Spontaneous contralateral pneumothorax: a rare but potential complication of anterior cervical total disk arthroplasty—a case report
Case Report

Spontaneous contralateral pneumothorax: a rare but potential complication of anterior cervical total disk arthroplasty—a case report

Samantha Hill1 ORCID logo, Miguel Schmitz2 ORCID logo

1Elson S. Floyd College of Medicine, Washington State University, Spokane, WA, USA; 2Alpine Orthopaedic and Spine, Spokane, WA, USA

Contributions: (I) Conception and design: Both authors; (II) Administrative support: M Schmitz; (III) Provision of study materials or patients: M Schmitz; (IV) Collection and assembly of data: S Hill; (V) Data analysis and interpretation: S Hill; (VI) Manuscript writing: Both authors; (VII) Final approval of manuscript: Both authors.

Correspondence to: Samantha Hill, BS. Elson S. Floyd College of Medicine, Washington State University, 412 E Spokane Falls Blvd, Spokane, WA 99202, USA. Email: Samantha.m.hill@wsu.edu.

Background: Anterior cervical discectomy and fusion (ACDF) surgery is a treatment for cervical disk herniation, a condition that may contribute to compression upon the spinal cord or the exiting nerve roots. The primary goals of this surgery are to decompress the neurological structures while stabilizing segments that are either unstable intrinsically or unstable by way of decompression. More recently, total disk arthroplasty (TDA) and anterior decompression has been introduced as an alternative to ACDF. Pneumothorax is caused by air filling the pleural cavity between the parietal pleura and the lung, causing the lung to collapse from the loss of negative pressure in that space, impairing lung function. The development of pneumothorax is a rare event during anterior approaches to the cervical spine, but the authors are not aware of the development during surgery of a pneumothorax contralateral to the side of approach.

Case Description: A 27-year-old female patient with cervical disc disease associated with C5–C6 and C6–C7. The patient has a history of smoking, an incomplete right bundle branch block, postural orthostatic tachycardia syndrome, premature ventricular contraction, and fibromyalgia, presented to the operating room for anterior decompression and TDA of C5–C6 and C6–C7 for cervical disk disease. There was no history of soft tissue disease.

Conclusions: During anterior cervical spine surgery, contralateral pneumothorax can occur. This may happen due to the 30-degree positioning, positive pressure ventilation with positive end-expiratory pressure/continuous positive airway pressure, and potential pressure differential separating the tracheoesophageal complex from the pre-vertebral potential space. There are no current preventative measures for pneumothorax during anterior cervical spine surgery with standard techniques, but it is important not to dismiss the condition based solely on initial negative imaging results. Spontaneous contralateral pneumothorax is not commonly recognized as a complication of anterior cervical spine surgery; however, physicians should be aware of the possibility of its occurrence.

Keywords: Anterior cervical discectomy and fusion (ACDF); total disk arthroplasty (TDA); spontaneous pneumothorax; case report


Submitted Feb 12, 2025. Accepted for publication Jun 05, 2025. Published online Dec 17, 2025.

doi: 10.21037/jss-25-30


Highlight box

Key findings

• Spontaneous contralateral pneumothorax is a rare but serious complication of anterior cervical procedures that may be missed on initial imaging and requires clinical vigilance to prevent poor outcomes. We present a case where if a pneumothorax is suspected but not confirmed by additional imaging, it should not be ruled out.

What is known and what is new?

• The incidence of pneumothoraxes sustained post-cervical spine surgery was found to be 0.97%.

• This manuscript adds that a contralateral pneumothorax is possible during this procedure and should not be dismissed on the differential of possible complications. It is important to note that a pneumothorax was not identified during the procedure but required additional monitoring and follow-up post-operatively to be identified.

What is the implication, and what should change now?

• Pneumothorax is an uncommon complication following this type of surgery, particularly on the side contralateral to the surgical site, but physicians should remain vigilant of this possibility.


