Pseudohypoxia brain swelling following lumbar spine surgery: a report of two cases
Highlight box
Key findings
• Pseudohypoxic brain swelling, or postoperative intracranial hypotension with associated venous congestion, is a rare but serious potential complication of lumbar spine surgery, which may occur with acute cerebrospinal fluid (CSF) leak or in the absence of incidental durotomy.
What is known and what is new?
• This phenomenon is often associated with acute CSF leak or incidental durotomy, but hitherto, the high-volume CSF leak has immediately preceded the intracranial hypotension; however, in this case, CSF diversion appeared to have been into the widely decompressed intact dural tube.
• Pseudohypoxic brain swelling may occur in the absence of visualized acute intraoperative CSF leak and be complicated by atraumatic subdural hematoma potentially requiring neurosurgical intervention.
What is the implication, and what should change now?
• Treatment of pseudohypoxic brain swelling relies on maintaining the patient in a flat position, which is opposite of the approach for a patient with true brain swelling, in which head of bed should be elevated. Consequences could be catastrophic if not recognized and treated appropriately.
• Awareness of this rare complication is paramount to its prompt diagnosis and treatment.
Introduction
Intracranial subdural hematoma (SDH) is a rare but devastating complication that has been described following lumbar spine surgery (1-3). Postoperative SDH is estimated to occur in as few as 0.8% of patients (4). SDH is most often described following lumbar surgeries complicated by incidental durotomy and/or traumatic blunt dissection. It also has been described in patients with certain comorbidities such as hemophilia or anticoagulation (5). The pathophysiology of postoperative SDH in these cases is thought to occur with a primary insult to the dura, producing a cerebrospinal fluid (CSF) leak. The resultant decrease in intracranial pressure from a large or persistent CSF leak leads to expansion of the subdural space in these cases, which is thought to increase tension and stretching of the bridging subdural veins and resulting in SDH (6).
Pseudohypoxic brain swelling, or postoperative intracranial hypotension with associated venous congestion is a rare phenomenon described after neurologic (7) and lumbar (8) surgery that can be associated with SDH. The pathophysiology of this process is thought to be due to acute intracranial CSF spinal fluid loss either with or without a witnessed durotomy resulting in increased blood volume as a compensatory response in accordance with the Monro-Kellie doctrine, which results in cerebral vasogenic edema. There may also be impaired venous outflow due to brain sag, leading to venous engorgement diffusely, mimicking brain edema. There have been rare cases reported with the development of pseudohypoxic brain swelling without intraoperative CSF leak (9) noted, some of which have been complicated by SDH (10) sometimes requiring operative intervention. Unlike the case of Chidambaram et al. (9), in which the extent of bony decompression was rather limited (single-level L4/5 microdiscectomy and fusion), large, multi-segment procedures in elderly patients, like in the cases presented here, are more invasive and intensive spine surgeries in which postoperative alterations in mentation are more common and therefore, awareness of this potential is more salient. The outcomes associated with this rare phenomenon appear relatively favorable and many patients reported in the literature achieve full neurologic recovery withing 1–2 weeks of their index spine surgery. We present this article in accordance with the CARE reporting checklist (available at https://jss.amegroups.com/article/view/10.21037/jss-25-32/rc).
Case presentation
Case 1
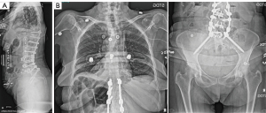
This was an 80-year-old woman with a past medical history of fibromyalgia, hepatic cirrhosis, de Quervain tenosynovitis, Ehlers-Danlos syndrome who initially presented for low back and bilateral lower extremity pain, specifically left thigh (anterior and posterior) and right gluteal pain. Preoperative imaging was notable for progressive degenerative scoliosis with widespread spondylitic changes producing areas of focal stenosis, L2–S1. She underwent left L2 and L3 transforaminal epidural steroid injection and right L5 transforaminal steroid injection with 100% diagnostic relief of lower extremity pain and was determined to be an appropriate candidate for staged L3–S1 anterior lumbar interbody fusion and T10-pelvis posterior spinal decompression fusion (Figure 1).
