Vascular anatomy of L1 vertebral body in Wistar rat—corrosion-fluorescence, diaphanization and histological analysis, comparison to humans, and importance in blood supply-related investigation
Highlight box
Key findings
• The blood supply to the L1 vertebral body in Wistar rats closely resembles that of humans. This similarity suggests Wistar rats could be a valuable model for studying vascularization and vertebral body ischemia in various pathological conditions.
What is known and what is new?
• Although previous research on this topic is limited, some studies have indicated similarities in the extraosseous vascular anatomy of the L1 vertebral body in rats and humans.
• Our study confirms these similarities using corrosion-fluorescence and diaphanization techniques and introduces a novel histological method that identifies very small intraosseous blood vessels by detecting endothelial cell nuclei, including third-order arterioles, venules, and capillaries. Additionally, a detailed anatomical analysis was performed, examining the density and cellular composition of vascular endothelial cells at various levels of the L1 vertebral body in Wistar rats. The spatial distribution of these cells was mapped, identifying areas with higher and lower vascular presence. This histological evidence strengthens the understanding of the resemblance between the intraosseous vascularization of Wistar rats and humans.
What is the implication, and what should change now?
• Given the close vascular similarity, Wistar rats represent a promising model to study the impact of vascularization and ischemia in vertebral diseases. This foundation paves the way for future research investigating whether fractures in specific vascular regions are more likely to heal or lead to nonunion.
Introduction
The recognition of avascular necrosis of the vertebral body in post-traumatic cases has been increasing, likely as a result of the aging population. It is most frequently identified at the thoracolumbar junction (T12, L1) and is particularly prevalent among elderly individuals with osteoporosis. Although clinically significant, it remains underdiagnosed, with studies indicating a notable incidence, ranging between 7% and 37% of vertebral compression fractures. This condition is more commonly linked to highly comminuted fractures, those with greater vertebral body collapse, and those affecting the least vascularized regions of the vertebral body—all of which are well-established risk factors for pseudarthrosis. Avascular necrosis signifies a failure in vertebral bone healing and remains one of the most challenging and unpredictable complications in spinal traumatology (1-9).
The factors that determine whether bone healing is likely to occur in a complete burst fracture [A4 type of AOSpine classification (10)], influencing the decision between vertebral stabilization or replacement surgical procedures, remain largely undefined. Due to the morbidity associated with anterior approaches for corpectomy and anterior reconstruction, there has been an exaggerated tendency to treat vertebral compression fractures with pedicular fixation, often increasing the number of fixed levels. However, the loss of anterior spinal support—an area responsible for bearing 80% of axial loads—inevitably increases stress on posterior instrumentation. This can lead to instrumentation failure, vertebral body height loss, and post-traumatic local and segmental kyphosis, with significant clinical and functional consequences (11-23).
To optimize treatment for these fractures, it is essential to establish standardized protocols, which require identifying predictors of vertebral body bone healing from the outset. This would enable surgeons to do the proper selection between spinal stabilization and vertebral body replacement procedures from the beginning, ultimately preventing non-union and avoiding stabilization surgery in cases where the fracture is unlikely to heal.
Some researchers have proposed that arterial vascularization and vertebral body nutrition play a crucial role in determining whether a fracture progresses toward healing or necrosis. However, this hypothesis remains unproven, and vertebral vascularization is not currently considered in the decision-making process for choosing ad initium vertebral body replacement instead of a spine stabilization surgery (1-7,9,24-29). Despite the lack of definitive scientific evidence, we consider that the one of the main causes for a vertebral fracture evolving into non-union is the injury of intraosseous blood vessels at the time of the fracture. This disruption compromises blood supply to the vertebral body, hindering bone healing and increasing the likelihood of necrosis and pseudoarthrosis. Nevertheless, no current diagnostic method allows for the biological and vascular assessment of whether a specific fracture pattern has caused major intraosseous blood vessel disruption, leading to pseudarthrosis (8). Our group previously demonstrated that the majority of initial fractures leading to post-traumatic vertebral osteonecrosis correspond to burst fractures, accounting for 82.9% of cases. Additionally, most of these fractures present an intravertebral cleft located in the anterosuperior region of the vertebral body (54.3%), aligning with the concept that this area has limited intrasomatic bone vascularization. It is plausible that the fracture injury disrupted the essential blood supply required for bone healing, triggering a cascade leading to nonunion and pseudarthrosis in a characteristic location (1,2,9,14,30). Following this line of reasoning, it makes sense to assume that in cases of complete burst fractures—those extending across the entire vertebral body structure, including both endplates and the posterior wall [A4 type of AOSpine classification (10)]—there is a high likelihood that intraosseous vascularization is compromised, rendering it biologically insufficient to support proper bone healing. Consequently, in our current approach, when faced with highly comminuted vertebral burst fractures, we proceed with caution and, based on the previously mentioned empirical considerations, we admit that the vertebral body intraosseous arterial network is compromised, making spontaneous bone healing unlikely. Therefore, from the outset, we opt as the fracture’s initial treatment for vertebral body replacement, either interior (interior vertebral body replacement by kyphoplasty or armed kyphoplasty with expandable intravertebral implants) or total (total vertebral body replacement by corpectomy and anterior reconstruction). This approach also works as a preventive measure against vertebral body nonunion and pseudarthrosis, mitigating the risk of these high-risk fractures evolving into one of the most challenging complications in spinal traumatology (25,26,31,32). To validate and substantiate this treatment approach, we believe it is crucial to establish the biological and vascular significance of intraosseous blood supply in managing the prevalent thoracolumbar burst fractures, especially regarding the decision between preserving or not the fractured vertebral body.
To address the question of whether injury to the vertebral intraosseous arterial microvascularization following a fracture can influence or predict the bone healing capacity of the vertebral body, we must start from the beginning. Therefore, this study aims to conduct a detailed analysis of the vascular anatomy of the L1 vertebral body in the Wistar rat. The objective is to examine the vascularization of one of the vertebrae most frequently affected by burst fractures and post-traumatic vertebral necrosis in humans using a well-established and easily accessible animal model, the Wistar rat. This will allow for a comparison of its vascular structure with previously studied human anatomy in order to identify similarities and differences (1-7,9). Ultimately, the goal is to determine whether the Wistar rat can serve as a suitable model for research on vertebral body blood supply, particularly in studies investigating the progression of burst fractures toward healing or nonunion. Additionally, understanding the vascular anatomy of the L1 vertebral body in Wistar rats and its potential similarities to human anatomy could facilitate further research in various areas. This includes studying the pathways of metastatic cell and septic emboli dissemination, the pathophysiology of vertebral osteomyelitis, the development of hemangiomas and other vascular tumors, congenital spinal anomalies such as scoliosis or hemivertebrae, and even degenerative disc disease, among other conditions (33,34). We present this article in accordance with the ARRIVE reporting checklist (available at https://jss.amegroups.com/article/view/10.21037/jss-25-41/rc).
Methods
Forty-three female Wistar rats, three months old and weighing between 250 and 350 g, were obtained from the company Charles River Laboratories and used in this study. All animals were housed under standard environmental conditions and were subjected to a fasting period of six hours prior to surgical procedures. All animal experiments were performed under project licenses granted by institutional ethics committees of Nova Medical School, Lisbon, Portugal (No. 135/2019/CEFCM) and Faculty of Medicine, University of Coimbra, Coimbra, Portugal (No. CE-141/2023/FMUC), in compliance with Directorate General of Food and Veterinary national guidelines for the care and use of animals. A protocol was prepared before the study without registration.
Initially, three Wistar rats were injected in the left ventricle with an acrylic resin Mercox® and subsequently processed using the vascular corrosion-fluorescence technique to generate vascular corrosion casts of the vessels surrounding the thoracolumbar spine. This method produces an accurate three-dimensional replica of the vascular network, enabling detailed morphological analysis of even the smallest vessels (35).
Next, 20 Wistar rats received an injection of 180–200 mL/kg of a latex solution into the left ventricle—10 rats with a red-colored and 10 with a blue-colored latex solution—until adequate peripheral contrast perfusion was observed. Following this, the animals were euthanized by anesthesia overdose, and the T12–L1–L2 spine segment was dissected by an anterior abdominal retroperitoneal approach. Incisions were made at the T11–T12 and L2–L3 intervertebral discs, and the entire vertebral segment, including its vascular pedicle, was removed en bloc. This technique enhances the visualization of vascular structures as they typically appear during surgical procedures (36). Those 20 vertebral blocks underwent diaphanization treatment and were converted into modified Spalteholz-cleared specimens. This method preserves vascular and perivascular structures while rendering the specimens transparent, allowing for detailed three-dimensional visualization (37,38). Both the vascular corrosion-fluorescence and diaphanization specimens were analyzed through direct observation and optical microscopy in order to identify vertebral body arteries previously described in the available literature on the Wistar rat, as well as by analogy with the vascular anatomy of the human lumbar vertebral body.
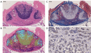
In the third place, 20 Wistar rats were euthanized by anesthesia overdose, and their L1 vertebra was excised through an anterior abdominal retroperitoneal approach (Figure 1). The L1 vertebra was identified as the first vertebra located below the last rib-bearing vertebra, T12, following clear identification of the 12th rib (Figure 1). At this stage, vertebral body dimensions were measured, including height and transverse process lengths. Additionally, axial anteroposterior and lateral diameters of the upper, intermediate, and lower slices were assessed during histological analysis. Meanwhile, the L1 vertebral bodies were fixed in 10% paraformaldehyde and decalcified using an 8% hydrochloric acid/formic acid solution. Following this, 15 vertebrae underwent axial sectioning at the midportion of the vertebral body, while the remaining five vertebrae were subjected to sequential axial sectioning throughout their entire height, from the upper to the lower endplate, at 300-micrometer intervals. This process yielded upper, intermediate, and lower slices, allowing for a comprehensive anatomical study of the entire vertebral structure (Figure 2). Subsequently, the sections were prepared for histological examination using hematoxylin-eosin and Masson’s trichrome stains. Immunohistochemical analysis was also performed using CD31 staining to highlight endothelial structures (39-41). The histological slides were digitized in high resolution and analyzed using QuPath (version 0.5.1), an open-source software designed for digital histological image visualization, annotation, and automated quantification. To classify tissues automatically, a Random Trees (RTrees) classifier was trained using QuPath’s Train Object Classifier tool. RTrees are machine learning models based on multiple decision trees, which enhance classification accuracy and minimize overfitting. The classifier was trained based on manual annotations, defining four distinct categories for histological structure classification: vascular, bone, cartilage, and bone marrow components. For numerical analysis, the Cell Detection tool in QuPath was used to quantify the nuclei present in each component. In the vascular component, identified nuclei corresponded to endothelial cells, while in the bone component, they were associated with osteoblasts, osteocytes, and osteoclasts. In cartilage, the detected nuclei represented chondroblasts and chondrocytes, whereas in the bone marrow, nuclei from various hematopoietic cells were identified. Each axial section was histologically analyzed following a structured division into six designed quadrants (Q) (Figure 2): anterior right (ARQ), anterior center (ACQ), anterior left (ALQ), posterior right (PRQ), posterior center (PCQ), and posterior left (PLQ). Additionally, each section was further subdivided into two distinct areas—a central area (CA) and a peripheral area (PA)—where the center was determined based on the midpoint of the pre-established quadrants. To quantify the distribution of cellular components, two key parameters were calculated: nuclear density (number of nuclei per area, n/mm2) and nuclear proportion (number of specific nuclei per total of nuclei detections, %). These calculations were performed for each quadrant and area, as well as for the entire analyzed vertebral body, including upper, intermediate and lower slices. The results were then compared across different quadrants, both individually and in grouped analyses, to identify differences between the anterior and posterior halves of the vertebra, as well as between the central, right, and left portions. Additionally, differences in nuclear density and proportion were examined between the upper, intermediate, and lower slices of the vertebral body.