Introduction

Under endotracheal intubation and general anesthesia, anterior cervical discectomy and fusion (ACDF) involves removing the vertebral disc from the affected intervertebral space by accessing the anterior aspect of the cervical spine, as described by Robertson [1978] and O’Neill [2016] via an interval between the tracheoesophageal complex and the sternocleidomastoid/carotid sheath interval (1,2). There is exposure of the potential space between the pharynx/esophagus and the pre-vertebral area to expose the anterior longitudinal ligament for access to the intervertebral space of the involved disk. The injured intervertebral disk is removed from anterior to the posterior longitudinal ligament (PLL), and the PLL is removed to the left and the right to the posterior uncinate process of the joint of Luschka to allow a decompression of the neuroforamina. The fusion portion includes placing a bone graft and/or implant with bone healing substance as a replacement of the vertebral disc to ensure stability to the intervertebral joint (2). Over the last two decades, total disk arthroplasty (TDA) has grown in popularity as a motion preservation option for disk disease of the cervical spine.

Complications of this approach include infection, bleeding, and damage to surrounding structures (3). Many patients report a sore throat following the procedure, but this improves shortly after surgery (4) According to a retrospective cohort study done on patients who underwent ACDF, the overall morbidity rate was found to be 19.3% with the most common complications being post-operative dysphagia, hematoma, and symptomatic recurrent laryngeal nerve palsy (5). The incidence of postoperative pulmonary complications after cervical spine surgery was found to be 39.6% with the rate of pneumothorax being 0.97% (6) but there are no reported cases of pneumothorax in association with TDA. Contralateral pneumothorax following thoracotomy for vertebrectomy has been reported, but contralateral pneumothorax has not been reported for anterior cervical discectomy fusion cases on either the left or the right side (7).

Pneumothorax occurs when air collects in the pleural cavity between the parietal pleural and the lung, causing the lung to collapse and lose function. This may be caused by a penetrating injury to the chest, a medical procedure such as a central line placement, certain lung diseases such as chronic obstructive pulmonary disease or may be idiopathic (8). Variants of pneumatic complications have been related in relation to the performance of ACDF, but these are rare, as chronicled by Zeidan et al. and associates with massive spontaneous subcutaneous emphysema and pneumomediastinum (9). Pneumothoraxes without an obvious cause are referred to as spontaneous (10). Symptoms for pneumothorax include shortness of breath and sudden chest pain or the patient may appear to be asymptomatic (5). In more severe cases of pneumothoraxes, the patient may also experience rapid breathing, signs of respiratory distress, and decreased breath sounds on the effected side. Treatment for pneumothorax is typically based on its size and severity. Small, less severe pneumothoraxes may spontaneously resolve, and watchful waiting is advised (10). Conversely, larger more severe pneumothoraxes may include a thoracentesis or chest tube insertion (10). We present this article in accordance with the CARE reporting checklist (available at https://jss.amegroups.com/article/view/10.21037/jss-25-30/rc).


Case presentation

The patient was a 27-year-old right-hand-dominant receptionist for a behavioral health center who presented with neck pain and bilateral upper extremity pain in association with headaches. She had problems with fine dexterity and worsening penmanship. She also noticed herself having a poor gait, running into walls at that time. This started spontaneously in 2015 when she had awoken one morning with symptoms that progressed over time.

The patient’s past medical history was relevant for light smoking, postural orthostatic tachycardia syndrome (POTS), as well as fibromyalgia diagnosed at age 14 years.

The patient was identified on physical examination to have diminished sensation in the right fourth and fifth finger (C8) and the left shoulder, radial aspect of forearm, thumb, index finger, and middle finger (C5 and C6). The reflex examination was 2+ throughout except for the left biceps and triceps which were 3+. The patient had 5/5 strength in all muscle groups in the upper and lower extremities. There was tenderness of the paraspinal musculature posteriorly. The patient had limited range of motion on account of pain in the neck. Patient was determined to have cervical disc disease with disk disease associated with C5–C6 and C6–C7 (Figures 1,2).

