila Pa 1976) 2000;25:1104-8. [Crossref] [PubMed]
- Fredrickson BE, Edwards WT, Rauschning W, et al. Vertebral burst fractures: an experimental, morphologic, and radiographic study. Spine (Phila Pa 1976) 1992;17:1012-21. [Crossref] [PubMed]
- Momma F, Nakazawa T, Amagasa M. Repair and regeneration of vertebral body after antero-lateral partial vertebrectomy using beta-tricalcium phosphate. Neurol Med Chir (Tokyo) 2008;48:337-42; discussion 342. [Crossref] [PubMed]
- Dvorak MF, Kwon BK, Fisher CG, et al. Effectiveness of titanium mesh cylindrical cages in anterior column reconstruction after thoracic and lumbar vertebral body resection. Spine (Phila Pa 1976) 2003;28:902-8. [Crossref] [PubMed]
- Schmoelz W, Schaser KD, Knop C, et al. Extent of corpectomy determines primary stability following isolated anterior reconstruction in a thoracolumbar fracture model. Clin Biomech (Bristol) 2010;25:16-20. [Crossref] [PubMed]
- Bohinski RJ, Rhines LD. Principles and techniques of en bloc vertebrectomy for bone tumors of the thoracolumbar spine: an overview. Neurosurg Focus 2003;15:E7. [Crossref] [PubMed]
- Böhm P, Huber J. The surgical treatment of bony metastases of the spine and limbs. J Bone Joint Surg Br 2002;84:521-9. [Crossref] [PubMed]
- Choi D, Bilsky M, Fehlings M, et al. Spine Oncology-Metastatic Spine Tumors. Neurosurgery 2017;80:S131-7. [Crossref] [PubMed]
- O'Loughlin PF, Morr S, Bogunovic L, et al. Selection and development of preclinical models in fracture-healing research. J Bone Joint Surg Am 2008;90:79-84. [Crossref] [PubMed]
- Williams D. Biomaterials 1996;17:1-2. editorial.
- Davies JE. Mechanisms of endosseous integration. Int J Prosthodont 1998;11:391-401.
- Davies JE. Understanding peri-implant endosseous healing. J Dent Educ 2003;67:932-49.
- Kumar N, Lopez KG, Alathur Ramakrishnan S, et al. Evolution of materials for implants in metastatic spine disease till date - Have we found an ideal material? Radiother Oncol 2021;163:93-104. [Crossref] [PubMed]
- Rohlmann A, Dreischarf M, Zander T, et al. Loads on a vertebral body replacement during locomotion measured in vivo. Gait Posture 2014;39:750-5. [Crossref] [PubMed]
- Brandão RACS, Martins WCDS, Arantes AA Jr, et al. Titanium versus polyetheretherketone implants for vertebral body replacement in the treatment of 77 thoracolumbar spinal fractures. Surg Neurol Int 2017;8:191. [Crossref] [PubMed]
- Kabir SM, Alabi J, Rezajooi K, et al. Anterior cervical corpectomy: review and comparison of results using titanium mesh cages and carbon fibre reinforced polymer cages. Br J Neurosurg 2010;24:542-6. [Crossref] [PubMed]
- Yang X, Chen Q, Liu L, et al. Comparison of anterior cervical fusion by titanium mesh cage versus nano-hydroxyapatite/polyamide cage following single-level corpectomy. Int Orthop 2013;37:2421-7. [Crossref] [PubMed]
- Zhang Y, Quan Z, Zhao Z, et al. Evaluation of anterior cervical reconstruction with titanium mesh cages versus nano-hydroxyapatite/polyamide66 cages after 1- or 2-level corpectomy for multilevel cervical spondylotic myelopathy: a retrospective study of 117 patients. PLoS One 2014;9:e96265. [Crossref] [PubMed]
- Xu H, Ren X, Wang D, et al. Clinical Use of the Nanohydroxyapatite/Polyamide Mesh Cage in Anterior Cervical Corpectomy and Fusion Surgery. J Nanomaterials 2015; [Crossref]
- Zhong W, Liang X, Tang K, et al. Nanohydroxyapatite/polyamide 66 strut subsidence after one-level corpectomy: underlying mechanism and effect on cervical neurological function. Sci Rep 2018;8:12098. [Crossref] [PubMed]