Statistical analysis
For statistical analysis, IBM SPSS Statistics for Windows, Version 28.0 (IBM Corp., Armonk, NY, USA) was used. The Shapiro-Wilk normality test indicated asymmetrical variable distributions, leading to the application of nonparametric statistical tests. A P value of <0.05 was considered statistically significant.
Results
The L1 vertebral body of the Wistar rat has a triangular prism shape with a pronounced anterior median ridge. In terms of average dimensions, its height is significantly greater than its width, with a mean height of 4.1±1.1 mm, as measured directly in the 40 resected vertebrae. Axial diameters were measured during the histological analysis of the upper, intermediate, and lower slices of the vertebral body. The mean anteroposterior axial diameters were 2.20±0.11, 2.30±0.1, and 2.23±0.12 mm, respectively. Meanwhile, the mean lateral axial diameters were 3.67±0.1, 3.44±0.11, and 3.75±0.13 mm, indicating that the vertebral body is narrower in the intermediate portion compared to its upper and lower halves (Figure 2). The transverse processes connect bilaterally to the vertebral body along the entire extent of its upper half. They have a triangular shape with a medial base at the vertebral body, gradually narrowing towards the lateral apex. The average length of these processes, measured from their origin at the vertebral body to the apex, is 4.1±0.4 mm, with an upward, posterior, and lateral orientation. The median axial area of the intermediate slices of the L1 vertebral body is 741,903.29 µm2, while the upper portion has an area of 735,651 µm2 and the lower portion measures 656,094.39 µm2.
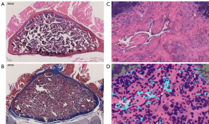
Regarding the three rats subjected to the vascular corrosion-fluorescence technique (Figure 3) and the 20 diaphanized vertebrae (Figures 4,5), the identified arteries were analyzed based on previous descriptions and anatomical analogy with the arterial branches of the human lumbar vertebra. We illustrated this comparison in Figure 6 (sagittal view), Figure 7 (axial view), Figure 8 (coronal retrovertebral view) and Figure 9 (median coronal section), by recreating the vasculature of the human vertebral body side by side with our suggestion of the vasculature of Wistar rats’ vertebral body, based on the findings of our study and previously described literature for humans and rats (33,34,42-51). The number of vertebrae in which each artery was detected and the corresponding percentage of the total analyzed specimens was recorded (Figures 3-9). The segmental arteries, lumbar arteries (Lsa) and subcostal artery (Sca) were identified in all specimens (n=23; 100%), located bilaterally along the anterolateral surfaces of the vertebral body, encircling its midportion from their origin in the aorta (Ao) to the intervertebral foramina. Horizontal metaphyseal anastomoses (Hma) were identified in eight vertebrae, accounting for 13 arteries in total (n=13; 56.52%), positioned between adjacent lumbar arteries near the intervertebral disc, while vertical anastomoses (Va) at the disc level (n=8; 34.78%) were observed connecting the Hma of adjacent vertebrae. Primary periosteal arteries (Ppa) were identified in 14 vertebrae (n=14; 60.87%) and their branches secondary periosteal arteries (Spa) in 4 cases (n=4; 17.39%) the anterior spinal canal branch (Ascb) of the lumbar artery was present in 16 specimens (n=16; 69.57%). Additionally, ascending and descending branches of the Ascb from the retrovertebral arterial arcade (Raa) were detected in 12 vertebrae (n=12; 52.17%), while posterior intervertebral anastomoses (Ia-Ascb) with the contralateral Ascb were noted in four cases (n=4; 17.39%). The origin of the posterior nutritive arteries (Pna) was identified in eleven vertebrae (n=11; 47.83%). The medial spinal branch of lumbar artery was observed in 20 cases (n=20; 86.96%) and the radicular branch (Rb) of the lumbar artery was observed in 15 specimens (n=15; 65.22%). No intraosseous arteries were identified using these methods.
Regarding the histological analysis of the 15 vertebral bodies in which axial slices were obtained at the intermediate portion after preparation, examination, and exclusion of non-viable slices, a total of 43 slices were analyzed (Figure 2). This corresponded to the evaluation of 258 quadrants, considering the division of each axial section into six parts (ARQ, ACQ, ALQ, PRQ, PCQ, PLQ), and 86 areas when further divided into central (CA) and peripheral (PA) areas. For the five vertebrae with upper and lower slices, after preparation, analysis, and exclusion of non-viable slices, a total of three axial slices were obtained from the upper portion (corresponding to 18 quadrants and six areas), while six slices were obtained from the lower portion of the vertebral body (36 quadrants and 12 areas) (Figure 2).
The intraosseous vessels identified within the L1 vertebral body in this sample of Wistar rats corresponded to third-order arterioles or venules and blood capillaries (Figures 10,11). When these vessels appeared in axial sections, their lumen diameter was measured, ranging from 15 to 30 µm for arterioles or venules and 5 to 12 µm for blood capillaries. No intraosseous vessels larger than this caliber were identified in our sample. Due to the extremely small size of the detected vessels, this histological method did not allow for a clear distinction between arterioles and venules.
The measurements of cell nucleus density and cellular nuclear proportion were calculated for the intermediate, upper, and lower slices of L1 vertebral body, and are presented in Tables 1-3. The vascular density in all the analyzed slices corresponded to 101.09 endothelial nuclei per mm2. Focusing on the table of intermediate slices (Table 1), which are the most representative due to the higher number of analyzed slices (n=43), it can be observed that the central quadrants (ACQ and PCQ), as well as the CA, exhibit higher values of density and proportion of vascular endothelial nuclei compared to the right and left quadrants and the PA. Moreover, vascular endothelial nuclei are predominantly found in the anterior half of the vertebra (ARQ, ACQ, ALQ) compared to the posterior half (PRQ, PLQ), except for PCQ. We present at Figure 12 a diagram of the distribution of vascular endothelial nuclei density across each quadrant and area of the intermediate slices, which constitute the most representative part of our sample.
Table 1
| Quadrants—intermediate slices | Total cell nuclei | Vascular endothelial nuclei | Bone cell nuclei | Cartilage cell nuclei | Bone marrow cell nuclei | |||||||
|---|---|---|---|---|---|---|---|---|---|---|---|---|
| Density, n/mm2 | Proportion, % | Density, n/mm2 | Proportion, % | Density, n/mm2 | Proportion, % | Density, n/mm2 | Proportion, % | |||||
| ARQ | 7,490.56 | 106.23 | 1.829 | 997.34 | 14.945 | 220.22 | 2.806 | 4,820.36 | 77.383 | |||
| ACQ | 9,412.78 | 128.97 | 1.400 | 929.14 | 9.478 | 373.37 | 3.675 | 7,451.41 | 79.995 | |||
| ALQ | 7,443.00 | 110.01 | 1.652 | 1,027.00 | 14.389 | 262.28 | 3.541 | 4,633.98 | 74.258 | |||
| PRQ | 7,100.61 | 102.35 | 1.270 | 790.89 | 11.428 | 263.60 | 3.681 | 5,032.90 | 80.522 | |||
| PCQ | 10,026.48 | 118.79 | 0.921 | 626.94 | 6.338 | 485.90 | 4.776 | 7,600.40 | 80.687 | |||
| PLQ | 6,973.89 | 85.87 | 1.014 | 732.53 | 11.340 | 293.96 | 3.431 | 4,785.80 | 78.959 | |||
| AR (ARQ + ACQ + ALQ) | 7,685.02 | 120.01 | 1.611 | 993.25 | 12.987 | 273.98 | 3.443 | 5,655.54 | 77.939 | |||
| PR (PRQ + PCQ + PLQ) | 7,613.53 | 102.35 | 1.168 | 732.53 | 9.693 | 330.40 | 3.892 | 5,564.90 | 79.578 | |||
| RR (ARQ + PRQ) | 7,162.16 | 104.09 | 1.621 | 921.80 | 12.647 | 255.86 | 3.453 | 5,031.42 | 77.868 | |||
| CR (ACQ + PCQ) | 9,622.33 | 125.87 | 1.296 | 816.57 | 8.000 | 422.61 | 4.049 | 7,501.54 | 80.548 | |||
| LR (ALQ + PLQ) | 7,070.94 | 99.44 | 1.437 | 866.34 | 13.078 | 268.05 | 3.435 | 4,734.21 | 77.325 | |||
| CA | 12,984.59 | 150.08 | 1.194 | 747.74 | 6.098 | 511.31 | 3.372 | 10,134.54 | 82.208 | |||
| PA | 4,913.49 | 83.19 | 1.684 | 839.21 | 17.867 | 263.11 | 4.471 | 3,232.93 | 68.911 | |||
| Total | 7,682.34 | 108.12 | 1.432 | 845.92 | 11.376 | 307.09 | 3.624 | 5,605.86 | 78.775 | |||
ACQ, anterior center quadrant; ALQ, anterior left quadrant; AR, anterior region; ARQ, anterior right quadrant; CA, central area; CR, central region; LR, left region; PA, peripheral area; PCQ, posterior center quadrant; PLQ, posterior left quadrant; PR, posterior region; PRQ, posterior right quadrant; RR, right region.