Figure 1 T2 sagittal magnetic resonance imaging demonstrating herniated disc of C5–C6 and C6–C7.
Figure 2 Pre-operative spectrometry scan identifying disc disease of C5–C6 and C6–C7 vertebrae.

Prior conservative management included 60 physical therapy visits, massage therapy, anti-inflammatory medications, lyrica, flexeril, and epidural steroid injections.

Procedure

Anesthesia rated the airway as a class II and the patient as an American Society of Anesthesiologists (ASA) 2. The patient was taken to the operative room where she underwent a general endotracheal anesthesia without complications. Anesthesia used 4 cmH2O positive end-expiratory pressure (PEEP)/continuous positive airway pressure (CPAP) for ventilation. The patient was properly positioned onto an AMSCO table to supine position with 30 degrees of flexion at the waist with the neck in slight extension. The normal sterile prep and draping process was followed. The left side of the neck was approached with the transverse incision along Langer’s lines. Bleeders were electrocauterized. The platysma musculature was transected utilizing electrocautery. And a deep dissection was obtained deep to platysma musculature utilizing Metzenbaum scissor dissection and an interval was developed between the tracheoesophageal complex versus the sternocleidomastoid/carotid sheath. Omohyoid muscle was identified but superior to the concern area, and a dissection was obtained posterior to the tracheoesophageal complex. The loose areolar tissue was partitioned using finger dissection. Bleeders were electrocauterized using unipolar and bipolar electrocautery as necessary. An anterior-to-posterior Caspar pin was placed into the vertebral body of C5 and then C6 under C-arm intensification, distraction was applied across this area. A discectomy was achieved utilizing electrocautery, 15 blade, pituitary rongeurs, curettes, and a series of Kerrison rongeurs, including 1- and 2-mm Kerrison rongeurs. Curved curettes were utilized to determine the adequacy of foraminotomies. A Valsalva maneuver was applied, and there was no evidence for incidental durotomy. Trials were inserted into the disc space using a lumbar disc replacement (LDR) system (Zimmer, Warsaw, IN, USA). The 5 mm × 15 mm × 50 mm LDR total disc arthroplasty was inserted into C5–C6 without complications. This process was repeated at C6–C7. Central alignment was accomplished.

The tracheoesophageal complex was investigated, and no breach was determined. However, the patient had some air coming from the inferior aspect of the wound that was cyclical with the anesthesia ventilations. There was not a distinct link seen in this area. Valsalva was applied and there was no problem with the tracheoesophageal area. An upright fluoroscopic chest X-ray (CXR) was obtained and there was no pneumothorax identified in the operating room as determined with c-arm intensification (Figure 3).

Figure 3 Anterior-posterior view of cervical spine and chest during operation; not demonstrating pneumothorax. The patient has the head of the bed elevated at 30 degrees.

Clinical course

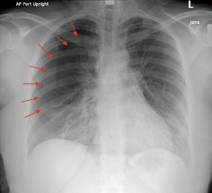
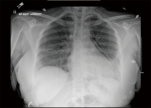
Despite the non-identification of a pneumothorax in the operating room on fluoroscopy (Figure 3), the patient was noted to have a right-sided pneumothorax of approximately 4 cm (about 1.57 inches) on a subsequent upright chest radiograph in the recovery room (Figure 4). The patient did not have decompensation of vital signs, with her lowest oxygen saturation being 94%. The patient did not have major sequelae of this other than to require a pigtail chest tube placed by interventional radiology under the recommendation of a cardiothoracic surgeon consultation (Figure 5). The patient responded well and discontinued the chest tube within 24 hours. The chest tube was removed by the interventional radiologist once they were determined to be stable upon inspection with additional CXRs (Figure 6).

Figure 4 Post-operative upright radiograph demonstrating right pneumothorax. Arrows indicate the borders of the lung where collapsed. AP, anterior-posterior.
Figure 5 Computed tomography-guided pigtail insertion by interventional radiology.
Figure 6 Anterior-posterior view portable upright X-ray captured after chest tube was taken out, demonstrating resolution of pneumothorax. AP, anterior-posterior.