- Hu B, Wang L, Song Y, et al. A comparison of long-term outcomes of nanohydroxyapatite/polyamide-66 cage and titanium mesh cage in anterior cervical corpectomy and fusion: A clinical follow-up study of least 8 years. Clin Neurol Neurosurg 2019;176:25-9. [Crossref] [PubMed]
- Hu B, Wang L, Song Y, et al. Long-term outcomes of the nano-hydroxyapatite/polyamide-66 cage versus the titanium mesh cage for anterior reconstruction of thoracic and lumbar corpectomy: a retrospective study with at least 7 years of follow-up. J Orthop Surg Res 2023;18:482. [Crossref] [PubMed]
- Li J, Zhang J, Wang B, et al. Comparison of Titanium Mesh Cage, Nano-Hydroxyapatite/Polyamide Cage, and Three-Dimensional-Printed Vertebral Body for Anterior Cervical Corpectomy and Fusion. Spine (Phila Pa 1976) 2025;50:88-95. [Crossref] [PubMed]
- Lee JH, Oh HS, Choi JG. Comparison of the Posterior Vertebral Column Resection With the Expandable Cage Versus the Nonexpandable Cage in Thoracolumbar Angular Kyphosis. Clin Spine Surg 2017;30:E398-406. [Crossref] [PubMed]
- Grémare A, Guduric V, Bareille R, et al. Characterization of printed PLA scaffolds for bone tissue engineering. J Biomed Mater Res A 2018;106:887-94. [Crossref] [PubMed]
- Hutmacher DW. Scaffolds in tissue engineering bone and cartilage. Biomaterials 2000;21:2529-43. [Crossref] [PubMed]
- Coe JD. Instrumented transforaminal lumbar interbody fusion with bioabsorbable polymer implants and iliac crest autograft. Neurosurg Focus 2004;16:E11. [Crossref] [PubMed]
- Majola A, Vainionpää S, Vihtonen K, et al. Absorption, biocompatibility, and fixation properties of polylactic acid in bone tissue: an experimental study in rats. Clin Orthop Relat Res 1991;260-9.
- Polimeni G, Koo KT, Pringle GA, et al. Histopathological observations of a polylactic acid-based device intended for guided bone/tissue regeneration. Clin Implant Dent Relat Res 2008;10:99-105. [Crossref] [PubMed]
- Mamani-Valeriano HL, Silva NP, Nímia HH, et al. Bone Incorporation of a Poly (L-Lactide-Co-D, L-Lactide) Internal Fixation Device in a Rat's Tibia: Microtomographic, Confocal LASER, and Histomorphometric Analysis. Biology (Basel) 2024;13:471. [Crossref] [PubMed]
- Eppley BL, Reilly M. Degradation characteristics of PLLA-PGA bone fixation devices. J Craniofac Surg 1997;8:116-20. [Crossref] [PubMed]
- Bos RR, Rozema FR, Boering G, et al. Degradation of and tissue reaction to biodegradable poly(L-lactide) for use as internal fixation of fractures: a study in rats. Biomaterials 1991;12:32-6. [Crossref] [PubMed]
- Bergsma JE, Rozema FR, Bos RR, et al. In vivo degradation and biocompatibility study of in vitro pre-degraded as-polymerized polyactide particles. Biomaterials 1995;16:267-74. [Crossref] [PubMed]
- Wuisman PI, van Dijk M, Smit TH. Resorbable cages for spinal fusion: an experimental goat model. J Neurosurg 2002;97:433-9. [Crossref] [PubMed]
- van Dijk M, Tunc DC, Smit TH, et al. In vitro and in vivo degradation of bioabsorbable PLLA spinal fusion cages. J Biomed Mater Res 2002;63:752-9. [Crossref] [PubMed]
- Humberto Valencia C. Hydrolytic degradation and in vivo resorption of poly-l-lactic acid-chitosan biomedical devices in the parietal bones of Wistar rats. J Int Med Res 2019;47:1705-16. [Crossref] [PubMed]
- Wurm MC, Möst T, Bergauer B, et al. In-vitro evaluation of Polylactic acid (PLA) manufactured by fused deposition modeling. J Biol Eng 2017;11:29. [Crossref] [PubMed]