Table 2
| Quadrants—upper slices | Total cell nuclei | Vascular endothelial nuclei | Bone cell nuclei | Cartilage cell nuclei | Bone marrow cell nuclei | |||||||
|---|---|---|---|---|---|---|---|---|---|---|---|---|
| Density, n/mm2 | Proportion, % | Density, n/mm2 | Proportion, % | Density, n/mm2 | Proportion, % | Density, n/mm2 | Proportion, % | |||||
| ARQ | 5,985.60 | 121.37 | 1.997 | 866.08 | 24.799 | 104.89 | 1.726 | 3,279.87 | 54.796 | |||
| ACQ | 7,560.44 | 153.89 | 1.609 | 997.31 | 17.468 | 166.62 | 1.741 | 4,802.93 | 63.527 | |||
| ALQ | 5,027.81 | 93.22 | 1.854 | 881.34 | 30.094 | 56.43 | 0.990 | 2,488.39 | 49.493 | |||
| PRQ | 6,539.92 | 108.17 | 1.654 | 1,105.03 | 19.056 | 198.01 | 3.028 | 5,091.09 | 69.943 | |||
| PCQ | 10,265.46 | 102.56 | 0.999 | 832.00 | 7.318 | 254.14 | 2.476 | 9,234.38 | 84.344 | |||
| PLQ | 6,492.65 | 130.99 | 1.858 | 1,009.37 | 19.107 | 98.55 | 1.518 | 5,095.56 | 72.274 | |||
| AR (ARQ + ACQ + ALQ) | 5,699.18 | 121.37 | 1.854 | 881.34 | 24.799 | 104.89 | 1.723 | 3,279.87 | 56.464 | |||
| PR (PRQ + PCQ + PLQ) | 6,539.92 | 108.17 | 1.271 | 1,009.37 | 19.056 | 198.01 | 2.476 | 5,095.56 | 72.274 | |||
| RR (ARQ + PRQ) | 6,031.57 | 114.77 | 1.826 | 985.55 | 21.927 | 151.45 | 2.377 | 4,132.53 | 63.274 | |||
| CR (ACQ + PCQ) | 8,563.47 | 123.54 | 1.135 | 914.66 | 12.839 | 210.38 | 2.109 | 6,631.65 | 75.610 | |||
| LR (ALQ + PLQ) | 5,363.49 | 112.10 | 1.856 | 980.99 | 24.600 | 77.49 | 1.254 | 3,556.38 | 67.567 | |||
| CA | 13,050.68 | 198.54 | 1.521 | 1,172.99 | 8.972 | 284.24 | 2.178 | 10,533.71 | 80.573 | |||
| PA | 4,617.54 | 84.99 | 1.758 | 821.18 | 29.790 | 86.07 | 1.780 | 2,432.62 | 52.682 | |||
| Total | 6,031.57 | 114.77 | 1.631 | 974.96 | 19.081 | 135.75 | 1.734 | 4,713.65 | 68.410 | |||
ACQ, anterior center quadrant; ALQ, anterior left quadrant; AR, anterior region; ARQ, anterior right quadrant; CA, central area; CR, central region; LR, left region; PA, peripheral area; PCQ, posterior center quadrant; PLQ, posterior left quadrant; PR, posterior region; PRQ, posterior right quadrant; RR, right region.
Table 3
| Quadrants—lower slices | Total cell nuclei | Vascular endothelial nuclei | Bone cell nuclei | Cartilage cell nuclei | Bone marrow cell nuclei | |||||||
|---|---|---|---|---|---|---|---|---|---|---|---|---|
| Density, n/mm2 | Proportion, % | Density, n/mm2 | Proportion, % | Density, n/mm2 | Proportion, % | Density, n/mm2 | Proportion, % | |||||
| ARQ | 6,110.86 | 64.40 | 1.040 | 1,132.79 | 20.645 | 138.80 | 2.274 | 4,906.23 | 74.585 | |||
| ACQ | 8,057.94 | 73.81 | 0.995 | 1,212.32 | 16.224 | 278.00 | 3.071 | 6,466.01 | 76.224 | |||
| ALQ | 6,030.11 | 57.08 | 0.937 | 1,251.89 | 22.087 | 181.18 | 2.555 | 4,495.74 | 72.313 | |||
| PRQ | 6,413.10 | 44.07 | 0.618 | 826.62 | 12.634 | 226.58 | 3.360 | 5,383.33 | 79.444 | |||
| PCQ | 7,542.49 | 40.76 | 0.410 | 692.35 | 9.728 | 405.36 | 5.203 | 6,323.53 | 84.153 | |||
| PLQ | 5,714.74 | 48.00 | 0.742 | 876.23 | 15.573 | 189.77 | 2.536 | 4,402.41 | 77.065 | |||
| AR (ARQ + ACQ + ALQ) | 6,440.22 | 61.24 | 1.022 | 1,212.32 | 20.252 | 183.67 | 2.506 | 4,909.18 | 74.554 | |||
| PR (PRQ + PCQ + PLQ) | 6,586.93 | 44.76 | 0.663 | 778.77 | 12.158 | 273.09 | 3.386 | 5,383.33 | 80.166 | |||
| RR (ARQ + PRQ) | 6,174.45 | 49.31 | 0.778 | 878.80 | 16.865 | 160.37 | 2.669 | 5,180.96 | 78.368 | |||
| CR (ACQ + PCQ) | 7,778.93 | 52.88 | 0.707 | 797.59 | 10.977 | 321.25 | 3.653 | 6,375.04 | 79.393 | |||
| LR (ALQ + PLQ) | 5,730.38 | 48.47 | 0.779 | 960.34 | 19.481 | 181.18 | 2.555 | 4,452.10 | 74.520 | |||
| CA | 10,402.34 | 69.13 | 0.613 | 1,315.61 | 13.092 | 344.86 | 3.024 | 8,690.16 | 82.237 | |||
| PA | 4,466.82 | 39.80 | 0.886 | 912.21 | 26.191 | 187.21 | 4.169 | 3,105.27 | 67.907 | |||
| Total | 6,495.72 | 49.23 | 0.782 | 883.05 | 15.313 | 216.94 | 2.794 | 5,128.59 | 77.219 | |||
ACQ, anterior center quadrant; ALQ, anterior left quadrant; AR, anterior region; ARQ, anterior right quadrant; CA, central area; CR, central region; LR, left region; PA, peripheral area; PCQ, posterior center quadrant; PLQ, posterior left quadrant; PR, posterior region; PRQ, posterior right quadrant; RR, right region.
After performing statistical tests to identify significant differences between each quadrant and area analyzed, statistically significant differences were found in vascular nuclear density and proportion between the CA and PA (both P<0.001). Additionally, significant differences were identified between the central quadrants ACQ and PCQ and both lateral posterior quadrants PRQ (ACQ-PRQ P=0.02; PCQ-PRQ P=0.04) and PLQ (both P<0.001). Although the density of vascular component nuclei is higher in the CA (150.08/mm2 vs. 83.19/mm2), their proportion is greater in the PA (1.194% vs. 1.684%), with both differences being statistically significant (P<0.001). This discrepancy is likely related to the significantly lower density of total cell nuclei in the PA compared to the CA, where most cells are concentrated, thereby reducing the proportion of vascular cells.
When grouping and comparing the anterior quadrants (ARQ, ACQ, ALQ) with the posterior quadrants (PRQ, PCQ, PLQ), the anterior (AR) and posterior (PR) regions are defined. Regarding vascular endothelial nuclei, a higher density and nuclear proportion were observed in the AR compared to the PR (120.01/mm2 vs. 102.35/mm2 and 1.611% vs. 1.168%, respectively), with a statistically significant difference found only in nuclear proportion (P=0.03).
When grouping and comparing the central quadrants (ACQ, PCQ), the right quadrants (ARQ, PRQ), and the left quadrants (ALQ, PLQ), the central (CR), right (RR), and left (LR) regions are defined. Regarding vascular endothelial nuclei, a significantly higher nuclear density (P<0.001) was identified in the CR (125.87/mm2) compared to the right (104.09/mm2) and left (99.44/mm2) regions. No significant difference was observed in the density and proportion of vascular nuclei between the RR and LR, despite slightly higher values in the RR (104.09/mm2 and 1.621% vs. 99.44/mm2 and 1.437%, respectively).
Regarding the remaining analyzed parameters (Table 1), it was observed that the total cellular nuclear density is significantly higher in the CA compared to the PA (P<0.001) and in the central quadrants (ACQ and PCQ, CR) compared to the lateral quadrants (RR and LR) (P<0.001). These significant differences in the same direction were also found in the nuclear density of bone marrow cells (P<0.001), cartilage cells (P<0.001), and, as previously mentioned, vascular endothelial cells (P<0.001). The proportion of bone marrow cells is also significantly higher in the CA compared to the PA and in the RP compared to the RA, as well as in the CR compared to the lateral quadrants RR and LR (all P<0.001). On the other hand, bone cell nuclei are more frequent, both in terms of density and nuclear proportion, in the PA compared to the CA, although only the difference in cellular proportion is statistically significant (P<0.001). A statistically significant predominance in both density and proportion was also observed in the AR compared to the PR (both P<0.001). Additionally, the nuclear proportion of bone cells is significantly higher in the RR and LR compared to CR (P<0.001). Cartilage cells are predominantly found in terms of both density and nuclear proportion in PCQ, showing a statistically significant predominance in both density and proportion in the PR compared to the AR (density P<0.001; proportion P=0.001).
When analyzing the upper and lower slices (Tables 2,3), despite their limited representativity (only 3 upper slices—18 quadrants and 6 areas; 6 lower slices—36 quadrants and 12 areas), no statistically significant differences were identified when comparing all parameters one by one across upper, intermediate, and lower slices. This indicates a similar intrasomatic cellular distribution of all analyzed components to that already described for the intermediate slices. Regarding vascular endothelial nuclei, they were more prevalent in terms of density in the CA compared to the PA, although this difference was statistically significant only in the lower slices (P=0.03). A higher density was also observed in the AR compared to the PR, with statistical significance found only in the lower slices (P=0.02). Additionally, in the lower slices, a significant difference was observed in the proportion of vascular endothelial nuclei between the CA and PA (P=0.046) and between the AR and PR (P=0.03). When comparing the overall values of the various analyzed components between the slice groups, only the lower slices exhibited significantly inferior values of vascular endothelial nuclear density (P=0.001) and proportion (P=0.005) compared to the intermediate slices (49.23/mm2 and 0.782% vs. 108.12/mm2 and 1.432%).
Discussion
Vascular injury often occurs alongside skeletal trauma and can result in localized ischemia at the injury site. Biologically, this reduces the supply of oxygen and nutrients to the damaged tissues and hinders the removal of carbon dioxide and metabolic byproducts. Such disruptions in blood flow have been shown to impair bone healing, as consistently demonstrated in multiple animal models involving different anatomical fracture locations (52-63). Several studies have highlighted the importance of arterial blood flow, as well as the vertebral body’s blood supply and nutritional status, in determining whether a vertebral fracture heals properly or progresses to non-union and bone necrosis (1-4,6,8,9,14,24,25,27-30). While this concept is grounded in strong pathophysiological reasoning, this potentially crucial biological factor is still not integrated into current clinical decision-making protocols for initially determining the need for vertebral body replacement. Identifying biological prognostic markers early could help surgeons make better-informed choices from the beginning, selecting the optimal surgical strategy—whether preserving and stabilizing the vertebral body or proceeding with partial or complete replacement. The primary goal is to avoid relying on stabilization surgery in cases where the vertebral body exhibits limited healing potential, and instead proceed ad initium with vertebral body replacement, thereby reducing the risk of nonunion, bone necrosis, and post-traumatic vertebral collapse. Ultimately, the objective is to anticipate, prevent, and reduce occurrences of nonunion and post-traumatic necrosis—persistent and significant challenges in spinal trauma care (1-4,6,8,9).