The patient underwent the anterior stage of her procedure without complication. The posterior annulus nor the posterior longitudinal ligament (PLL) were removed. The patient was extubated without complication and transferred to the postoperative care unit, where she was reporting some continuation of her right posterior leg pain, as well as some left anterior thigh numbness. The following day, she underwent her planned second stage T10-pelvis posterior spinal decompression fusion with O-arm navigated instrumentation. Standard open posterior approach was utilized. All screws were stimulated to indicate appropriate positioning and there was no evidence by any means for pedicle wall violation. Following this, open decompression was performed, including: partial decompressive laminectomy at L2, L3, L4, and L5 with total decompressive facetectomy at left L2/3, left L3/4, right L4/5. Bone morphogenetic protein (BMP), local autograft, as well as crushed cancellous allograft and submicron topography biphasic calcium phosphate granules were utilized to promote fusion. Rods were placed and final tightening was performed with appropriate positioning of implants. Final Valsalva to 40 mmHg was negative for any evidence of CSF leak and there were no complications noted intraoperatively (Figure 2). Two deep subfascial drains were placed in the area of the decompression and held to suction, with appropriate serosanguinous drainage.
The patient was extubated and upon initial trial of emergence from anesthesia, she was noted to have rhythmic shaking movements of her head and upper extremities concerning for seizure. Neurology was consulted. The patient experienced 3 episodes of generalized tonic-clonic seizures when sedation was paused, which all abated with resumption of propofol sedation. She was started on levetiracetam.
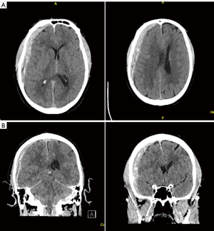
A non-contrast head computed tomography (CT) obtained at the time demonstrated posterior fossa crowding with effacement of the ambient cisterns, and a diffuse appearance of brain edema with slit like ventricles. There was also a small tentorial SDH and small amount of intraventricular hemorrhage. There was no evidence of bony fractures or complications from head tong sites (Figure 2). There had been no episodes of hypoxia during or after the procedure.
The patient was laid flat overnight for concern of CSF hypotension based off the brain imaging findings alone, and the following day brain magnetic resonance imaging (MRI) was obtained which showed no evidence of hypoxic brain injury. There was patchy meningeal enhancement and some interval improvement in ventricular caliber. Continuous electroencephalogram (EEG) was without epileptiform activity or seizure. The patient had one additional episode of clinical seizure activity on postoperative day 2, which prompted an increase in levetiracetam. Patient was maintained on propofol sedation until postoperative day 2 and ketamine until day 3, which were both weaned without complication. The patient was noted to have an improving mental status exam but some residual word finding and short-term memory deficits compared to baseline, and was generally weak, but had no focal motor or sensory weakness. MRI of the total spine with CSF leak protocol demonstrated a nonspecific fluid collection thought to potentially be a seroma at L3–4 without clear evidence of potential CSF leak and without any other fluid collection concerning for a definitive CSF leak at the decompressed levels (L2–5). There was diffuse spinal dural thickening suggesting the presence of CSF hypotension.
Beta-2 transferrin levels (a highly sensitive and specific measure of CSF) from drain fluid were negative postoperative days 1–4, with total daily drain output 652, 147.5, 216, and 98 mL but when there was a sudden increase in serous quality drainage in the subfascial drain on postoperative day 5 with the patient reporting a minor eye pain with output of 158 mL. Another beta-2 transferrin lab was sent and this time it was positive, as a result the drain was pulled and the drain site was oversewn. The patient passed head of bed trials and never experienced proto-typical symptoms of CSF leak. Repeat head CT postoperative day 4 demonstrated marked improvement in ventricular caliber and cisternal effacement, slightly decreased intraventricular blood products but no other significant changes with regards to subdural and parafalcine hemorrhages (Figure 3).
The remainder of the patient’s hospital course was uncomplicated and prior to discharge standing films were obtained and were unremarkable (Figure 4). Patient was discharged to the inpatient rehabilitation unit and she demonstrated improved mental status and full motor and sensory function in bilateral upper and lower extremities with only some mild residual left thigh altered sensation similar to her preoperative baseline. She was admitted to the inpatient rehabilitation unit for 1 week prior to eventual discharge home.