- Kanno T, Sukegawa S, Furuki Y, et al. Overview of innovative advances in bioresorbable plate systems for oral and maxillofacial surgery. Jpn Dent Sci Rev 2018;54:127-38. [Crossref] [PubMed]
- Libicher M, Vetter M, Wolf I, et al. CT volumetry of intravertebral cement after kyphoplasty. Comparison of polymethylmethacrylate and calcium phosphate in a 12-month follow-up. Eur Radiol 2005;15:1544-9. [Crossref] [PubMed]
- Libicher M, Hillmeier J, Liegibel U, et al. Osseous integration of calcium phosphate in osteoporotic vertebral fractures after kyphoplasty: initial results from a clinical and experimental pilot study. Osteoporos Int 2006;17:1208-15. [Crossref] [PubMed]
- Maestretti G, Sutter P, Monnard E, et al. A prospective study of percutaneous balloon kyphoplasty with calcium phosphate cement in traumatic vertebral fractures: 10-year results. Eur Spine J 2014;23:1354-60. [Crossref] [PubMed]
- Liao JC, Fan KF, Chen WJ, et al. Posterior instrumentation with transpedicular calcium sulphate graft for thoracolumbar burst fracture. Int Orthop 2009;33:1669-75. [Crossref] [PubMed]
- Shen YX, Zhang P, Zhao JG, et al. Pedicle screw instrumentation plus augmentation vertebroplasty using calcium sulfate for thoracolumbar burst fractures without neurologic deficits. Orthop Surg 2011;3:1-6. [Crossref] [PubMed]
- Marcia S, Boi C, Dragani M, et al. Effectiveness of a bone substitute (CERAMENT™) as an alternative to PMMA in percutaneous vertebroplasty: 1-year follow-up on clinical outcome. Eur Spine J 2012;21:S112-8. [Crossref] [PubMed]
- Lopez-Heredia MA, Goyenvalle E, Aguado E, et al. Bone growth in rapid prototyped porous titanium implants. J Biomed Mater Res A 2008;85:664-73. [Crossref] [PubMed]
- Fengbin Y, Jinhao M, Xinyuan L, et al. Evaluation of a new type of titanium mesh cage versus the traditional titanium mesh cage for single-level, anterior cervical corpectomy and fusion. Eur Spine J 2013;22:2891-6. [Crossref] [PubMed]
- Benzel EC. Biomechanics of Spine Stabilization. New York: Thieme Medical Publishers; 2001:201-19.
- Amelot A, Colman M, Loret JE. Vertebral body replacement using patient-specific three-dimensional-printed polymer implants in cervical spondylotic myelopathy: an encouraging preliminary report. Spine J 2018;18:892-9. [Crossref] [PubMed]
- Tohamy MH, Osterhoff G, Abdelgawaad AS, et al. Anterior cervical corpectomy and fusion with stand-alone cages in patients with multilevel degenerative cervical spine disease is safe. BMC Musculoskelet Disord 2022;23:20. [Crossref] [PubMed]
- Rezwan K, Chen QZ, Blaker JJ, et al. Biodegradable and bioactive porous polymer/inorganic composite scaffolds for bone tissue engineering. Biomaterials 2006;27:3413-31. [Crossref] [PubMed]
- Zhao Z, Jiang D, Ou Y, et al. A hollow cylindrical nano-hydroxyapatite/polyamide composite strut for cervical reconstruction after cervical corpectomy. J Clin Neurosci 2012;19:536-40. [Crossref] [PubMed]
- Yang X, Song Y, Liu L, et al. Anterior reconstruction with nano-hydroxyapatite/polyamide-66 cage after thoracic and lumbar corpectomy. Orthopedics 2012;35:e66-73. [Crossref] [PubMed]
- Zhang Y, Deng X, Jiang D, et al. Long-term results of anterior cervical corpectomy and fusion with nano-hydroxyapatite/polyamide 66 strut for cervical spondylotic myelopathy. Sci Rep 2016;6:26751. [Crossref] [PubMed]