One of the objectives in evaluating the vascular anatomy of the Wistar rat L1 vertebral body is to establish similarities and differences in relation to the previously described vascular anatomy of the human lumbar vertebra. This assessment aims to determine whether this animal can be appropriately used as a model with vascularization comparable to that of humans in research investigating the significance of blood supply to the vertebral body for certain diseases. This can be particularly relevant in clinical areas such as: the role of intraosseous microvascularization injury in the biological processes of bone healing or nonunion after vertebral body fractures; the understanding of vascular pathways for the dissemination of metastatic cells and septic emboli; the pathophysiology of vertebral osteomyelitis; development of hemangiomas and other vascular vertebral tumors; potential ischemic etiology that compromises the growth of specific vertebral regions leading to spinal deformities such as hemivertebrae or kyphoscoliosis; ischemia-induced degenerative disc disease, where it is thought that deficits in the diffusion of nutrients and oxygen from the intraosseous arteries of the vertebral body to the disc may be impaired, among others. These and other aspects highlight the importance of understanding vertebral vascularization in both experimental and clinical research (33,34).
Several studies over time have contributed to defining what is currently accepted as the vascular anatomy of the lumbar vertebral body in the adult human. The description of the extraosseous arterial vascularization of the lumbar vertebral body through the lumbar arteries has been well established and widely accepted since its original description by Antoine Portal in 1803 (42). More than a century later, authors such as Hanson [1926], Wagoner & Pendergrass [1932], W. R. Ferguson [1950], Wiley & Trueta [1959], and Mineiro [1965] described anterolateral penetrating arteries entering the vertebral body at its anterolateral surfaces (Figures 6-9—Ppa, Spa, Aea, Ma) (45,47,64-66). Several other researchers have also documented these arterial branches, however controversy persists regarding the intraosseous arterial vascularization of the vertebral bodies, particularly concerning whether anterior or posterior vascular dominance prevails (33,34,42-51). Although some uncertainties remain, it is now more recognized that the main arterial supply to the vertebral body originates predominantly from the anterior region, particularly from the aorta and its collateral lumbar segmental arteries (Lsa), which extend bilaterally and course posteriorly along the midportion of the anterolateral surfaces of the lumbar vertebral body (Figures 6-9) (29,33,34,42,43). Along this trajectory, the lumbar arteries give rise to approximately 10 to 20 ascending and descending branches, known as the Ppa. From these, secondary periosteal arteries (Spa) emerge horizontally and penetrate the anterolateral surfaces of the vertebral body. These arteries give rise to three types of intraosseous arteries based on their location within the vertebral body: short peripheral arteries, which supply the outermost region of the vertebral body; anterolateral equatorial arteries (Aea), which vascularize the vertebral body’s central region; and metaphyseal arteries (Ma), which supply the intermediate region between the areas served by the other two artery types (33). The Ppa connect to a Hma located near the endplates, which, in turn, communicate with adjacent vertebrae through vertical branches (Va) at the intervertebral disc surface. Upon reaching the intervertebral foramina, the lumbar arteries divide into three main branches: the medial spinal branch (Sb), the lateral branch, and the dorsal muscular branch (Dmb). Regarding the vascularization of the vertebral body specifically, the medial spinal branch is of particular interest, as it gives rise to the following arteries: the Ascb, the posterior spinal canal branch (Pscb), and the Rb. The Ascb, upon entering the intervertebral foramen, bifurcates into ascending and descending branches (Ab, Db), which anastomose, inside the vertebral canal, with those from adjacent levels as well as with the contralateral homologous artery (through the intervertebral anastomose—Ia-Ascb), forming H-shaped anastomotic networks known as Raa. From the transverse union of the two Ascbs, two posterior nutrient arteries arise (Pna). These arteries penetrate the vertebral body through the basivertebral foramen and supply its posterior portion (33,34,42-51). Regarding the venous vascularization of the lumbar vertebral body, it was studied earlier than its arterial counterpart, and its description has always been more consistent, with the currently accepted anatomy closely resembling the original classical descriptions (67-70). The intraosseous venous network contributes to the formation of the two main venous drainage plexuses of the vertebral body: the anterior external vertebral venous plexus (Aevvp), located in the anterior portion of the vertebral body and the anterior internal vertebral venous plexus (Aivvp), positioned retrovertebrally within the vertebral canal, which receives the basivertebral vein (Bv) originating from the basivertebral foramen. These plexuses ultimately drain into the lumbar veins (Lv), which follow the course of the lumbar arteries. They are intersected and interconnected by the ascending lumbar vein (Alv), which eventually drains into the lower vena cava (67-70).
Among the very limited scientific literature available on the specific vascular anatomy of the lumbar vertebral body of the Wistar rat, the 1987 work by Konerding and Blank stands out (34). In this study, 68 Wistar rats, aged 6 to 32 months, were examined using corrosion casting with acrylic resin Mercox®. The researchers identified segmental arteries originating from the aorta, which divide into three groups of vessels: anterior, medial, and posterior. However, only the first two are relevant to the blood supply of the vertebral body. The anterior group is located at the anterolateral surfaces of the vertebral bodies and enters the body through nutrient foramina on these surfaces. The medial group enters the spinal canal via the intervertebral foramina, supplying the vertebral body, intervertebral disc, pedicles, vertebral arch, and spinal cord. However, the authors also identified numerous anastomoses between these three arterial groups, often extending beyond segmental boundaries (segment-overlapping). The authors describe the medial group as the primary vascular supply to the vertebral body in rats, entering from the posterior aspect. The vessels access the vertebral body via one or two dorsal nutrient foramina, subsequently branching in a tree-like pattern and extending vertically toward the vertebral endplates. Within the vertebral body, branches from both the anterior and medial groups interconnect, creating a complex vascular network with numerous ring-like anastomoses. Additionally, there are recurrent vascular pathways forming loops, along with blind-ending vessels, particularly in proximity to the endplates. The study also reports that venous drainage follows a longitudinal, segment-overlapping venous system, closely resembling the external and internal vertebral venous plexuses in humans. The authors conclude that many structural similarities exist between rat and human vertebral vascularization, particularly concerning extraosseous and intraosseous arterial patterns. However, a key distinction is noted: in rats, the vertebral body receives most of its blood supply from the dorsal aspect, specifically through the rami canalis spinalis, which originate from the medial arterial group. In contrast, Ratcliffe described that in humans, the predominant lumbar vertebral body blood supply originates from the anterolateral vessels (33,34).
Regarding the present study, the three L1 vertebrae subjected to the vascular corrosion-fluorescence technique, along with the 20 diaphanized vertebrae, allowed the identification of several arteries shared with the arterial vascularization of the human lumbar vertebral body, confirming their similarity in extraosseous vascular morphology. The arteries identified in both species include the lumbar segmental arteries, Hma, vertical anastomoses at the level of the intervertebral disc connecting the Hma of adjacent vertebrae, Ppa, medial spinal branch of lumbar artery, Ascb, ascending and descending branches of the Ascb contributing to the Raa, posterior intervertebral anastomosis with the contralateral Ascb, the origin of the posterior nutritive arteries, the Rb of the lumbar artery, and the descending branch of the radicular artery accompanying the spinal nerve. These similarities in the extraosseous arterial vascularization of the vertebral body are evident and have already been partially confirmed by the study of Konerding and Blank (34,42-51). We illustrated this comparison in Figures 6-9, by recreating the vasculature of the human vertebral body side by side with our suggestion of the vasculature of Wistar rats’ vertebral body, based on the findings of our study and previously described literature for humans and rats (33,34,42-51).
However, our analysis using the diaphanization technique did not allow for the identification of intraosseous vessels, but only those giving rise to the penetrating vessels within the vertebral body. This limitation is likely due to the small caliber of intraosseous vessels in the L1 vertebral body of the Wistar rat, preventing the contrast medium from diffusing into such distal structures. Given this limitation of diaphanization and the lack of previous detailed description of the intraosseous vasculature of rats’ vertebral body, a histological analysis was conducted on axial slices of the upper, intermediate, and lower regions of the L1 vertebral body of the Winstar rat (Figure 2). The histological analysis of intraosseous vertebral vessels is a method that enables the examination of intraosseous microvascularization, providing data that would be difficult to obtain using other previously applied techniques such as angiography or imaging methods, due to the minimal size of these vessels. Since the vessels identified in the histological analysis correspond to third-order vessels and blood capillaries (Figures 10,11), it was not possible to definitively determine their arterial or venous nature, which represents a limitation of this study. Specifically, this limitation prevents the definite confirmation of the predominant arterial origin of blood supply to the Wistar rat vertebral body. Even so, understanding the areas of vascular predominance allows for the mapping of the microvascular pattern within the osseous interior of the vertebral body. We were able to clearly and precisely determine the significant predominance (higher density) of endothelial nuclei in the antero-central regions of the vertebral body (Figure 12, Tables 1-3). This vascular predominance can likely be attributed to the origin of most arteries entering the vertebral body at its anterolateral surfaces, which are penetrating vessels stemming from the segmental arteries of the aorta. However, it may also be associated with the presence of local perforating veins draining into the anterior external vertebral venous plexus. Nevertheless, based on previous descriptions indicating a venous predominance within the basivertebral system, particularly in the posterior region of the vertebral body, it is more likely that this antero-central vascular predominance primarily corresponds to arterioles, aligning with Ratcliffe’s findings, which describe a dominant anterolateral origin of arterial blood supply to the vertebral body (33,67-70). In terms of comparisons, a predominance of vascular endothelial cells was observed in the anterior region compared to the posterior region, in the central region compared to the right and LRs, and in the CA compared to the PA. The higher prevalence of vascular endothelial nuclei in the anterior half of the vertebra (ARQ, ACQ, and ALQ) compared to the posterior half (PRQ and PLQ), apart from PCQ, aligns with previous descriptions, assuming the main arterial supply coming from penetrating branches from the lumbar segmental arteries at the anterolateral surfaces. The exception observed in PCQ is likely related to the presence of the nutrient arteries and the basivertebral vein, as well as their point of entry or origin within this quadrant (33,34,42-51,67-70). The same explanation applies to the predominance of vascular endothelium in the central region (ACQ and ACQ) compared to the right and LRs. The RR of the vertebral body exhibits a higher vascular endothelial cell density than the LR across intermediate and upper slices but not lower slices, however lower slices have small number of cases. This finding aligns with the concept proposed by Chiras et al., which suggests that there are more penetrating arteries on the right side to compensate for the leftward deviation of the aorta (43). Furthermore, the significant predominance of vascular endothelium in the CA of the vertebral body, compared to the PA, likely underscores the importance of vascularization at the vertebral body’s center in the Wistar rat. This may correspond to the ascending and descending vertical branches toward the endplates of the central equatorial arteries and the nutrient arteries in humans (Figure 9—Ab-Aea, Db-Aea, Ab-Pna, Db-Pna), which matches the description by Konerding and Blank in rats of tree-like branching pattern of posterior nutrient arteries that then extend vertically in the direction of the vertebral endplates. However, it is important to note that the venous contribution to this central vascular predominance cannot be excluded, particularly through tributary branches of the basivertebral vein (33,34,42-51,67-70). The comparison between upper, intermediate, and lower slices was clearly limited by the smaller number of upper (n=3) and lower (n=6) slices, and no statistically significant differences were identified in the individual analysis of parameters between slices. These findings suggest a similar distribution of nuclei among the various analyzed components throughout the entire height of the L1 vertebral body in the Wistar rat, particularly in terms of vascularization, which is predominant in the anterior and central regions across its entire extent. However, when comparing the total values of the vascular component, the lower slices exhibited significantly lower values of vascular endothelial nuclear density (P=0.001) and proportion (P=0.005) compared to the intermediate slices. Analysis of the tables confirms that the density and proportion of vascular endothelial nuclei are higher in upper and intermediate slices than in lower slices, indicating that the lower half of the L1 vertebral body in the Wistar rat is less vascularized. Consequently, this region may be at greater risk of nonunion in the event of a fracture. At the same time, the lower vascularization in this area in the rat could reduce the likelihood of local metastases or septic emboli, which would therefore be more likely to occur in the upper and central thirds of the vertebral body.