At her most recent postoperative follow-up (6-month), the patient had made an excellent neurologic recovery, with normal cognition and full strength and sensation in her bilateral upper and lower extremities. Her incisions were well healed. She was reporting significant improvement in her preoperative symptoms with some occasional right anterior thigh and buttock area pain, consistent with early hip degenerative disease. Anatomically, she had no evidence of junctional kyphosis and her fusion appeared solid on CT scan. Thus, she ultimately achieved the same 6-month outcome that we would have aspired for despite the episode of intracranial hypotension and seizure. She had no subsequent seizures or any other identifiable sequelae of the intracranial hypotension event.
Case 2
A 71-year-old man with a past medical history of hypertrophic obstructive cardiomyopathy (prior septal myomectomy 2018), chronic obstructive pulmonary disease (COPD), hypertension, gastroesophageal reflex disease with Barrett’s esophagus, hyperlipidemia presented for low back pain with neurogenic claudication and radicular symptoms. Preoperative imaging demonstrated grade 1 spondylolisthesis at L4/5 and right greater than left L4/5 lateral recess stenosis and L4 foraminal stenosis. He was considered an appropriate candidate for L4/5 Total Posterior Spinal System (TOPS) (Figure 5).
The patient underwent uncomplicated scheduled L4/5 TOPS procedure. Following exposure, instrumentation was performed with placement of 7.5- and 6.5-mm pedicle screws at L4 and L5 with use of navigation. Total facetectomy was performed bilaterally at L4/5 as well as posterior column osteotomy at L4 and L5, as well as partial laminectomy L3 and L5 up to insertion of the ligamentum flavum and completed central decompressive laminectomy at L4. The TOPS device is rather large, and therefore a complete L4 and typically partial L3 laminectomy is needed, resulting in a generous multi-level decompression in the area of maximal stenosis. Following decompression, Valsalva to 40 mmHg was performed without evidence of CSF leak. Finally, a 21-mm large footprint TOPS device was placed with confirmation of appropriate positioning on intraoperative fluoroscopy. A subfascial drain was placed to bulb suction.
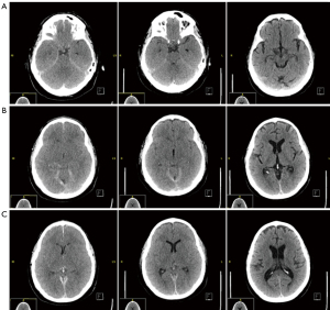
While the patient was being weaned from anesthesia, he was noted to be demonstrating seizure-like convulsions. Propofol was re-initiated with resolution of clinical seizure activity. The patient was taken to emergent noncontrast head CT which demonstrated a right SDH with 7–8-mm midline shift (Figure 6). Neurosurgery was consulted for further management and the patient was loaded with levetiracetam, and was brought to the operating room (OR) with neurosurgery for emergent craniotomy and hematoma evacuation.
A large right hemicraniotomy was performed and the dura was opened sharply, revealing a large acute SDH. Surgicel was applied to bridging veins emptying into sagittal sinus which were medial edge of the hematoma but which did not appear to be actively bleeding. No obvious active source of hematoma was identified, and brain appeared relaxed and pulsatile following hematoma evacuation. Patient’s surgical incision was closed in the standard fashion. The patient was subsequently transferred to the intensive care unit (ICU). Postoperative drain output days 1–3 were 807, 250, and 0 mL. MRI postoperative day 3 demonstrated an area of possible dural deficiency without pseudomeningocele or large fluid collection over the laminectomy bed (Figure 7). He was placed on flat bedrest, and his drain was placed to gravity and clamped. He was extubated on postoperative day 4 and his subfascial drain was unclamped, was pulled and oversewn.