- Zhong W, Liang X, Luo X, et al. Imaging evaluation of nano-hydroxyapatite/polyamide 66 strut in cervical construction after 1-level corpectomy: a retrospective study of 520 patients. Eur J Med Res 2020;25:38. [Crossref] [PubMed]
- Li Q, Hu B, Masood U, et al. A Comparison of Corpectomy ACDF Hybrid Procedures with Nano-Hydroxyapatite/Polyamide 66 Cage and Titanium Mesh Cage for Multi-level Degenerative Cervical Myelopathy: A Stepwise Propensity Score Matching Analysis. Orthop Surg 2023;15:2830-8. [Crossref] [PubMed]
- Luo Y, Xiu P, Chen H, et al. Clinical and radiological outcomes of n-HA/PA66 cages in anterior spine reconstruction following total en bloc spondylectomy for tumors. Front Surg 2023;10:1278301. [Crossref] [PubMed]
- Narayanan G, Vernekar VN, Kuyinu EL, et al. Poly (lactic acid)-based biomaterials for orthopaedic regenerative engineering. Adv Drug Deliv Rev 2016;107:247-76. [Crossref] [PubMed]
- Singhvi MS, Zinjarde SS, Gokhale DV. Polylactic acid: synthesis and biomedical applications. J Appl Microbiol 2019;127:1612-26. [Crossref] [PubMed]
- Yang Z, Yin G, Sun S, et al. Medical applications and prospects of polylactic acid materials. iScience 2024;27:111512. [Crossref] [PubMed]
- Pang X, Zhuang X, Tang Z, et al. Polylactic acid (PLA): research, development and industrialization. Biotechnol J 2010;5:1125-36. [Crossref] [PubMed]
- Santoro M, Shah SR, Walker JL, et al. Poly(lactic acid) nanofibrous scaffolds for tissue engineering. Adv Drug Deliv Rev 2016;107:206-12. [Crossref] [PubMed]
- Wuisman PI, Smit TH. Bioresorbable polymers: heading for a new generation of spinal cages. Eur Spine J 2006;15:133-48. [Crossref] [PubMed]
- Yao CH, Lai YH, Chen YW, et al. Bone Morphogenetic Protein-2-Activated 3D-Printed Polylactic Acid Scaffolds to Promote Bone Regrowth and Repair. Macromol Biosci 2020;20:e2000161. [Crossref] [PubMed]
- Liang B, Huang G, Ding L, et al. Early results of thoraco lumbar burst fracture treatment using selective corpectomy and rectangular cage reconstruction. Indian J Orthop 2017;51:43-8. [Crossref] [PubMed]
- Wei F, Li Z, Liu Z, et al. Upper cervical spine reconstruction using customized 3D-printed vertebral body in 9 patients with primary tumors involving C2. Ann Transl Med 2020;8:332. [Crossref] [PubMed]
- Wei F, Xu N, Li Z, et al. A prospective randomized cohort study on 3D-printed artificial vertebral body in single-level anterior cervical corpectomy for cervical spondylotic myelopathy. Ann Transl Med 2020;8:1070. [Crossref] [PubMed]
- Zhou H, Liu S, Li Z, et al. 3D-printed vertebral body for anterior spinal reconstruction in patients with thoracolumbar spinal tumors. J Neurosurg Spine 2022;37:274-82. [Crossref] [PubMed]
- Wang J, Wu D, Sun H. Application of the 3-dimensional printing images of vertebral body in Anterior Cervical Corpectomy and Fusion (ACCF): A report of 25 case series. Asian J Surg 2022;45:1082-3. [Crossref] [PubMed]
- Lu T, Liu C, Yang B, et al. Single-Level Anterior Cervical Corpectomy and Fusion Using a New 3D-Printed Anatomy-Adaptive Titanium Mesh Cage for Treatment of Cervical Spondylotic Myelopathy and Ossification of the Posterior Longitudinal Ligament: A Retrospective Case Series Study. Med Sci Monit 2017;23:3105-14. [Crossref] [PubMed]
- Hammouche S, Hammouche D, McNicholas M. Biodegradable bone regeneration synthetic scaffolds: in tissue engineering. Curr Stem Cell Res Ther 2012;7:134-42. [Crossref] [PubMed]
- Bandyopadhyay A, Bose S, Das S. 3D printing of biomaterials. MRS Bulletin 2001;25:273-80.