Regarding the other analyzed parameters, a predominance of all cells and bone marrow cells in the CA would be expected, given that the vertebral column is a key site of hematopoiesis, with a higher concentration in the posterior region of the vertebral body compared to the anterior region. Similarly, a higher prevalence of cartilage cells in the CA would be anticipated, as the primary ossification center of the vertebral body is centrally located, with predominance in PCQ (30). Nevertheless, the findings revealed a higher density of bone cell nuclei in the peripheral region compared to the central region and in the anterior half of the vertebral body compared to the posterior half. These observations may be related to the predominance of bone cells in the peripheral cortical ring and the likely greater bone density of the peripheral region, particularly in the anterior region of the vertebral body. This could be due to higher exposure of these regions to repeated mechanical loading, possibly resulting from the rat’s frequent trunk flexion posture, which may serve as a greater mechanical stimulus for bone development.
In summary, after macroscopic and histological analysis, we observed that the extraosseous and intraosseous vascular distribution of the L1 vertebral body in the Wistar rat appears to be similar to that described for the lumbar vertebrae in humans (Figures 6-9) (33,34,42-51,67-70). The importance of understanding the vascular anatomy of the vertebral body in the Wistar rat and its apparent similarity to that of humans paves the way for its potential use as a suitable animal model for experimental studies related to vertebral body vascularization. In fact, animal studies are essential for understanding physiological principles and analyzing biological phenomena in a real-life environment, which can later be targeted for intervention and translated to humans, with the ultimate goal of clinical application. Currently, there is no well-established animal model for vertebral body ischemia, representing a gap in the literature that prompted us to conduct a detailed analysis of vertebral body vascularization in Wistar rats in the present study. However, it is likely that other animal models could also serve as appropriate comparators to humans, as they may exhibit vertebral body vascularization even more similar to that of humans than rats. However, if the literature is already scarce regarding vertebral body arterial vascularization in humans, it is even more limited for animal models, including rodents, making it challenging to compare our results with those from other models. Current studies on spine vascularization and ischemia models in animals predominantly focus on the vascularization of the endplates and spinal cord, rather than on the vertebral body itself, particularly its intraosseous arterial anatomy (71-94). Most researchers agree that primate anatomy more closely resembles that of humans compared to other laboratory animals, a view supported by some studies. However, the available literature is limited to spinal cord vascularization and does not address the vertebral body (95,96). Regarding ischemia models, one study proposed a novel animal model of vertebral ischemia by inducing ischemia in rabbits through the percutaneous injection of an apoptosis- and fibrosis-inducing agent, pingyangmycin, into the lumbar endplate. This approach aimed to disturb the microcirculation within the lumbar vertebrae, leading to endplate ischemia and subsequent disc degeneration. Ischemia was confirmed by magnetic resonance imaging and histological analysis. Using digital subtraction angiography and vascular casting, the authors concluded that the most important source of blood supply to the lumbar vertebra is the medial branch of the lumbar artery, suggesting a posteriorly dominant arterial entry into the vertebral body (71). Nevertheless, this study does not provide a detailed analysis of the vascular anatomy of the rabbit lumbar vertebral body, nor does it clarify its comparability to other animal models or to humans (71). Regarding descriptions of the arterial anatomy of the vertebral body in potential animal models, beyond what has already been discussed for Wistar rats, only a few studies were found in dogs, rabbits, cats, pigs and monkeys (97-106). The main anatomical findings from these studies are summarized below. One study on spinal vascularization in dogs, using contrast radiography and diaphanization, reported that in the lumbar vertebral body, the main arterial supply originates from the lumbar artery and enters the vertebral body through the basivertebral foramen. From there, it progresses toward the center of the vertebral body, where it terminates in a tree-like pattern, with its branches radiating in all directions. Additional arterial branches were found to penetrate the ventrolateral aspects of the vertebral body cranially and caudally to supply the epiphyses, findings that were later confirmed by other authors (97-100). Another study on vertebral vascularization in rabbits, using the same techniques across different animal growth stages, provided detailed observations about adult animals (101). It reported that the primary arterial supply to the vertebral body originates posteriorly from the spinal artery at the level of the intervertebral foramen. This artery gives rise to a ventral branch, the ventral artery, which penetrates the vertebral body through the nutrient foramen. Before entering the vertebral body, the ventral artery gives off an anastomotic branch to the ventral artery immediately cephalad to it; and two to four epiphyseal arteries that enter the epiphysis posteriorly and fan out over its entire extent. Upon entering the vertebral body, the ventral artery divides into cephalad and caudad branches, which further subdivide into smaller branches that reach the central region of the metaphysis at either end. The terminal ramifications consist of a dense network of short, straight capillary loops terminating near the endplates. The authors also noted that, apart from minor connections from periosteal vessels, no artery typically enters the adult vertebral body from the exterior; instead, all arterial structures are located within the vertebral canal (101). A study in monkeys and rabbits investigated vertebral column vascularization using corrosion casting techniques (102). Focusing specifically on the lumbar vertebral bodies, the authors reported that these are supplied by osseous arteries entering dorsally into the vertebral body, near the arch adjacent to the mammillary processes, and at the ventral base of the transverse processes. Except for arteries supplying the periosteum, no arterial vessels appeared to enter the lumbar vertebral bodies on their ventral aspect in rabbits, unlike what was observed in cervical vertebrae and, variably, in thoracic vertebrae (102). Another study examined the vascularization of the lumbar vertebrae in cats from birth to adulthood using contrast radiography and diaphanization (103). Focusing on adult cats, the authors described the spinal branch of the lumbar artery entering the vertebral canal and giving rise to nutrient arteries that penetrate the vertebral body on its posterior surface. Once inside, these arteries form a rich network of branches and also give rise to vessels directed cranially and caudally, which approach the endplates. The authors also noted that a significant portion of the vertebral body’s vascularization originates from the ventral nutrient arteries (103). Studies on the arterial vascularization of cervical vertebrae in oxen and sheep have identified similarities with human vascularization (104,105). The aforementioned study in oxen, using the same methods as previous investigations, described the vascularization of the cervical vertebral body as being supplied by the basivertebral arteries. These arteries, arising from the so-called arterial circle within the vertebral canal, enter the vertebral body reaching its center, where they divide in a rosette-like pattern and extend towards the metaphysis as well as the lateral aspects of the body (104). Along the initial course of these arteries, delicate branches are given off forming a meshwork of anastomoses with adjacent intraosseous vessels and periosteal vessels that enter from the circumference, particularly along the epiphyseal lines. The basivertebral artery ultimately divides into several terminal branches, which anastomose with nutrient arteries entering the lateroventral surface of the vertebral body and along the epiphyses (104). Regarding pigs, numerous nutrient foramina have been reported on the ventral surface of the vertebral bodies, serving as entry points for the vascular supply (106). The most distal lumbar arteries originate from the well-developed median sacral artery and give off rami spinales at the level of the intervertebral foramina. These rami divide at the intervertebral foramina into a cranial and a caudal branch, known respectively as the ramus canalis vertebralis cranialis and ramus canalis vertebralis caudalis. Both branches follow an arched course along the floor of the vertebral canal. The ramus canalis vertebralis cranialis runs cranially and connects with the ramus canalis vertebralis caudalis of the preceding segment, while the ramus canalis vertebralis caudalis behaves similarly in the caudal direction. This arrangement results in two garland-like anastomotic chains, interconnected by transverse anastomoses, thereby forming an H-shaped retrovertebral anastomosis, as previously described in this study for humans and Wistar rats. The cranial and caudal rami canalis vertebralis give off two to three nutrient arteries that enter the vertebral body through the canales basivertebrales. These channels traverse the vertebral body, connecting the nutrient foramina on the dorsal surface with those on the ventral side (106). Despite minor differences in nomenclature and morphology, the main arterial structures and their subdivisions are largely similar across the described animal models and when compared to those in humans. Uncertainty remains, however, regarding the predominant origin of arterial blood supply, whether it is primarily anterior or posterior. This morphological similarity in vertebral body arterial vascularization suggests that these animal models may also be anatomically suitable for studies focusing on vertebral body blood supply. Nevertheless, further studies employing more detailed assessment methods are required to investigate both the extraosseous and intraosseous vascularization in these models. It is important to emphasize the technical challenges associated with analyzing intraosseous arterioles in small animal models, even with current imaging technologies. In Wistar rats, for example, distinguishing arterial from venous vessels has proven difficult due to their small diameter, and smaller models may pose similar challenges, even when using advanced high-resolution vascular imaging techniques (107). However, the limited accessibility of these alternative animal models, combined with the similarity observed in the present study regarding the vascularization of the Wistar rat vertebral body, likely makes the latter a more attractive option for studies related to vertebral body blood supply. Perhaps the most important takeaway from this study is the demonstrated similarity in vertebral body vascularization between humans and a model as accessible, well-established, and widely used as the Wistar rat. This suggests that it may not be necessary to rely on other animal models that are more difficult to access, manage, and maintain.