On postoperative day 6 the patient developed worsening headache prompting repeat head CT which demonstrated reaccumulation of prior SDH. He was deemed a suitable candidate and postoperative day 7 the patient underwent middle meningeal artery (MMA) embolization. CT myelogram was performed which surprisingly demonstrated a small dural leak at L4/5 and on postoperative day 8 the patient underwent epidural blood patch. Following this he passed height of bed trials. He continued to experience intermittent headaches but repeat head imaging demonstrated no new findings or interval worsening and his symptoms improved with supportive therapy. On postoperative day 16 he was admitted to inpatient rehabilitation. At that time, he remained on levetiracetam for seizure prophylaxis per neurology, and he demonstrated return to baseline in his neurologic exam. He continued to demonstrate improvement in his functional status and was discharged from acute rehabilitation without complication. At most recent follow-up 10 weeks postoperatively, he noted improvement in his strength and balance while continuing to work with physical therapy and noting more infrequent and less severe intermittent headaches. He does continue to experience intermittent diplopia although this was maintained with corrective lenses. He continued on levetiracetam per Neurology for seizure prophylaxis without further noted seizure activity. The decision on whether to continue antiseizure medications is individualized, but in many similar situations with provoked seizure activity, the antiseizure medication could be discontinued after about 3 months if brain imaging shows resolution of acute abnormalities, routine EEG shows no epileptiform activity, and there have been no interval seizures.
All procedures performed in this study were in accordance with the ethical standards of the institutional and/or national research committee(s), and with the Declaration of Helsinki and its subsequent amendments. Written informed consent was obtained from the patients for publication of this case report and accompanying images. A copy of the written consent is available for review by the editorial office of this journal.
Discussion
In this case series we describe two patients with a history of severe chronic lumbar stenosis who developed pseudohypoxic brain edema and intracranial SDH following spine surgery without evidence of CSF leak/dural trauma both intraoperatively and on postoperative laboratory studies. Both patients developed significant neurologic symptoms in the immediate postoperative setting and required prompt medical management. One patient requiring surgical intervention in the form of craniotomy. These cases are particularly unique in the pathophysiology of SDH, findings on imaging studies, and neurologic and neurosurgical management required.
As demonstrated in the described cases, this phenomenon can occur in the absence of visualized active CSF leak, which was confirmed in case 1 by negative beta-2 transferrin on postoperative days 1–3, and presumed based on normal drain outputs in case 2. The immediacy of the seizure activity and intracranial changes, without high-volume CSF leakage, provides presumptive support to the concept that a very narrowed dural tube, secondary to chronic stenosis, can present an immediate high-volume reservoir for CSF, prompting the equivalency of a CSF-leak-related intracranial hypotension. Likewise, case 1 included a patient with marked Ehlers-Danlos syndrome and prominent hyperflexibility. Perhaps her collagen disorder allowed for a greater expansion of the dural tube when it was relieved of extrinsic compression. The pathophysiology behind this is not quite clear but may be related to CSF pressure dynamics. As a closed system, volumes shift across spinal and cranial CSF compartments to equalize pressure across them. However, in cases of severe stenosis, there is dissociation of the pressure regulation across these two compartments, and decreased CSF flow into the vertebral canal (11-14).
After decompressive surgery, a previous study demonstrated altered CSF flow dynamics with significant improvement of CSF flow into the vertebral canal (15). It would therefore be reasonable to hypothesize that following significant decompression for the management of severe stenosis, this improvement in CSF outflow could result in relative CSF hypotension compared to preoperative baseline. Furthermore, per the Monro-Kellie doctrine, the sum of volumes of brain, CSF, and intracranial blood is constant in a closed system (16). This could predispose a patient to development of an intracranial SDH even without intraoperative dural trauma/tear. Additionally, both patients in this series were positioned in reverse Trendelenburg (a position selected to reduce the risk of postoperative visual loss, upper airway swelling and CSF hypertension), which may have exaggerated acute CSF outflow from the ventricles. Conversely, positioning head of bed flat when this phenomenon is suspected may mitigate neurologic symptoms associated with this phenomenon even in the absence of a clear leak.