- Rampersad SN. Multiple applications of Alamar Blue as an indicator of metabolic function and cellular health in cell viability bioassays. Sensors (Basel) 2012;12:12347-60. [Crossref] [PubMed]
- Gameiro Dos Santos P, Soares AR, Thorsteinsdóttir S, et al. Preparation of 3D Decellularized Matrices from Fetal Mouse Skeletal Muscle for Cell Culture. J Vis Exp 2023;
- Katsuura Y, Osborn JM, Cason GW. The epidemiology of thoracolumbar trauma: A meta-analysis. J Orthop 2016;13:383-8. [Crossref] [PubMed]
- Gregor A, Filová E, Novák M, et al. Designing of PLA scaffolds for bone tissue replacement fabricated by ordinary commercial 3D printer. J Biol Eng 2017;11:31. [Crossref] [PubMed]
- Huang J, Wei J, Jin S, et al. The ultralong-term comparison of osteogenic behavior of three scaffolds with different matrices and degradability between one and two years. J Mater Chem B 2020;8:9524-32. [Crossref] [PubMed]
- Loessner D, Meinert C, Kaemmerer E, et al. Functionalization, preparation and use of cell-laden gelatin methacryloyl-based hydrogels as modular tissue culture platforms. Nat Protoc 2016;11:727-46. [Crossref] [PubMed]
- Shi L, Wang F, Zhu W, et al. Self-healing silk fibroin-based hydrogel for bone regeneration: dynamic metal-ligand self-assembly approach. Adv Funct Mater 2017;27:1700591.
- Sultana N, Wang M. PHBV/PLLA-based composite scaffolds containing nano-sized hydroxyapatite particles for bone tissue engineering. J Exp Nanosci 2008;3:121-32.
- Casalini T, Rossi F, Castrovinci A, et al. A Perspective on Polylactic Acid-Based Polymers Use for Nanoparticles Synthesis and Applications. Front Bioeng Biotechnol 2019;7:259. [Crossref] [PubMed]
- van Dijk M, Smit TH, Burger EH, et al. Bioabsorbable poly-L-lactic acid cages for lumbar interbody fusion: three-year follow-up radiographic, histologic, and histomorphometric analysis in goats. Spine (Phila Pa 1976) 2002;27:2706-14. [Crossref] [PubMed]
- Guo E. Mechanical properties of cortical bone and cancellous bone tissue. In: Cowin SC, editor. Bone Mechanics Handbook. Boca Raton, FL: CRC Press LLC; 2001:17.
- Farahani A, Zarei-Hanzaki A, Abedi HR, et al. An investigation into the polylactic acid texturization through thermomechanical processing and the improved d(33) piezoelectric outcome of the fabricated scaffolds. J Mater Res Technol 2021;15:6356-66. [Crossref] [PubMed]
- Casal D, Casimiro MH, Ferreira LM, et al. Review of Piezoelectrical Materials Potentially Useful for Peripheral Nerve Repair. Biomedicines 2023;11:3195. [Crossref] [PubMed]
- DeStefano V, Khan S, Tabada A. Applications of PLA in modern medicine. Eng Regen 2020;1:76-87. [Crossref] [PubMed]
- Bahraminasab M, Talebi A, Doostmohammadi N, et al. The healing of bone defects by cell-free and stem cell-seeded 3D-printed PLA tissue-engineered scaffolds. J Orthop Surg Res 2022;17:320. [Crossref] [PubMed]
- Vaccaro AR, Singh K, Haid R, et al. The use of bioabsorbable implants in the spine. Spine J 2003;3:227-37. [Crossref] [PubMed]
- Lowe TG, Coe JD. Bioresorbable polymer implants in the unilateral transforaminal lumbar interbody fusion procedure. Orthopedics 2002;25:s1179-83; discussion s1183. [Crossref] [PubMed]
- Kuklo TR, Rosner MK, Polly DW Jr. Computerized tomography evaluation of a resorbable implant after transforaminal lumbar interbody fusion. Neurosurg Focus 2004;16:E10. [Crossref] [PubMed]