No other complications were identified post-operatively (Figure 7). The patient’s radiculopathy and myelopathy resolved with resolution of the neck pain, and she has returned to work as a case manager.

Figure 7 Three months post-operative radiograph. MKL, mild kyphotic loss of cervical lordosis.

All procedures performed in this study were in accordance with the ethical standards of the institutional and/or national research committee(s) and with the Declaration of Helsinki and its subsequent amendments. Written informed consent was obtained from the patient for the publication of this case report and accompanying images. A copy of the written consent is available for review by the editorial office of this journal.


Discussion

The etiology of the right-side pneumothorax in a patient undergoing a left side approach to the cervical spine is unclear. This could have been due to positive pressure ventilation with her history of light smoking, but she was only 27 years of age and had only smoked for a few years. There was no inferior penetration of tissues into the mediastinum. There was no visualization of the parietal pleura, but the index of suspicion during the surgery was some small air bubble development in the inferior aspect of the wound with positive pressure ventilation. Intraoperative fluoroscopy with the patient sitting upright by 30 degrees did not identify a pneumothorax, but a full upright CXR identified the pneumothorax in the recovery room.

During ACDF surgery, several factors can contribute to the occurrence of pneumothorax. The patient’s 30-degree positioning combined with positive pressure ventilation with PEEP can increase the risk of this complication (11,12). Additionally, there may have been sufficient pressure differential with exposure of the left side retro-esophageal dissection, which could have contributed to the development of the pneumothorax. There is continuity between the right and left retroesophageal surgical plane. Although this patient did not have a known connective tissue disease, such as Marfan or Ehlers-Danlos syndrome, she had POTS. But there is no association of POTS with pneumothorax development (13).

Management of spontaneous pneumothoraxes includes chest tube placement and oxygen supplementation; however, the size of the pneumothorax and the clinical status of the patient determine the specific course of treatment. If the patient is stable and the pneumothorax is small, the standard of care is observation. However, if the pneumothorax is large or the patient is unstable, the management includes aspiration or a small-bore chest tube. If there is an air leak present, monitor for 4 days. If not resolved, surgical intervention is needed.

There are currently no identified preventative measures to minimize the risk of pneumothorax during ACDF surgery, however the authors suggest routine surveillance for patients with soft tissue connective disorders and performing a Valsalva maneuver at intervals through the case. This can coincide with the routine examination of the dura mater for dural breach; however, the surgeon and anesthesia should be aware that Valsalva maneuvers can induce pneumothorax (14).


Conclusions

In summary, this case underscores the importance of monitoring the risk of pneumothorax during and after anterior cervical spine surgery. Physicians should consider pneumothorax if air bubbles are observed in the wound, as this may indicate its presence. Pneumothorax can occur even with a contralateral surgical approach. Additionally, since the mediastinum and retro-pharyngeal space are contiguous areas, any disruption or pressure changes can cause complications on either side.

The occurrence of spontaneous pneumothorax during an anterior cervical spine procedure highlights a significant aspect of surgical practice that requires attention. This understanding can influence preoperative planning and patient discussions. Establishing well-defined protocols for early diagnosis and intervention is essential.


Acknowledgments

The authors would like to thank the patient for providing consent and allowing us to share their case for this report.


Footnote

Reporting Checklist: The authors have completed the CARE reporting checklist. Available at https://jss.amegroups.com/article/view/10.21037/jss-25-30/rc

Peer Review File: Available at https://jss.amegroups.com/article/view/10.21037/jss-25-30/prf

Funding: None.

Conflicts of Interest: Both authors have completed the ICMJE uniform disclosure form (available at https://jss.amegroups.com/article/view/10.21037/jss-25-30/coif). M.S. reports receiving payment for expert testimony in the case of Lewis v Newport Hospital. He also received royalties from the development of an anterior lumbar interbody fusion device with Spinal USA/Precision Spine; however, this device has been discontinued from the market, and he ceased receiving royalties over 4 years ago. Additionally, he holds stocks, bonds, and mutual funds that are unrelated to spine care. The other author has no conflicts of interest to declare.