For instance, in the context of fracture healing biology, the experimental induction of fractures in regions identified as having vascular vulnerability could lead to nonunion scenarios if a significant portion of the nutrient vessels supplying essential elements for bone healing are damaged. In humans, it is currently recognized that the anterior third of the vertebral body—particularly the regions adjacent to the superior and inferior endplates, known as the anterosuperior and anteroinferior areas—is the most susceptible to ischemia. This susceptibility arises not only from the anatomical features of the penetrating anterolateral arteries, which are terminal branches that are short, narrow, and radially oriented, but primarily because these regions have the least arterial collateral circulation. Consequently, they are identified as arterial watershed zones. The dorsal region of the vertebral body benefits from collateral blood supply originating from two adjacent spinal levels, a configuration described as bisegmental. In contrast, the ventral region is exclusively supplied by segmental arteries arising from its own level, a unisegmental arrangement (9,25,28,108). These regions may be similar in the Wistar rat due to the comparable arterial vascularization observed in our study. Irrespective of whether the anterior or posterior blood supply predominates, this is probably not the key factor determining the likelihood of ischemia in a specific region of the vertebral body. Rather, the risk of ischemia is more closely linked to the limited ability of that area to develop compensatory arterial collateral circulation. Although the vertebral body’s main arterial supply is likely from the anterior side, where arterioles are probably more concentrated, the arteries enter the vertebral body mainly through small, short penetrating vessels—equatorial, metaphyseal, and periosteal—located anterolaterally. The shape of these terminal arteries, together with their exclusive origin from the segmental lumbar arteries at the corresponding spinal level, which restricts collateral blood flow, primarily explains the increased ischemia risk in this area following trauma and arterial damage (6,28,29,33,45-47,49,51,108-112). The anterolateral penetrating arteries, together with the lumbar arteries, lack sufficient collateral connections from neighboring segments after injury, creating an anatomical limitation that promotes ischemia and necrosis due to inadequate local blood flow. Thus, despite the anterior region having a higher number of arteries and serving as the main source of arterial blood, the terminal nature of these vessels and the absence of effective collateral routes after vascular damage make the anterior area more vulnerable to ischemic injury and subsequent osteonecrosis. This susceptibility becomes particularly significant when intraosseous arterioles, lumbar arteries, or Hma are impaired. Conversely, the posterior half of the vertebral body, although likely supplied with less arterial blood than the anterior portion, has a greater capacity for collateral circulation. Consequently, it can better preserve its blood supply even after damage to multiple vessels, thereby lowering the risk of localized ischemia and osteonecrosis. This happens because, as explained by Richard Rothman and Frederick Simeone in 1982, the posterior part of the vertebral body gets its blood supply from the spinal branch of the lumbar artery located at the level of the intervertebral disc (108). This branch splits into cranial and caudal branches that nourish the vertebrae above and below. Therefore, the posterior portion of the vertebral body receives blood from four arteries coming from two neighboring intervertebral levels, which together create a retrovertebral H-shaped network of connections. Because of this, if some of these arteries are damaged, the blood supply to this area can still be maintained by the remaining vessels within the network. This specific anatomical setup offers greater collateral circulation than the front half of the vertebral body, thus lowering the chance of ischemia. This anatomical distinction renders the ventral portion more susceptible to ischemic necrosis, as any injury to the segmental arteries at that level cannot be compensated by vascular contributions from neighboring segments (6,28,29,33,45-47,49,51,108-113).
This intraosseous vascular injury of the vertebral body undoubtedly occurs in various fracture patterns in humans, such as burst fractures. However, to date, no validated therapeutic algorithm for vertebral fractures has considered vascular injury in the decision-making process regarding whether to preserve the vertebral body and perform a spine stabilization surgery in anticipation of probable healing, or to opt for corpectomy and vertebral body replacement, in cases where vascular damage is severe enough to favor nonunion. Consequently, the importance of arterial vascularization and vertebral body nutrition in influencing the process of bone healing or the risk of necrosis is likely undervalued in clinical decision-making. This clarification and investigation appear to be a crucial aspect in the therapeutic decision-making process regarding whether to preserve or remove a fractured vertebral body. It should be incorporated into therapeutic algorithms, which currently rely primarily on the mechanical characteristics of the fracture (1-9,14,24-30). McCormack et al. by considering the degree of comminution and fragment apposition in fractures within their therapeutic algorithm, were indirectly incorporating vascular biology into their decision-making process between vertebral body-preserving versus corpectomy surgical treatment (14). This is because a higher degree of fracture comminution is undoubtedly associated with greater intraosseous vascular injury at the fracture site. Therefore, the vascular anatomy of the L1 vertebral body in the Wistar rat, as described in this study, being similar to that of humans, provides a foundation for future research to determine whether a fracture in a specific vascular region will progress favorably toward healing or unfavorably toward nonunion.
The limitations of this study include the low number of upper and lower slices available for analysis, due to technical difficulties that resulted in tissue damage during the axial slicing process at every 300 micrometers performed to examine the entire extent of the rat’s vertebral body. Additionally, given the extremely small size of the intraosseous vessels identified, it was not possible to precisely distinguish between arterial and venous vessels, which reduced the level of detail in our anatomical description of this vascularization. Another limitation in the translational capacity of this animal model to humans is that rats are quadrupeds, and therefore inevitably experience different patterns of spinal loading compared to the bipedal human posture. However, theoretical considerations suggest that the spine of quadrupeds is primarily loaded along its long axis, similar to the human spine, although with greater axial compressive stress (114). Still, the choice of the L1 vertebra—located at the transition between the rigid thoracic spine and the more mobile lumbar region, a feature also observed in rats—was intended to replicate the biomechanical context of a region with a high prevalence of fractures in humans. Additionally, the lower rate of intervertebral disc degeneration typically found in quadrupeds may also influence the translational applicability of the model to humans. In humans, degenerative disc changes may limit vascularization and, consequently, reduce the effectiveness of the bone healing process. Furthermore, this study is pioneering in conducting a histological analysis of the L1 vertebral body in the Wistar rat, enabling the identification of extremely small vessels by detecting the nuclei of their endothelial cells, such as third-order arterioles and venules, as well as capillaries. This approach allows for an intraosseous vascular study with a level of detail that would not be achievable through other techniques. A detailed anatomical description was obtained regarding the density and cellular proportion of vascular endothelial cells across various levels of the L1 vertebral body in the Wistar rat, as well as their distribution within the vertebral body, enabling a clear identification and quantification of regions with vascular predominance. Additionally, data were collected on the density and cellular proportion of bone cells (osteoblasts, osteocytes), cartilage cells (chondroblasts, chondrocytes), and cells from various bone marrow lineages within the vertebral body (Tables 1-3).
Conclusions
This vascular anatomical study of the L1 vertebral body in the Wistar rat, based on corrosion-fluorescence technique, diaphanization and histological analysis, allowed for the establishment of similarities with human vertebral vascularization, confirming data from previous scarce literature on the subject. The main conclusions highlight their morphological resemblance on the extraosseous arteries and the significant vascular predominance in the antero-central portions of the vertebral body, which is in accordance with the most accepted descriptions of human anatomy. These findings suggest that the Wistar rat may serve as a suitable model for studies investigating the influence of vertebral vascularization and ischemia in specific diseases. Regarding future directions, this animal model is well-suited for targeted interventions on its arterial blood supply, allowing for the evaluation of their impact on vertebral body fracture healing. More specifically, this research lays the groundwork for future studies that could assess whether fractures in certain vascular regions are more likely to heal successfully or, conversely, lead to nonunion. Such studies would contribute to a deeper understanding of the biological role of arterial vascularization in the bone repair process of spinal fractures, with the ultimate aim of translating these findings into clinical practice. These insights could support the incorporation of vertebral vascular injury as a key biological factor in routine therapeutic decision-making algorithms, thereby improving the treatment of vertebral body fractures.
Acknowledgments
We would like to thank Margarida Marques, Ricardo Moura and Joana Pinheiro Torres for support during the experiments.
Footnote
Reporting Checklist: The authors have completed the ARRIVE reporting checklist. Available at https://jss.amegroups.com/article/view/10.21037/jss-25-41/rc
Data Sharing Statement: Available at https://jss.amegroups.com/article/view/10.21037/jss-25-41/dss
Peer Review File: Available at https://jss.amegroups.com/article/view/10.21037/jss-25-41/prf
Funding: None.
Conflicts of Interest: All authors have completed the ICMJE uniform disclosure form (available at https://jss.amegroups.com/article/view/10.21037/jss-25-41/coif). The authors have no conflicts of interest to declare.
Ethical Statement: The authors are accountable for all aspects of the work in ensuring that questions related to the accuracy or integrity of any part of the work are appropriately investigated and resolved. All animal experiments were performed under project licenses granted by institutional ethics committees of Nova Medical School, Lisbon, Portugal (No. 135/2019/CEFCM) and Faculty of Medicine, University of Coimbra, Coimbra, Portugal (No. CE-141/2023/FMUC), in compliance with Directorate General of Food and Veterinary national guidelines for the care and use of animals.
Open Access Statement: This is an Open Access article distributed in accordance with the Creative Commons Attribution-NonCommercial-NoDerivs 4.0 International License (CC BY-NC-ND 4.0), which permits the non-commercial replication and distribution of the article with the strict proviso that no changes or edits are made and the original work is properly cited (including links to both the formal publication through the relevant DOI and the license). See: https://creativecommons.org/licenses/by-nc-nd/4.0/.
References
- Young WF, Brown D, Kendler A, et al. Delayed post-traumatic osteonecrosis of a vertebral body (Kummell's disease). Acta Orthop Belg 2002;68:13-9.
- Benedek TG, Nicholas JJ. Delayed traumatic vertebral body compression fracture; part II: pathologic features. Semin Arthritis Rheum 1981;10:271-7. [Crossref] [PubMed]
- Osterhouse MD, Kettner NW. Delayed posttraumatic vertebral collapse with intravertebral vacuum cleft. J Manipulative Physiol Ther 2002;25:270-5. [Crossref] [PubMed]
- Maldague BE, Noel HM, Malghem JJ. The intravertebral vacuum cleft: a sign of ischemic vertebral collapse. Radiology 1978;129:23-9. [Crossref] [PubMed]
- Lane JI, Maus TP, Wald JT, et al. Intravertebral clefts opacified during vertebroplasty: pathogenesis, technical implications, and prognostic significance. AJNR Am J Neuroradiol 2002;23:1642-6.