It is imperative that imaging and clinical presentation are recognized promptly to ensure proper treatment. Head CT shows findings often interpreted as hypoxic brain injury, with an appearance of diffuse brain edema. This finding may be in part secondary to brain sag in the setting of CSF hypovolemia/hypotension with resulting venous engorgement (17). Diffuse brain edema on imaging would typically prompt clinicians to elevate the head of the patient’s bed, but in these cases, head of bed elevation could lead to progressive and potentially irreversible worsening due to increasing brain sag, herniation, and brainstem compression. As seen in our cases, a flat head-of-bed position should be maintained in this situation.
Some patients may develop SDHs, while others may not. It is important to note that the patients reported in our series developed these complications in the absence of a history of bleeding diatheses. One of the patients reported in our study developed a large hemorrhage that required emergent craniotomy.
The constellation and severity of neurologic symptoms associated with this phenomenon is variable. Clinically, patients may present with seizures, encephalopathy, focal neurologic deficits, or coma. Seizures can be treated with antiseizure medications such as sedation with propofol or levetiracetam as they were in our cases. The mainstay of treatment for intracranial hypotension known to be related to CSF hypovolemia in the setting of an active lumbar dural leak is to lie the patient flat (18). Some patients can make a full neurologic recovery with conservative measures. One of our patients treated conservatively developed a positive beta-2 transferrin on postoperative day 5 although it was negative in the first 4 days. This patient had a history of Ehlers-Danlos syndrome and severe, chronic stenosis with resultant dural atrophy, which could have allowed for a delayed dural defect to develop, but this delayed leak does not correspond to the immediate postoperative intracranial hypotension event. With early identification and correction, favorable outcomes are possible (19).
We believe these cases especially highlight the importance of early interdisciplinary collaboration between orthopedic surgery, neuroradiology, neurology, neurology critical care and neurosurgery for the optimization of patient outcomes in these rare situations. We hope these cases bring awareness to this phenomenon as well as highlight areas for future study to elucidate the underlying mechanism behind this.
Conclusions
Pseudohypoxic brain swelling, or postoperative intracranial hypotension associated venous congestion is a rare but serious potential complication of lumbar spine surgery that can sometimes be associated with SDH. This phenomenon can occur in the absence of intraoperative durotomy or CSF leak. While both patients in this series demonstrated recovery of neurologic function postoperatively, demonstrating likely favorable outcomes for this rare phenomenon, these cases highlight the importance of early identification and multidisciplinary, targeted management of these patients.
Acknowledgments
None.
Footnote
Reporting Checklist: The authors have completed the CARE reporting checklist. Available at https://jss.amegroups.com/article/view/10.21037/jss-25-32/rc
Peer Review File: Available at https://jss.amegroups.com/article/view/10.21037/jss-25-32/prf
Funding: None.
Conflicts of Interest: All authors have completed the ICMJE uniform disclosure form (available at https://jss.amegroups.com/article/view/10.21037/jss-25-32/coif). B.F. reports consulting fees from Medtronic, Synthes, Kuros, and Amgen. M.D. reports support from the Richard K Gershon Fund at Yale School of Medicine (past) and the Ruth Jackson Orthopedic Society Annual Meeting Medical Student Scholarship (past). M.D. also served as an Associate Editor for Visual Abstracts at the North American Spine Society Journal (past). The other authors have no conflicts of interest to declare.
Ethical Statement: The authors are accountable for all aspects of the work in ensuring that questions related to the accuracy or integrity of any part of the work are appropriately investigated and resolved. All procedures performed in this study were in accordance with the ethical standards of the institutional and/or national research committee(s), and with the Declaration of Helsinki and its subsequent amendments. Written informed consent was obtained from the patients for publication of this case report and accompanying images. A copy of the written consent is available for review by the editorial office of this journal.
Open Access Statement: This is an Open Access article distributed in accordance with the Creative Commons Attribution-NonCommercial-NoDerivs 4.0 International License (CC BY-NC-ND 4.0), which permits the non-commercial replication and distribution of the article with the strict proviso that no changes or edits are made and the original work is properly cited (including links to both the formal publication through the relevant DOI and the license). See: https://creativecommons.org/licenses/by-nc-nd/4.0/.