Ethical Statement: The authors are accountable for all aspects of the work in ensuring that questions related to the accuracy or integrity of any part of the work are appropriately investigated and resolved. All procedures performed in this study were in accordance with the ethical standards of the institutional and/or national research committee(s) and with the Declaration of Helsinki and its subsequent amendments. Written informed consent was obtained from the patient for the publication of this case report and accompanying images. A copy of the written consent is available for review by the editorial office of this journal.

Open Access Statement: This is an Open Access article distributed in accordance with the Creative Commons Attribution-NonCommercial-NoDerivs 4.0 International License (CC BY-NC-ND 4.0), which permits the non-commercial replication and distribution of the article with the strict proviso that no changes or edits are made and the original work is properly cited (including links to both the formal publication through the relevant DOI and the license). See: https://creativecommons.org/licenses/by-nc-nd/4.0/.


References

  1. Robertson JT. Anterior operations for herniated cervical disc and for myelopathy. Clin Neurosurg 1978;25:245-50. [Crossref] [PubMed]
  2. O’Neill K. ACDF: Anterior Cervical Discectomy and Fusion. Spine 2016;14:
  3. Yee TJ, Swong K, Park P. Complications of anterior cervical spine surgery: a systematic review of the literature. J Spine Surg 2020;6:302-22. [Crossref] [PubMed]
  4. Fountas KN, Kapsalaki EZ, Nikolakakos LG, et al. Anterior cervical discectomy and fusion associated complications. Spine (Phila Pa 1976) 2007;32:2310-7. [Crossref] [PubMed]
  5. Ferri FF. Ferri’s Clinical Advisor 2025. Elsevier; 2024.
  6. Dube SK, Pandia MP, Chaturvedi A, et al. Retrospective study of postoperative pulmonary complications in patients with cervical spine pathology. J Neuroanaesth Crit Care 2018;5:98-104.
  7. Spears FD, Jardine A. Contralateral pneumothorax following thoracotomy for vertebrectomy. Anaesthesia 1996;51:685-6. [Crossref] [PubMed]
  8. McKnight CL, Burns B. Pneumothorax. [Updated 2023 Feb 15]. In: StatPearls [Internet]. Treasure Island (FL): StatPearls Publishing; 2025 Jan-. Available online: https://www.ncbi.nlm.nih.gov/books/NBK441885/
  9. Zeidan M, AboGhayyada I, Khashan NAM, et al. Case report of massive spontaneous subcutaneous emphysema and pneumomediastinum after cervical discectomy. Int J Surg Case Rep 2025;131:111366. [Crossref] [PubMed]
  10. Baumann MH. Management of Spontaneous Pneumothorax. In: Simoff MJ, Sterman DH, Ernst A. editors. Thoracic Endoscopy: Advances in Interventional Pulmonology. 2006:310-22. Available online: https://doi.org/10.1002/9780470755969.ch21
  11. Collino F, Rapetti F, Vasques F, et al. Positive End-expiratory Pressure and Mechanical Power. Anesthesiology 2019;130:119-30. [Crossref] [PubMed]
  12. van Egmond J, Booij LHDJ. The role of pleural pressure in inducing pneumothorax and other adverse effects of positive pressure ventilation. J Thorac Dis 2024;16:8103-9. [Crossref] [PubMed]
  13. Fedorowski A. Postural orthostatic tachycardia syndrome: clinical presentation, aetiology and management. J Intern Med 2019;285:352-66. [Crossref] [PubMed]
  14. Kumar CM, Van Zundert AAJ. Intraoperative Valsalva maneuver: a narrative review. Can J Anaesth 2018;65:578-85. [Crossref] [PubMed]
Cite this article as: Hill S, Schmitz M. Spontaneous contralateral pneumothorax: a rare but potential complication of anterior cervical total disk arthroplasty—a case report. J Spine Surg 2025;11(4):1111-1117. doi: 10.21037/jss-25-30

Download Citation