- Hasegawa K, Homma T, Uchiyama S, et al. Vertebral pseudarthrosis in the osteoporotic spine. Spine (Phila Pa 1976) 1998;23:2201-6. [Crossref] [PubMed]
- Nicholas JJ, Benedek TG, Reece GJ. Delayed traumatic vertebral body compression fracture; part I: clinical features. Semin Arthritis Rheum 1981;10:264-70. [Crossref] [PubMed]
- Moura DL, Gabriel JP. Expandable intravertebral implants in post-traumatic vertebral necrosis - new classification suggestion. Acta Ortop Bras 2023;31:e262943. [Crossref] [PubMed]
- Moura DL, Pais HS, Lourenço P, et al. Surgical treatment of post-traumatic vertebral osteonecrosis including intravertebral expansive implants-clinical, functional and imaging outcomes and a center experience over 7 years. J Spine Surg 2024;10:450-67. [Crossref] [PubMed]
- Vaccaro AR, Oner C, Kepler CK, et al. AOSpine thoracolumbar spine injury classification system: fracture description, neurological status, and key modifiers. Spine (Phila Pa 1976) 2013;38:2028-37. [Crossref] [PubMed]
- Kramer DL, Rodgers WB, Mansfield FL. Transpedicular instrumentation and short-segment fusion of thoracolumbar fractures: a prospective study using a single instrumentation system. J Orthop Trauma 1995;9:499-506. [Crossref] [PubMed]
- Parker JW, Lane JR, Karaikovic EE, et al. Successful short-segment instrumentation and fusion for thoracolumbar spine fractures: a consecutive 41/2-year series. Spine (Phila Pa 1976) 2000;25:1157-70. [Crossref] [PubMed]
- Speth MJ, Oner FC, Kadic MA, et al. Recurrent kyphosis after posterior stabilization of thoracolumbar fractures. 24 cases treated with a Dick internal fixator followed for 1.5-4 years. Acta Orthop Scand 1995;66:406-10. [Crossref] [PubMed]
- McCormack T, Karaikovic E, Gaines RW. The load sharing classification of spine fractures. Spine (Phila Pa 1976) 1994;19:1741-4. [Crossref] [PubMed]
- Knop C, Bastian L, Lange U, et al. Complications in surgical treatment of thoracolumbar injuries. Eur Spine J 2002;11:214-26. [Crossref] [PubMed]
- Verlaan JJ, Dhert WJ, Verbout AJ, et al. Balloon vertebroplasty in combination with pedicle screw instrumentation: a novel technique to treat thoracic and lumbar burst fractures. Spine (Phila Pa 1976) 2005;30:E73-9. [Crossref] [PubMed]
- Been HD, Bouma GJ. Comparison of two types of surgery for thoraco-lumbar burst fractures: combined anterior and posterior stabilisation vs. posterior instrumentation only. Acta Neurochir (Wien) 1999;141:349-57. [Crossref] [PubMed]
- Knop C, Blauth M, Bühren V, et al. Surgical treatment of injuries of the thoracolumbar transition. 2: Operation and roentgenologic findings. Unfallchirurg 2000;103:1032-47. [Crossref] [PubMed]
- Carl AL, Tranmer BI, Sachs BL. Anterolateral dynamized instrumentation and fusion for unstable thoracolumbar and lumbar burst fractures. Spine (Phila Pa 1976) 1997;22:686-90. [Crossref] [PubMed]
- Benson DR, Burkus JK, Montesano PX, et al. Unstable thoracolumbar and lumbar burst fractures treated with the AO fixateur interne. J Spinal Disord 1992;5:335-43. [Crossref] [PubMed]
- McLain RF, Sparling E, Benson DR. Early failure of short-segment pedicle instrumentation for thoracolumbar fractures. A preliminary report. J Bone Joint Surg Am 1993;75:162-7. [Crossref] [PubMed]
- Verlaan JJ, Diekerhof CH, Buskens E, et al. Surgical treatment of traumatic fractures of the thoracic and lumbar spine: a systematic review of the literature on techniques, complications, and outcome. Spine (Phila Pa 1976) 2004;29:803-14. [Crossref] [PubMed]
- Palmisani M, Gasbarrini A, Brodano GB, et al. Minimally invasive percutaneous fixation in the treatment of thoracic and lumbar spine fractures. Eur Spine J 2009;18:71-4. [Crossref] [PubMed]
- McKiernan F, Jensen R, Faciszewski T. The dynamic mobility of vertebral compression fractures. J Bone Miner Res 2003;18:24-9. [Crossref] [PubMed]
- Moura DFL, Gabriel JP. Intravertebral expandable implants in thoracolumbar vertebral compression fractures. Acta Ortop Bras 2022;30:e245117. [Crossref] [PubMed]
- Malghem J, Maldague B, Labaisse MA, et al. Intravertebral vacuum cleft: changes in content after supine positioning. Radiology 1993;187:483-7. [Crossref] [PubMed]
- Mirovsky Y, Anekstein Y, Shalmon E, et al. Vacuum clefts of the vertebral bodies. AJNR Am J Neuroradiol 2005;26:1634-40.
- Kim YC, Kim YH, Ha KY. Pathomechanism of intravertebral clefts in osteoporotic compression fractures of the spine. Spine J 2014;14:659-66. [Crossref] [PubMed]
- Hajnovic L, Sefranek V, Schütz L. Influence of blood supply on fracture healing of vertebral bodies. Eur J Orthop Surg Traumatol 2018;28:373-80. [Crossref] [PubMed]
- Prakash, Prabhu LV, Saralaya VV, et al. Vertebral body integrity: a review of various anatomical factors involved in the lumbar region. Osteoporos Int 2007;18:891-903.
- Moura DL, Ribeiro PG. Anatomical reconstruction of complete burst vertebral fracture case report-combined reduction methods and armed kyphoplasty with stents filled with bone graft. J Spine Surg 2023;9:357-68. [Crossref] [PubMed]
- Moura DL. The role of kyphoplasty and expandable intravertebral implants in the acute treatment of traumatic thoracolumbar vertebral compression fractures: a systematic review. EFORT Open Rev 2024;9:309-22. [Crossref] [PubMed]
- Ratcliffe JF. The arterial anatomy of the adult human lumbar vertebral body: a microarteriographic study. J Anat 1980;131:57-79.
- Konerding MA, Blank M. The vascularization of the vertebral column of rats. Scanning Microsc 1987;1:1727-32.
- Sempuku T, Tamai S, Usui M, et al. Technique for making a vascular corrosion cast. In: Experimental and Clinical Reconstructive Microsurgery. Tokyo: Springer-Verlag; 2004:7-8.
- Fukui A, Tamai S, Usui M, et al. Technique of microangiography. In: Experimental and Clinical Reconstructive Microsurgery. Tokyo: Springer-Verlag; 2004:55-6.
- Sempuku T, Tamai S, Usui M et al. Technique for making a Spalteholz cleared specimen. In: Experimental and Clinical Reconstructive Microsurgery. Tokyo: Springer-Verlag; 2004:59-60.
- Steinke H, Wolff W. A modified Spalteholz technique with preservation of the histology. Ann Anat 2001;183:91-5. [Crossref] [PubMed]
- Fischer AH, Jacobson KA, Rose J, et al. Hematoxylin and eosin staining of tissue and cell sections. CSH Protoc 2008;2008:pdb.prot4986.
- Foot NC. The Masson trichrome staining methods in routine laboratory use. Stain Technol 1933;8:101-10.
- Pusztaszeri MP, Seelentag W, Bosman FT. Immunohistochemical expression of endothelial markers CD31, CD34, von Willebrand factor, and Fli-1 in normal human tissues. J Histochem Cytochem 2006;54:385-95. [Crossref] [PubMed]
- Portal A. Cours d'Anatomie Medicale ou Elementes de l'Anatomie de l'Homme. Paris Baudouin 1803;3:295-6.
- Chiras J, Morvan G, Merland JJ. The angiographic appearances of the normal intercostal and lumbar arteries. Analysis and the anatomic correlation of the lateral branches. J Neuroradiol 1979;6:169-96.
- Forssman G, Petrén T. Die arterielle Versorgung der Brustwirbelkörper. Anat Anz 1938;88:167.
- Wiley AM, Trueta J. The vascular anatomy of the spine and its relationship to pyogenic vertebral osteomyelitis. J Bone Joint Surg Br 1959;41-B:796-809. [Crossref] [PubMed]
- Chiras J, Morvan G, Merland JJ, et al. Blood supply to the thoracic (dorsal) and lumbar spine. Anat Clin 1982;4:23-31.
- Mineiro JD. Columna vertebral humana. Lisboa: Sociedade Industrial Grafica; 1965:277.
- Louis R, Obannou A, Ouiminga RM. Topographie vasculaire de la charniere dorso-lombaire chez le noir Africain. Bull Assoc Anat 1975;166:657-72.
- Crock HV, Yoshizawa H. The blood supply of the vertebral column and spinal cord in man. New York: Springer Vienna; 1977.
- Brookes M, Revell WJ. Blood supply of irregular bones—1: Vertebral column. Blood Supply of Bone 1971:51-60.
- Manelfe C, Djindjian R. Exploration angiographique des angiomes vertebraux. Acta Radiol 1973;13:818-28.
- Kalogeris T, Baines CP, Krenz M, et al. Cell biology of ischemia/reperfusion injury. Int Rev Cell Mol Biol 2012;298:229-317. [Crossref] [PubMed]
- Lu C, Miclau T, Hu D, et al. Ischemia leads to delayed union during fracture healing: a mouse model. J Orthop Res 2007;25:51-61. [Crossref] [PubMed]
- Miedel E, Dishowitz MI, Myers MH, et al. Disruption of thrombospondin-2 accelerates ischemic fracture healing. J Orthop Res 2013;31:935-43. [Crossref] [PubMed]
- Lu C, Hansen E, Sapozhnikova A, et al. Effect of age on vascularization during fracture repair. J Orthop Res 2008;26:1384-9. [Crossref] [PubMed]
- Ma L, Zheng LW, Sham MH, et al. Uncoupled angiogenesis and osteogenesis in nicotine‐compromised bone healing. J Bone Miner Res. 2010;25:1305-13. [Crossref] [PubMed]
- Zheng LW, Ma L, Cheung LK. Changes in blood perfusion and bone healing induced by nicotine during distraction osteogenesis. Bone 2008;43:355-61. [Crossref] [PubMed]
- Street J, Bao M, deGuzman L, et al. Vascular endothelial growth factor stimulates bone repair by promoting angiogenesis and bone turnover. Proc Natl Acad Sci U S A 2002;99:9656-61. [Crossref] [PubMed]
- Sharmin F, O'Sullivan M, Malinowski S, et al. Large scale segmental bone defect healing through the combined delivery of VEGF and BMP-2 from biofunctionalized cortical allografts. J Biomed Mater Res B Appl Biomater 2019;107:1002-10. [Crossref] [PubMed]
- Schlickewei C, Klatte TO, Wildermuth Y, et al. A bioactive nano-calcium phosphate paste for in-situ transfection of BMP-7 and VEGF-A in a rabbit critical-size bone defect: results of an in vivo study. J Mater Sci Mater Med 2019;30:15. [Crossref] [PubMed]
- Donneys A, Blough JT, Nelson NS, et al. Translational treatment paradigm for managing non-unions secondary to radiation injury utilizing adipose derived stem cells and angiogenic therapy. Head Neck 2016;38:E837-E843. [Crossref] [PubMed]
- Dickson KF, Katzman S, Paiement G. The importance of the blood supply in the healing of tibial fractures. Contemp Orthop 1995;30:489-93.