- Henkel J, Woodruff MA, Epari DR, et al. Bone Regeneration Based on Tissue Engineering Conceptions - A 21st Century Perspective. Bone Res 2013;1:216-48. [Crossref] [PubMed]
- Girolami M, Sartori M, Monopoli-Forleo D, et al. Histological examination of a retrieved custom-made 3D-printed titanium vertebra : Do the fine details obtained by additive manufacturing really promote osteointegration? Eur Spine J 2021;30:2775-81. [Crossref] [PubMed]
- Skelley NW, Smith MJ, Ma R, et al. Three-dimensional Printing Technology in Orthopaedics. J Am Acad Orthop Surg 2019;27:918-25. [Crossref] [PubMed]
- Dhawan A, Kennedy PM, Rizk EB, et al. Three-dimensional Bioprinting for Bone and Cartilage Restoration in Orthopaedic Surgery. J Am Acad Orthop Surg 2019;27:e215-26. [Crossref] [PubMed]
- Abbasi N, Hamlet S, Love RM, et al. Porous scaffolds for bone regeneration. J Sci Adv Mater Devices 2020;5:1-9.
- Tipnis NP, Burgess DJ. Sterilization of implantable polymer-based medical devices: A review. Int J Pharm 2018;544:455-60. [Crossref] [PubMed]
- Smit TH. The use of a quadruped as an in vivo model for the study of the spine - biomechanical considerations. Eur Spine J 2002;11:137-44. [Crossref] [PubMed]
- Minto BW, Sprada AG, Gonçalves Neto JA, et al. Three-dimensional printed poly (L-lactide) and hydroxyapatite composite for reconstruction of critical bone defect in rabbits. Acta Cir Bras 2021;36:e360404. [Crossref] [PubMed]
- Manavitehrani I, Fathi A, Wang Y, et al. Fabrication of a Biodegradable Implant with Tunable Characteristics for Bone Implant Applications. Biomacromolecules 2017;18:1736-46. [Crossref] [PubMed]
- Zhang X, Chen JL, Xing F, et al. Three-dimensional printed polylactic acid and hydroxyapatite composite scaffold with urine-derived stem cells as a treatment for bone defects. J Mater Sci Mater Med 2022;33:71. [Crossref] [PubMed]
- Toth JM, Estes BT, Wang M, et al. Evaluation of 70/30 poly (L-lactide-co-D,L-lactide) for use as a resorbable interbody fusion cage. J Neurosurg 2002;97:423-32. [Crossref] [PubMed]
- Qi ZR, Zhang Q, Tan LL, et al. Comparison of degradation behavior and the associated bone response of ZK60 and PLLA in vivo. J Biomed Mater Res A 2014;102:1255-63. [Crossref] [PubMed]
- Pedrero SG, Llamas-Sillero P, Serrano-López J. A Multidisciplinary Journey towards Bone Tissue Engineering. Materials (Basel) 2021;14:4896. [Crossref] [PubMed]
- Hassan MN, Yassin MA, Suliman S, et al. The bone regeneration capacity of 3D-printed templates in calvarial defect models: A systematic review and meta-analysis. Acta Biomater 2019;91:1-23. [Crossref] [PubMed]
- Alonso-Fernández I, Haugen HJ, López-Peña M, et al. Use of 3D-printed polylactic acid/bioceramic composite scaffolds for bone tissue engineering in preclinical in vivo studies: A systematic review. Acta Biomater 2023;168:1-21. [Crossref] [PubMed]
- Han SH, Cha M, Jin YZ, et al. BMP-2 and hMSC dual delivery onto 3D printed PLA-Biogel scaffold for critical-size bone defect regeneration in rabbit tibia. Biomed Mater 2020;16:015019. [Crossref] [PubMed]
- Kwon DY, Park JH, Jang SH, et al. Bone regeneration by means of a three-dimensional printed scaffold in a rat cranial defect. J Tissue Eng Regen Med 2018;12:516-28. [Crossref] [PubMed]