References
- Gehri R, Zanetti M, Boos N. Subacute subdural haematoma complicating lumbar microdiscectomy. J Bone Joint Surg Br 2000;82:1042-5. [Crossref] [PubMed]
- Lykissas MG, Aichmair A, Herzog RJ, et al. Spinal subdural hematoma following lumbar decompressive surgery: a report of two cases. Wien Klin Wochenschr 2015;127:71-4. [Crossref] [PubMed]
- Chang KC, Samartzis D, Luk KD, et al. Acute spinal subdural hematoma complicating lumbar decompressive surgery. Evid Based Spine Care J 2012;3:57-62. [Crossref] [PubMed]
- Işik S, Yilmaz B, Ekşi MŞ, et al. Delayed Onset Intracranial Subdural Hematoma Following Spinal Surgery. J Craniofac Surg 2016;27:e370-3. [Crossref] [PubMed]
- Schiller F, Neligan G, Budtz-Olsen O. Surgery in haemophilia; a case of spinal subdural haematoma producing paraplegia. Lancet 1948;2:842-5. [Crossref] [PubMed]
- Zakaria AF, Tsuji M. Intracranial Subdural Hematoma after Lumbar Spine Surgery: A Case Report. Malays Orthop J 2019;13:85-7. [Crossref] [PubMed]
- Van Roost D, Thees C, Brenke C, et al. Pseudohypoxic brain swelling: a newly defined complication after uneventful brain surgery, probably related to suction drainage. Neurosurgery 2003;53:1315-26; discussion 1326-7. [Crossref] [PubMed]
- Dickinson J, Kroll D, Bentley J, et al. Pseudohypoxic Brain Swelling After Elective Lumbar Spinal Surgery: Case Report. Cureus 2018;10:e2454. [Crossref] [PubMed]
- Chidambaram S, Swong K, Ander M, et al. Pseudohypoxic Brain Swelling After Uncomplicated Lumbar Decompression and Fusion for Spondylolisthesis. World Neurosurg 2020;133:155-8. [Crossref] [PubMed]
- Nakamura H, Sato K, Hirayama K, et al. Pseudohypoxic Brain Swelling after Unilateral Burr Hole Drainage: A Novel Case Report. NMC Case Rep J 2022;9:135-8. [Crossref] [PubMed]
- Williams B. Simultaneous cerebral and spinal fluid pressure recordings. I. Technique, physiology, and normal results. Acta Neurochir (Wien) 1981;58:167-85. [Crossref] [PubMed]
- Khachatryan T, Robinson JS. The possible impact of cervical stenosis on cephalad neuronal dysfunction. Med Hypotheses 2018;118:13-8. [Crossref] [PubMed]
- Watabe N, Tominaga T, Shimizu H, et al. Quantitative analysis of cerebrospinal fluid flow in patients with cervical spondylosis using cine phase-contrast magnetic resonance imaging. Neurosurgery 1999;44:779-84. [Crossref] [PubMed]
- Bae YJ, Lee JW, Lee E, et al. Cervical compressive myelopathy: flow analysis of cerebrospinal fluid using phase-contrast magnetic resonance imaging. Eur Spine J 2017;26:40-8. [Crossref] [PubMed]
- Tominaga T, Watabe N, Takahashi T, et al. Quantitative assessment of surgical decompression of the cervical spine with cine phase contrast magnetic resonance imaging. Neurosurgery 2002;50:791-5; discussion 796. [Crossref] [PubMed]
- Mokri B. The Monro-Kellie hypothesis: applications in CSF volume depletion. Neurology 2001;56:1746-8. [Crossref] [PubMed]
- Schievink WI. Spontaneous spinal cerebrospinal fluid leaks and intracranial hypotension. JAMA 2006;295:2286-96. [Crossref] [PubMed]
- Amoozegar F. Spinal Cerebrospinal Fluid Leaks/Intracranial Hypotension. Neurosurg Clin N Am 2025;36:299-309. [Crossref] [PubMed]
- Snyder KA, Clarke MJ, Gilbertson JR, et al. Prompt Recognition and Management of Postoperative Intracranial Hypotension-Associated Venous Congestion: A Case Report. Neurocrit Care 2016;24:448-53. [Crossref] [PubMed]