- Meyer RA Jr, Meyer MH, Tenholder M, et al. Gene expression in older rats with delayed union of femoral fractures. J Bone Joint Surg Am 2003;85:1243-54. [Crossref] [PubMed]
- Hanson R. Some anomalies, deformities and diseased conditions of the vertebrae during their different stages of development, elucidated by anatomical and radiological findings. Acta Chir Scand 1926;60:309.
- Wagoner G, Pendergrass E. Intrinsic Circulation of the Vertebral Body. With Roentgenologic Considerations. American Journal of Roentgenology 1932;27:818-26.
- Ferguson WR. Some observations on the circulation in foetal and infant spines. J Bone Joint Surg Am 1950;32-A:640-8.
- Breschet G. Essai sur les veines du rachis. Paris, France: Méquignon-Marvis; 1819.
- Batson OV. The vertebral vein system: Caldwell Lecture, 1956. Am J Roentgenol Radium Ther Nucl Med 1957;78:195-212.
- Batson OV. The function of the vertebral veins and their role in the spread of metastases. Ann Surg 1940;112:138-49. [Crossref] [PubMed]
- Vidus-Vidius. De Anatomie Corporis Humani. Venice, Italy: apud Iuntas; 1611:121.
- Hou C, Tan G, Zhuang W, et al. Establishment of a new animal model for ischemic lumbar vertebrae. Int J Clin Exp Med 2015;8:10646-56.
- Kurokawa R, Murata H, Ogino M, et al. Altered blood flow distribution in the rat spinal cord under chronic compression. Spine (Phila Pa 1976) 2011;36:1006-9. [Crossref] [PubMed]
- Lee M, Lee ES, Kim YS, et al. Ischemic injury-specific gene expression in the rat spinal cord injury model using hypoxia-inducible system. Spine (Phila Pa 1976) 2005;30:2729-34. [Crossref] [PubMed]
- Xiao W, Wen J, Huang YC, et al. Development of a modified model of spinal cord ischemia injury by selective ligation of lumbar arteries in rabbits. Spinal Cord 2017;55:1028-32. [Crossref] [PubMed]
- Maeda T, Mori K, Shiraishi Y, et al. Selective occlusion of lumbar arteries as a spinal cord ischemia model in rabbits. Jpn J Physiol 2003;53:9-15. [Crossref] [PubMed]
- Kobayashi S, Yoshizawa H, Shimada S, et al. Changes of blood flow, oxygen tension, action potential and vascular permeability induced by arterial ischemia or venous congestion on the spinal cord in canine model. J Orthop Res 2013;31:139-46. [Crossref] [PubMed]
- Mazensky D, Flesarova S, Sulla I. Arterial Blood Supply to the Spinal Cord in Animal Models of Spinal Cord Injury. A Review. Anat Rec (Hoboken) 2017;300:2091-106. [Crossref] [PubMed]
- Strauch JT, Lauten A, Zhang N, et al. Anatomy of spinal cord blood supply in the pig. Ann Thorac Surg 2007;83:2130-4. [Crossref] [PubMed]
- Mazensky D, Radonak J, Danko J, et al. Anatomical study of blood supply to the spinal cord in the rabbit. Spinal Cord 2011;49:525-8. [Crossref] [PubMed]
- Mazensky D, Danko J, Petrovova E, et al. Anatomical study of blood supply to the cervical spinal cord in the guinea pig. Anim Sci J 2015;86:641-5. [Crossref] [PubMed]
- Caulkins SE, Purinton PT, Oliver JE Jr. Arterial supply to the spinal cord of dogs and cats. Am J Vet Res 1989;50:425-30.
- Lang-Lazdunski L, Matsushita K, Hirt L, et al. Spinal cord ischemia. Development of a model in the mouse. Stroke 2000;31:208-13. [Crossref] [PubMed]
- Gaviria M, Haton H, Sandillon F, et al. A mouse model of acute ischemic spinal cord injury. J Neurotrauma 2002;19:205-21. [Crossref] [PubMed]
- Gruber HE, Ashraf N, Kilburn J, et al. Vertebral endplate architecture and vascularization: application of micro-computerized tomography, a vascular tracer, and immunocytochemistry in analyses of disc degeneration in the aging sand rat. Spine (Phila Pa 1976) 2005;30:2593-600. [Crossref] [PubMed]
- Xu HM, Wang YL, Jin HM, et al. A novel micro-CT-based method to monitor the morphology of blood vessels in the rabbit endplate. Eur Spine J 2017;26:221-7. [Crossref] [PubMed]
- Yuan W, Che W, Jiang YQ, et al. Establishment of intervertebral disc degeneration model induced by ischemic sub-endplate in rat tail. Spine J 2015;15:1050-9. [Crossref] [PubMed]
- Fernández-Susavila H, Pardo-Seco JP, Iglesias-Rey R, et al. Model of Disc Degeneration in Rat Tail Induced Through a Vascular Isolation of Vertebral Endplates. J Invest Surg 2018;31:265-74. [Crossref] [PubMed]
- Elmounedi N, Jedli O, Bahloul W, et al. Intervertebral Disc Degeneration Induced by Vertebral Body Fracture Associated with Microcirculation Disruption of the Subendplate. World Neurosurg 2024;189:e912-20. [Crossref] [PubMed]
- Jin Y, Mao G, Yang C, et al. Establishment of a New Model of Lumbar Intervertebral Disc Degeneration With Pathological Characteristics. Global Spine J 2023;13:984-94. [Crossref] [PubMed]
- von Aspern K, Haunschild J, Ziemann M, et al. Evaluation of collateral network near-infrared spectroscopy during and after segmental artery occlusion in a chronic large animal model. J Thorac Cardiovasc Surg 2019;158:155-164.e5. [Crossref] [PubMed]
- Zhong R, Wei F, Wang L, et al. The effects of intervertebral disc degeneration combined with osteoporosis on vascularization and microarchitecture of the endplate in rhesus monkeys. Eur Spine J 2016;25:2705-15. [Crossref] [PubMed]
- Cao Y, Wu T, Yuan Z, et al. Three-dimensional imaging of microvasculature in the rat spinal cord following injury. Sci Rep 2015;5:12643. [Crossref] [PubMed]
- Oki S, Matsuda Y, Itoh T, et al. Scanning electron microscopic observations of the vascular structure of vertebral end-plates in rabbits. J Orthop Res 1994;12:447-9. [Crossref] [PubMed]
- Parker AJ. Distribution of spinal branches of the thoracolumbar segmental arteries in dogs. Am J Vet Res 1973;34:1351-3.
- Sahs AL. Vascular supply of the monkeys spinal cord. J Comp Neurol 1942;76:403-15.
- Fried LC, Doppman J. The arterial supply to the lumbosacral spinal cord in the monkey. A comparison with man. Anat Rec 1958;178:41-8. [Crossref] [PubMed]
- CROCK HV. The arterial supply and venous drainage of the vertebral column of the dog. J Anat 1960;94:88-99.
- Alberti A, Esperança Pina JA. Arterial vascularization of the vertebral column. Injection-corrosion-fluorescence technic. Bull Assoc Anat (Nancy) 1989;73:9-11.
- Alberti A, Esperança Pina JA. Diaphanization and vascular study of the dog vertebra. Bull Assoc Anat (Nancy) 1989;73:5-7.
- Burkhardt R, Gabel P. The microcirculation in the vertebral body o the dog. Experimental studies. Z Gesamte Exp Med Einschl Exp Chir 1968;145:80-98.
- Amato VP, Bombelli R. The normal vascular supply of the vertebral column in the growing rabbit. J Bone Joint Surg Br 1959;41-B:782-95. [Crossref] [PubMed]
- Stilwell DL Jr. The vascular supply of vertebral structures. Gross anatomy: rabbit and monkey. Anat Rec 1959;135:169-83. [Crossref] [PubMed]
- Kayanja FI. The blood supply to the lumbar vertebrae of the cat. Zentralbl Veterinarmed A 1971;18:219-24. [Crossref] [PubMed]
- Smuts MS. The arterial blood supply of the cervical vertebrae of the ox (bos taurus l.). Onderstepoort J Vet Res 1977;44:95-106.
- Cain CC, Fraser RD. Bony and vascular anatomy of the normal cervical spine in the sheep. Spine (Phila Pa 1976) 1995;20:759-65. [Crossref] [PubMed]
- Wissdorf H. Die Gefässversorgung der Wirbelsäule und des Rückenmarkes vom Hausschwein (Sus scrofa F. domestica L. 1758). Z Vet Med Suppl 1970;12:1-104.
- Ghaghada KB, Bockhorst KH, Mukundan S Jr, et al. High-resolution vascular imaging of the rat spine using liposomal blood pool MR agent. AJNR Am J Neuroradiol 2007;28:48-53.
- Rothman RH, Simeone FA. The spine. 2nd ed. Philadelphia: WB Saunders Company; 1982:37-45.
- Michel JL, Bouzat J, Rivoal A, et al. Gas dissection of the vertebral body or the vertebral intrasomatic space phenomenon. Physiopathological arguments. J Radiol 1982;63:479-84.
- Fischer LP, Gonon GP, Carret JP, et al. Arterial vascularization of the lumbar vertebrae. Bull Assoc Anat (Nancy) 1976;60:347-55.
- Chou LH, Knight RQ. Idiopathic avascular necrosis of a vertebral body. Case report and literature review. Spine (Phila Pa 1976) 1997;22:1928-32. [Crossref] [PubMed]
- Theodorou DJ. The intravertebral vacuum cleft sign. Radiology 2001;221:787-8. [Crossref] [PubMed]
- Yuh WT, Marsh EE 3rd, Wang AK, et al. MR imaging of spinal cord and vertebral body infarction. AJNR Am J Neuroradiol 1992;13:145-54.
- Smit TH. The use of a quadruped as an in vivo model for the study of the spine - biomechanical considerations. Eur Spine J 2002;11:137-44. [Crossref] [PubMed]

